扫码关注公众号           扫码咨询技术支持           扫码咨询技术服务
  
客服热线:400-901-9800  客服QQ:4009019800  技术答疑  技术支持  质量反馈  人才招聘  关于我们  联系我们
产品中心-北京博奥森生物技术有限公司
首页 > 产品中心 > 试剂盒 > 产品信息
Nrf2 Ready-To-Use IHC Kit (IHC0313)  
订购热线:400-901-9800
订购邮箱:sales@bioss.com.cn
订购QQ:  400-901-9800
技术支持:techsupport@bioss.com.cn
50T/3200.00元
大包装/询价

产品编号 IHC0313
英文名称 Nrf2 Ready-To-Use IHC Kit
中文名称 核因子2相关因子2即用型免疫组化试剂盒
别    名 AI194320; HEBP1; NFE2L2; NRF2; NF E2 related factor 2; NFE2 related factor 2  
克 隆 号
适用样品基质 FFPE tissue
保存条件 Please store components at the temperatures indicated on the individual tube labels. The kit is stable for 6 months from the date of receipt.
产品介绍 Nfr1 (also designated TCF11), Nrf2 and Nfr3 are bZIP transcription factors that heterodimer with Maf proteins to bind MARE (Maf recognition elements) sequences. Nrf2 is widely expressed and is thought to translocate to the nucleus after treatment with xenobiotics and antioxidants, which stimulate its release from a repressor protein Keap1.

SWISS:
Q16236

Gene ID:
4780

产品图片
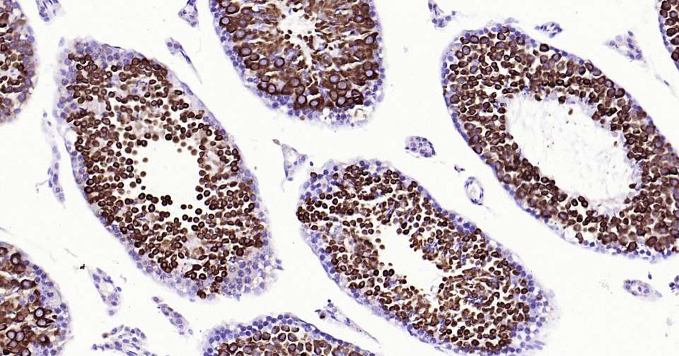
Immunohistochemical analysis of paraffin embedded mouse testis tissue slide using IHC0313 (Nrf2 Kit).
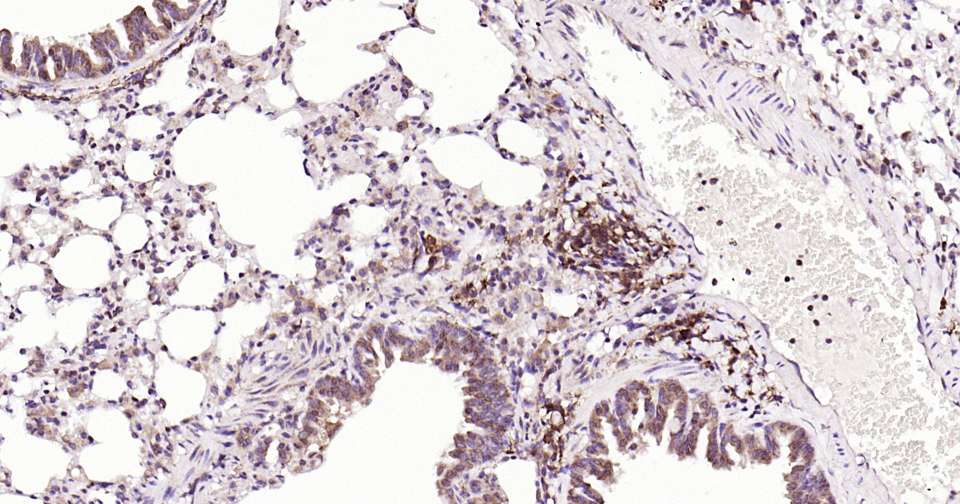
Immunohistochemical analysis of paraffin embedded mouse lung tissue slide using IHC0313 (Nrf2 Kit).
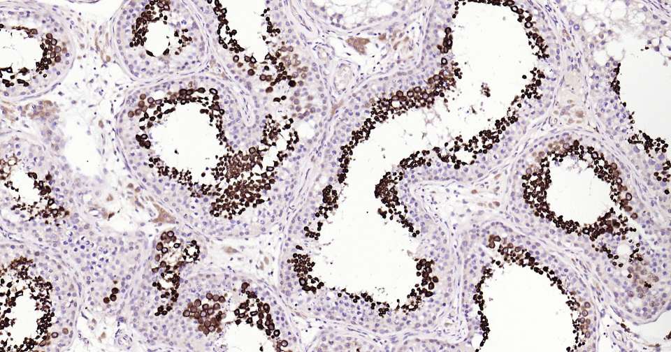
Immunohistochemical analysis of paraffin embedded human testis tissue slide using IHC0313 (Nrf2 Kit).
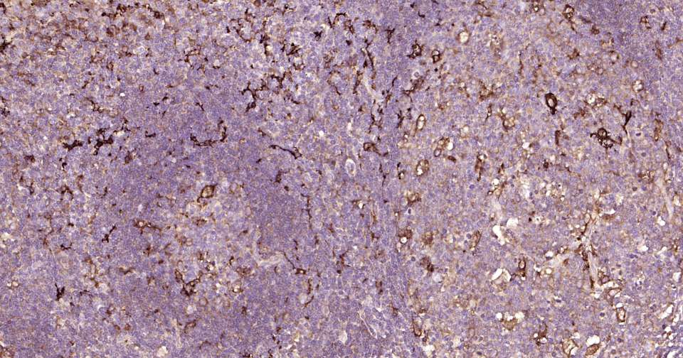
Immunohistochemical analysis of paraffin embedded human tonsil tissue slide using IHC0313 (Nrf2 Kit).
版权所有 2004-2026 www.bioss.com.cn 北京博奥森生物技术有限公司
通过国际质量管理体系ISO 9001:2015 GB/T 19001-2016    证书编号: 00124Q34771R2M/1100
通过国际医疗器械-质量管理体系ISO 13485:2016 GB/T 42061-2022     证书编号: CQC24QY20047R0M/1100
京ICP备05066980号-1         京公网安备110107000727号