扫码关注公众号           扫码咨询技术支持           扫码咨询技术服务
  
客服热线:400-901-9800  客服QQ:4009019800  技术答疑  技术支持  质量反馈  人才招聘  关于我们  联系我们
产品中心-北京博奥森生物技术有限公司
首页 > 产品中心 > 试剂盒 > 产品信息
Human Bak Ready-To-Use IHC Kit (IHC0309H)  
订购热线:400-901-9800
订购邮箱:sales@bioss.com.cn
订购QQ:  400-901-9800
技术支持:techsupport@bioss.com.cn
50T/3200.00元
大包装/询价

产品编号 IHC0309H
英文名称 Human Bak Ready-To-Use IHC Kit
中文名称 人Bcl-2同源拮抗剂即用型免疫组化试剂盒
别    名 BAK; BAK-LIKE; BAK1; BCL2L7; CDN1  
克 隆 号
适用样品基质 FFPE tissue
保存条件 Please store components at the temperatures indicated on the individual tube labels. The kit is stable for 6 months from the date of receipt.
产品介绍 The protein encoded by this gene belongs to the BCL2 protein family. BCL2 family members form oligomers or heterodimers and act as anti- or pro-apoptotic regulators that are involved in a wide variety of cellular activities. This protein localizes to mitochondria, and functions to induce apoptosis. It interacts with and accelerates the opening of the mitochondrial voltage-dependent anion channel, which leads to a loss in membrane potential and the release of cytochrome c. This protein also interacts with the tumor suppressor P53 after exposure to cell stress.

SWISS:
Q16611

Gene ID:
578

产品图片
Immunohistochemical analysis of paraffin embedded human pancreatic cancer tissue slide using IHC0309H (Human Bak Kit).
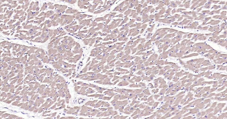
Immunohistochemical analysis of paraffin embedded human heart tissue slide using IHC0309H (Human Bak Kit).
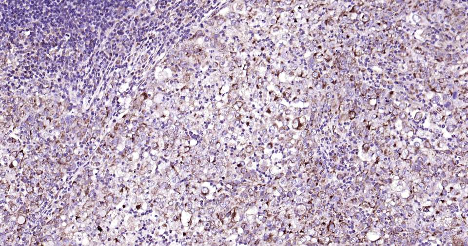
Immunohistochemical analysis of paraffin embedded human gastric cancer tissue slide using IHC0309H (Human Bak Kit).
Immunohistochemical analysis of paraffin embedded human breast cancer tissue slide using IHC0309H (Human Bak Kit).
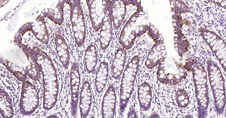
Immunohistochemical analysis of paraffin embedded human colon tissue slide using IHC0309H (Human Bak Kit).
版权所有 2004-2026 www.bioss.com.cn 北京博奥森生物技术有限公司
通过国际质量管理体系ISO 9001:2015 GB/T 19001-2016    证书编号: 00124Q34771R2M/1100
通过国际医疗器械-质量管理体系ISO 13485:2016 GB/T 42061-2022     证书编号: CQC24QY20047R0M/1100
京ICP备05066980号-1         京公网安备110107000727号