扫码关注公众号           扫码咨询技术支持           扫码咨询技术服务
  
客服热线:400-901-9800  客服QQ:4009019800  技术答疑  技术支持  质量反馈  人才招聘  关于我们  联系我们
产品中心-北京博奥森生物技术有限公司
首页 > 产品中心 > 试剂盒 > 产品信息
Rat MMP9 Ready-To-Use IHC Kit (IHC0311R)  
订购热线:400-901-9800
订购邮箱:sales@bioss.com.cn
订购QQ:  400-901-9800
技术支持:techsupport@bioss.com.cn
50T/3200.00元
大包装/询价

产品编号 IHC0311R
英文名称 Rat MMP9 Ready-To-Use IHC Kit
中文名称 大鼠基质金属蛋白酶-9即用型免疫组化试剂盒
别    名 AW743869; B/MMP9; pro-MMP-9; Matrix metalloproteinase-9 precursor; MMP-9; MMP9; MMP 9; 92 kDa type IV; Collagenase; 92 kDa gelatinase; Gelatinase B; GELB; MMP9_HUMAN; 82 kDa matrix metalloproteinase-9; 92 kDa type IV collagenase; CLG 4B; CLG-4B; CLG4B; Collagenase Type 4 beta; Collagenase Type-4 beta; Collagenase type IV 92 KD; Collagenase type IV 92 KD; EC 3.4.24.35; Gelatinase 92 KD; Gelatinase 92 KD; Gelatinase beta; Gelatinase-beta; GelatinaseB; GELB; Macrophage gelatinase; MANDP2; Matrix metallopeptidase 9 (gelatinase B; 92kDa gelatinase; 92kDa type IV collagenase); Matrix Metalloproteinase 9; Type V collagenase  
克 隆 号
适用样品基质 FFPE tissue
保存条件 Please store components at the temperatures indicated on the individual tube labels. The kit is stable for 6 months from the date of receipt.
产品介绍 MMP9 (matrix metallopeptidase 9, GELB, CLG4B) is a matrix metalloproteinase, a family of zinc and calcium-dependent endopeptidases that degrade extracellular matrix proteins. MMP9 is secreted as a 92kDa zymogen and cleavage of pro-MMP9 results in the active enzyme with a molecular weight of 82kDa. MMP9 has a gelatin-binding domain consisting of three fibronectin type II units, a catalytic domain containing the zinc-binding site, a proline-rich type V collagen-homologous domain and a hemopexin-like domain. MMP9 is produced by monocytes, macrophages, neutrophils, keratinocytes, fibroblasts, osteoclasts and endothelial cells, and is involved in inflammatory responses, tissue remodeling, wound healing, tumor growth and metastasis. MMP9 is supplied by bone marrow-derived cells and contributes to skin carcinogenesis. Further, MMP9 degrades type IV and V collagens. Studies in rhesus monkeys suggest that the enzyme is involved in IL-8-induced mobilization of hematopoietic progenitor cells from bone marrow, and murine studies suggest a role in tumor-associated tissue remodeling. Studies have shown that elevated MMP9 is associated with progression of idiopathic atrial fibrillation and aortic aneurysm.

SWISS:
P14780

Gene ID:
4318

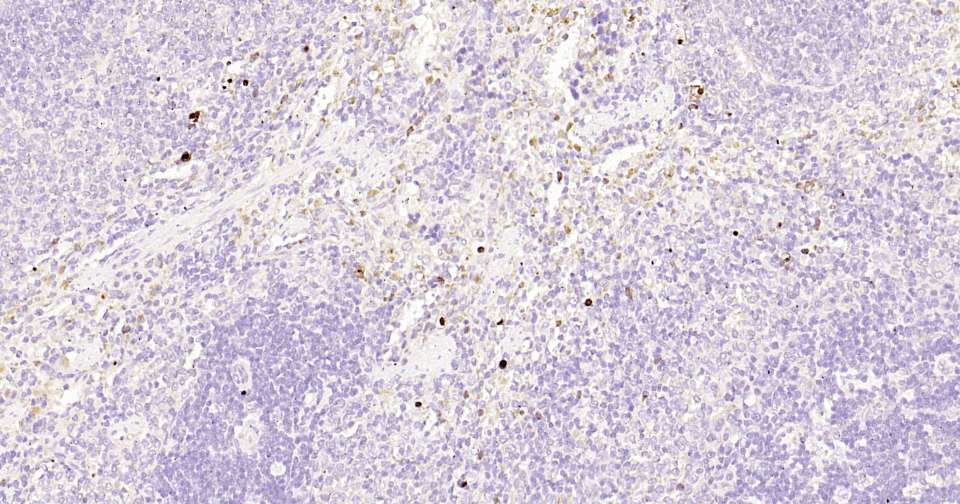
产品图片
Immunohistochemical analysis of paraffin embedded rat spleen tissue slide using IHC0311R (Rat MMP9 Kit).
版权所有 2004-2026 www.bioss.com.cn 北京博奥森生物技术有限公司
通过国际质量管理体系ISO 9001:2015 GB/T 19001-2016    证书编号: 00124Q34771R2M/1100
通过国际医疗器械-质量管理体系ISO 13485:2016 GB/T 42061-2022     证书编号: CQC24QY20047R0M/1100
京ICP备05066980号-1         京公网安备110107000727号