扫码关注公众号           扫码咨询技术支持           扫码咨询技术服务
  
客服热线:400-901-9800  客服QQ:4009019800  技术答疑  技术支持  质量反馈  人才招聘  关于我们  联系我们
产品中心-北京博奥森生物技术有限公司
首页 > 产品中心 > 试剂盒 > 产品信息
BDNF Ready-To-Use IHC Kit (IHC0324)  
订购热线:400-901-9800
订购邮箱:sales@bioss.com.cn
订购QQ:  400-901-9800
技术支持:techsupport@bioss.com.cn
50T/3200.00元
大包装/询价

产品编号 IHC0324
英文名称 BDNF Ready-To-Use IHC Kit
中文名称 脑源神经营养因子即用型免疫组化试剂盒
别    名 ANON2; BULN2; Abrineurin; BDNF; BDNF_HUMAN; Brain Derived Neurotrophic Factor; Brain-derived neurotrophic factor; MGC34632; MGC34632; Neurotrophin  
克 隆 号
适用样品基质 FFPE tissue
保存条件 Please store components at the temperatures indicated on the individual tube labels. The kit is stable for 6 months from the date of receipt.
产品介绍 BDNF (Brain-Derived Neurotrophic Factor) is a member of the neurotrophin family. BDNF is synthesized as pre-proBDNF, followed by cleavage to proBDNF. Although further processing generates the mature, 14 kDa protein, pro-BDNF is biologically active and is secreted in synaptic vesicles along with the mature form. BDNF is widely expressed in the central nervous system and acts in an autocrine and paracrine manner on several classes of neurons. Signaling occurs mainly through the tyrosine kinase receptor TrkB, although binding to the lower-affinity receptor, p75-NTR, has also been demonstrated. BDNF promotes neuronal survival and differentiation and has been shown to play a critical role in memory formation and synaptic regulation. BDNF is induced by cortical neurons, and is necessary for survival of striatal neurons in the brain. Expression of BDNF is reduced in both Alzheimer's and Huntington disease patients, and may also play a role in the regulation of stress response and in the biology of mood disorders.

SWISS:
P23560

Gene ID:
627

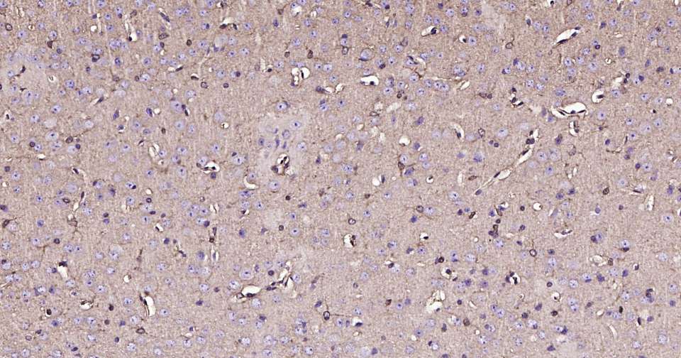
产品图片
Immunohistochemical analysis of paraffin embedded mouse brain tissue slide using IHC0324 (BDNF Kit).
Immunohistochemical analysis of paraffin embedded human left parietal lobe tissue slide using IHC0324 (BDNF Kit).
Immunohistochemical analysis of paraffin embedded rat brain tissue slide using IHC0324 (BDNF Kit).
版权所有 2004-2026 www.bioss.com.cn 北京博奥森生物技术有限公司
通过国际质量管理体系ISO 9001:2015 GB/T 19001-2016    证书编号: 00124Q34771R2M/1100
通过国际医疗器械-质量管理体系ISO 13485:2016 GB/T 42061-2022     证书编号: CQC24QY20047R0M/1100
京ICP备05066980号-1         京公网安备110107000727号