扫码关注公众号           扫码咨询技术支持           扫码咨询技术服务
  
客服热线:400-901-9800  客服QQ:4009019800  技术答疑  技术支持  质量反馈  人才招聘  关于我们  联系我们
产品中心-北京博奥森生物技术有限公司
首页 > 产品中心 > 试剂盒 > 产品信息
Human ICAM1 Ready-To-Use IHC Kit (IHC0316H)  
订购热线:400-901-9800
订购邮箱:sales@bioss.com.cn
订购QQ:  400-901-9800
技术支持:techsupport@bioss.com.cn
50T/3200.00元
大包装/询价

产品编号 IHC0316H
英文名称 Human ICAM1 Ready-To-Use IHC Kit
中文名称 人细胞间粘附分子-1即用型免疫组化试剂盒
别    名 ICAM; Icam-1; Ly-47; MALA-2; BB2; CD54 antigen; CD54; ICAM1; ICAM 1; ICAM-1; Cell surface glycoprotein P3.58; Human rhinovirus receptor; Intercellular adhesion molecule 1; Major group rhinovirus receptor; MALA2; MyD10; P3.58; Surface antigen of activated B cells; ICAM1_HUMAN; MALA-2; MyD10; intercellular adhesion molecule 1 precursor; intercellular adhesion molecule 1 (CD54); human rhinovirus receptor; major group rhinovirus receptor  
克 隆 号
适用样品基质 FFPE tissue
保存条件 Please store components at the temperatures indicated on the individual tube labels. The kit is stable for 6 months from the date of receipt.
产品介绍 ICAM-1 (CD54) is an 85-110 kDa single-chain type 1 integral membrane glycoprotein with an extracellular domain of five immunoglobulin superfamily repeats, a transmembrane region and a cytoplasmic domain. ICAM-1 has 7 potential N-linked glycosylation sites and shares considerable amino acid sequence homology with ICAM-3 (CD50) and ICAM-2 (CD102). ICAM-1 binds to integrins of type CD11a/CD18 (leukocyte adhesion molecule, LFA-1), or CD11b/CD18 (Mac-1) and is exploited by Rhinovirus as a receptor. ICAM-1 is expressed by activated endothelial cells and detected on epithelial cells, fibroblasts, chondrocytes, B lymphocytes, T lymphocytes (low), monocytes, macrophages, dendritic cells and neutrophils, with lower levels that increase upon inflammation. ICAM-1 is also detected in some carcinoma and melanoma cells. Soluble ICAM-1 is detectable in the plasma and is elevated in patients with various inflammatory syndromes.

SWISS:
P05362

Gene ID:
3383

产品图片
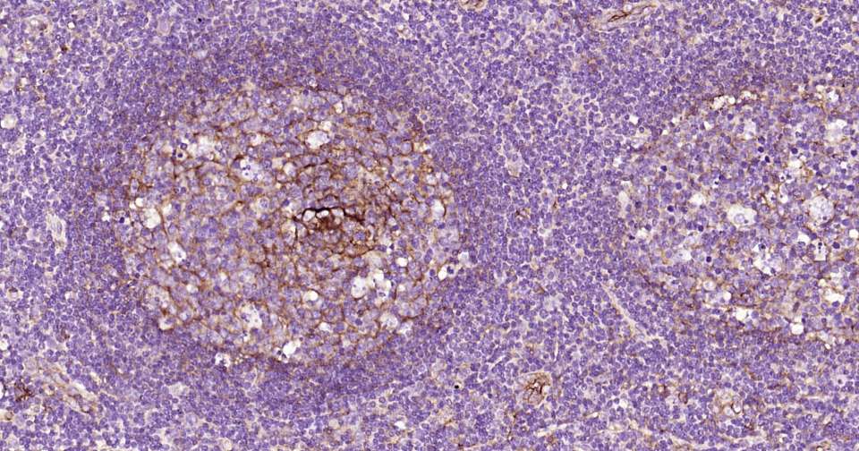
Immunohistochemical analysis of paraffin embedded human spleen tissue slide using IHC0316H (Human ICAM1 Kit).
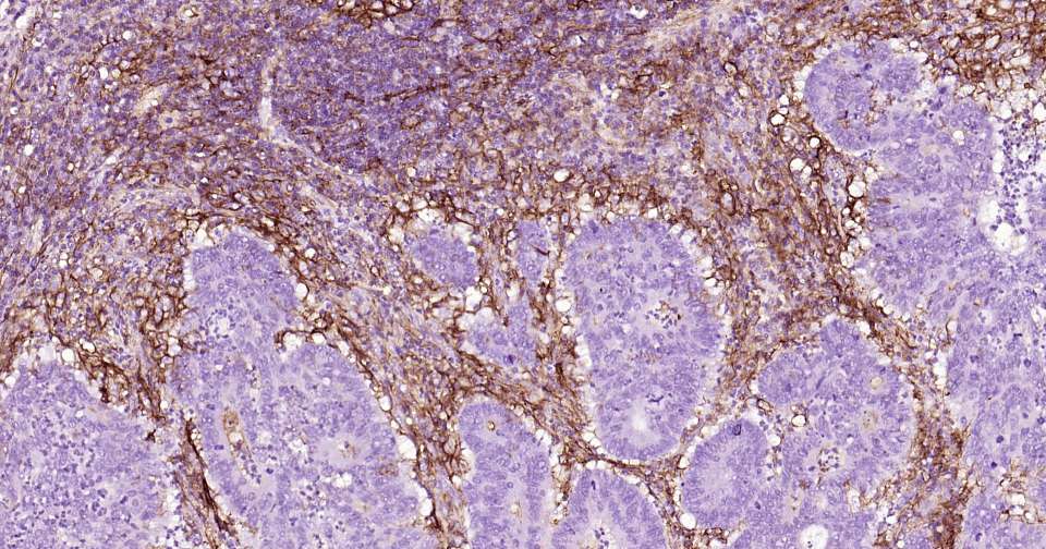
Immunohistochemical analysis of paraffin embedded human colon cancer tissue slide using IHC0316H (Human ICAM1 Kit).
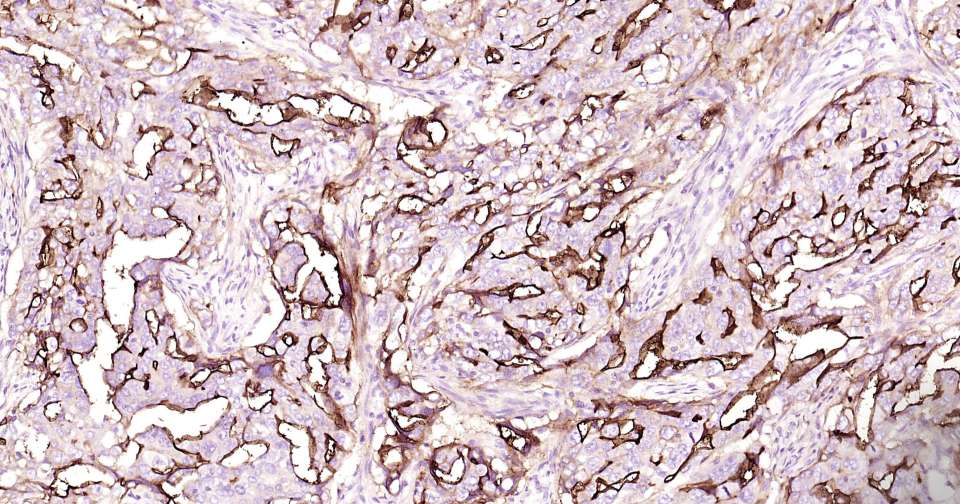
Immunohistochemical analysis of paraffin embedded human lung cancer tissue slide using IHC0316H (Human ICAM1 Kit).
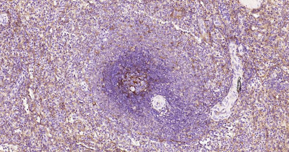
Immunohistochemical analysis of paraffin embedded human tonsil tissue slide using IHC0316H (Human ICAM1 Kit).
版权所有 2004-2026 www.bioss.com.cn 北京博奥森生物技术有限公司
通过国际质量管理体系ISO 9001:2015 GB/T 19001-2016    证书编号: 00124Q34771R2M/1100
通过国际医疗器械-质量管理体系ISO 13485:2016 GB/T 42061-2022     证书编号: CQC24QY20047R0M/1100
京ICP备05066980号-1         京公网安备110107000727号