扫码关注公众号           扫码咨询技术支持           扫码咨询技术服务
  
客服热线:400-901-9800  客服QQ:4009019800  技术答疑  技术支持  质量反馈  人才招聘  关于我们  联系我们
产品中心-北京博奥森生物技术有限公司
首页 > 产品中心 > 试剂盒 > 产品信息
Human N Cadherin Ready-To-Use IHC Kit (IHC0315H)  
订购热线:400-901-9800
订购邮箱:sales@bioss.com.cn
订购QQ:  400-901-9800
技术支持:techsupport@bioss.com.cn
50T/3200.00元
大包装/询价

产品编号 IHC0315H
英文名称 Human N Cadherin Ready-To-Use IHC Kit
中文名称 人N-钙粘附分子即用型免疫组化试剂盒
别    名 cadherin-2; N-cadherin; CDH4; CAD4; R-CAD; RCAD; CDH3; CDHP; HJMD; PCAD; CD325; CDHN; CDw325; NCAD; N Cadherin; CDH2; Arc-1; CD324; CDHE; ECAD; LCAM; UVO  
克 隆 号
适用样品基质 FFPE tissue
保存条件 Please store components at the temperatures indicated on the individual tube labels. The kit is stable for 6 months from the date of receipt.
产品介绍 N-cadherin is a 140 kDa protein belonging to a family of transmembrane molecules that mediate calcium-dependent intercellular adhesion. Cadherins are involved in controlling morphogenetic movements during development and regulate cell surface adhesion through homotypic adhesion with the same cadherin species. N-cadherin's function is dependent on its association with the actin-cytoskeleton and is mediated through interactions between the C-terminal region of N-cadherin and the cytoplasmic catenin proteins. The stability of this association is regulated by phosphorylation and dephosphorylation of beta-catenin. Further, N-cadherin is a calcium dependent cell-cell adhesion glycoprotein comprised of five extracellular cadherin repeats, a transmembrane region and a highly conserved cytoplasmic tail. The protein functions during gastrulation and is required for establishment of left-right asymmetry.

SWISS:
P19022

Gene ID:
1000

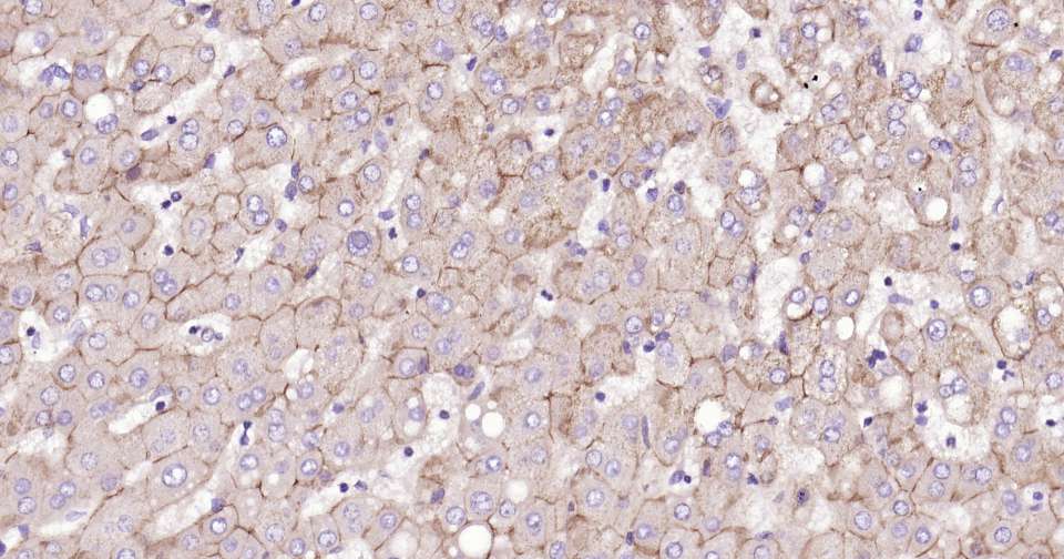
产品图片
Immunohistochemical analysis of paraffin embedded human liver tissue slide using IHC0315H (Human N Cadherin Kit).
版权所有 2004-2026 www.bioss.com.cn 北京博奥森生物技术有限公司
通过国际质量管理体系ISO 9001:2015 GB/T 19001-2016    证书编号: 00124Q34771R2M/1100
通过国际医疗器械-质量管理体系ISO 13485:2016 GB/T 42061-2022     证书编号: CQC24QY20047R0M/1100
京ICP备05066980号-1         京公网安备110107000727号