扫码关注公众号           扫码咨询技术支持           扫码咨询技术服务
  
客服热线:400-901-9800  客服QQ:4009019800  技术答疑  技术支持  质量反馈  人才招聘  关于我们  联系我们
产品中心-北京博奥森生物技术有限公司
首页 > 产品中心 > 试剂盒 > 产品信息
Mouse CD36 Ready-To-Use IHC Kit (IHC0331M)  
订购热线:400-901-9800
订购邮箱:sales@bioss.com.cn
订购QQ:  400-901-9800
技术支持:techsupport@bioss.com.cn
50T/3200.00元
大包装/询价

产品编号 IHC0331M
英文名称 Mouse CD36 Ready-To-Use IHC Kit
中文名称 小鼠CD36即用型免疫组化试剂盒
别    名 BDPLT10; CD36; CHDS7; FAT; GP3B; GP4; GPIIIB; GPIV; PAS-4; PAS4; PASIV; SCARB3  
克 隆 号
适用样品基质 FFPE tissue
保存条件 Please store components at the temperatures indicated on the individual tube labels. The kit is stable for 6 months from the date of receipt.
产品介绍 CD36, also known as scavenger receptor class B member 3, is a protein that is expressed on the surface of various cell types, including macrophages, platelets, and adipocytes. It plays a role in lipid metabolism, inflammation, and atherosclerosis, and is involved in the recognition and uptake of various ligands such as oxidized low-density lipoproteins, long-chain fatty acids, and apoptotic cells. CD36 is also implicated in the pathogenesis of malaria. The protein encoded by this gene serves as a receptor for thrombospondin in platelets and various cell lines, and is the fourth major glycoprotein of the platelet surface. It binds to collagen, thrombospondin, anionic phospholipids, and oxidized LDL, and directly mediates cytoadherence of Plasmodium falciparum parasitized erythrocytes. Mutations in this gene cause platelet glycoprotein deficiency. Multiple alternatively spliced transcript variants have been found for this gene. Diseases associated with CD36 include Platelet Glycoprotein IV Deficiency and Coronary Heart Disease 7.

SWISS:
Q08857

Gene ID:
12491

产品图片
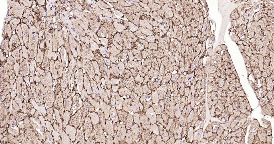
Immunohistochemical analysis of paraffin embedded mouse heart tissue slide using IHC0331M (Mouse CD36 Kit).
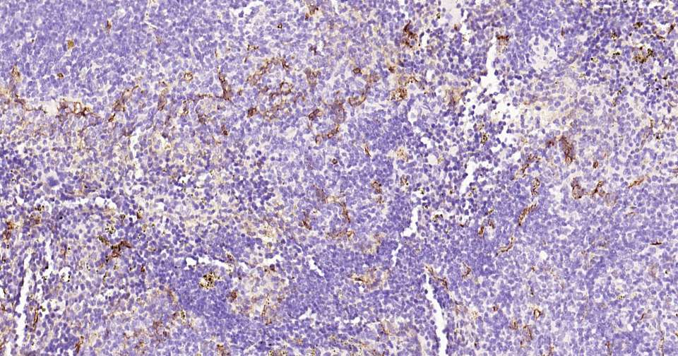
Immunohistochemical analysis of paraffin embedded mouse spleen tissue slide using IHC0331M (Mouse CD36 Kit).
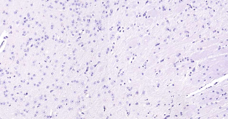
Immunohistochemical analysis of paraffin embedded mouse brain tissue slide using IHC0331M (Mouse CD36 Kit).
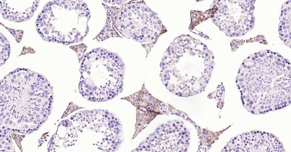
Immunohistochemical analysis of paraffin embedded mouse testis tissue slide using IHC0331M (Mouse CD36 Kit).
版权所有 2004-2026 www.bioss.com.cn 北京博奥森生物技术有限公司
通过国际质量管理体系ISO 9001:2015 GB/T 19001-2016    证书编号: 00124Q34771R2M/1100
通过国际医疗器械-质量管理体系ISO 13485:2016 GB/T 42061-2022     证书编号: CQC24QY20047R0M/1100
京ICP备05066980号-1         京公网安备110107000727号