扫码关注公众号           扫码咨询技术支持           扫码咨询技术服务
  
客服热线:400-901-9800  客服QQ:4009019800  技术答疑  技术支持  质量反馈  人才招聘  关于我们  联系我们
产品中心-北京博奥森生物技术有限公司
首页 > 产品中心 > 试剂盒 > 产品信息
Human HSP60 Ready-To-Use IHC Kit (IHC0317H)  
订购热线:400-901-9800
订购邮箱:sales@bioss.com.cn
订购QQ:  400-901-9800
技术支持:techsupport@bioss.com.cn
50T/3200.00元
大包装/询价

产品编号 IHC0317H
英文名称 Human HSP60 Ready-To-Use IHC Kit
中文名称 人热休克蛋白-60/groEL即用型免疫组化试剂盒
别    名 60kDa; CPN60; GROEL; HLD4; HSP-60; HSP60; HSP65; HSPD1; Hspd1-30p; HuCHA60; SPG13  
克 隆 号
适用样品基质 FFPE tissue
保存条件 Please store components at the temperatures indicated on the individual tube labels. The kit is stable for 6 months from the date of receipt.
产品介绍 This gene encodes a member of the chaperonin family. The encoded mitochondrial protein may function as a signaling molecule in the innate immune system. This protein is essential for the folding and assembly of newly imported proteins in the mitochondria. This gene is adjacent to a related family member and the region between the 2 genes functions as a bidirectional promoter. Several pseudogenes have been associated with this gene. Two transcript variants encoding the same protein have been identified for this gene. Mutations associated with this gene cause autosomal recessive spastic paraplegia 13.

SWISS:
P10809

Gene ID:
3329

产品图片
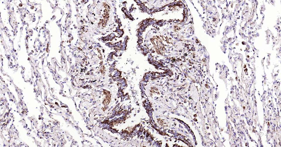
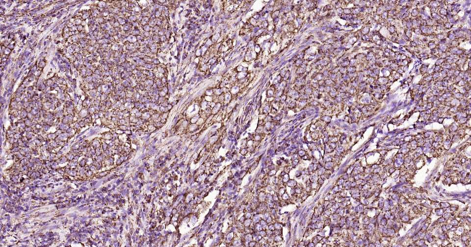
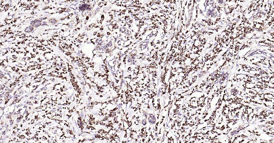
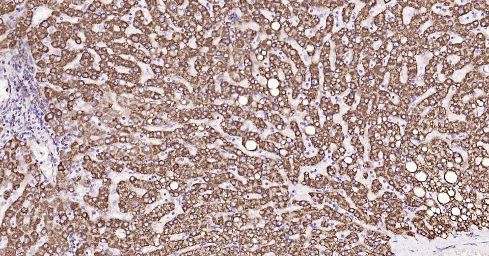
Immunohistochemical analysis of paraffin embedded human breast cancer tissue slide using IHC0317H (Human HSP60 Kit).
Immunohistochemical analysis of paraffin embedded human ovarian cancer tissue slide using IHC0317H (Human HSP60 Kit).
Immunohistochemical analysis of paraffin embedded human cervical cancer tissue slide using IHC0317H (Human HSP60 Kit).
Immunohistochemical analysis of paraffin embedded human liver tissue slide using IHC0317H (Human HSP60 Kit).
Immunohistochemical analysis of paraffin embedded human lung cancer tissue slide using IHC0317H (Human HSP60 Kit).
Immunohistochemical analysis of paraffin embedded human lung tissue slide using IHC0317H (Human HSP60 Kit).
版权所有 2004-2026 www.bioss.com.cn 北京博奥森生物技术有限公司
通过国际质量管理体系ISO 9001:2015 GB/T 19001-2016    证书编号: 00124Q34771R2M/1100
通过国际医疗器械-质量管理体系ISO 13485:2016 GB/T 42061-2022     证书编号: CQC24QY20047R0M/1100
京ICP备05066980号-1         京公网安备110107000727号