扫码关注公众号           扫码咨询技术支持           扫码咨询技术服务
  
客服热线:400-901-9800  客服QQ:4009019800  技术答疑  技术支持  质量反馈  人才招聘  关于我们  联系我们
产品中心-北京博奥森生物技术有限公司
首页 > 产品中心 > 试剂盒 > 产品信息
Mouse Glutamine synthetase Ready-To-Use IHC Kit (IHC0333M)  
订购热线:400-901-9800
订购邮箱:sales@bioss.com.cn
订购QQ:  400-901-9800
技术支持:techsupport@bioss.com.cn
50T/3200.00元
大包装/询价

产品编号 IHC0333M
英文名称 Mouse Glutamine synthetase Ready-To-Use IHC Kit
中文名称 小鼠谷氨酰胺合成酶/谷氨酸氨连接酶即用型免疫组化试剂盒
别    名 GLNS; GLUL; GS; PIG43; PIG59; Glutamate ammonia ligase; Glutamate decarboxylase; Glutamine synthetase  
克 隆 号
适用样品基质 FFPE tissue
保存条件 Please store components at the temperatures indicated on the individual tube labels. The kit is stable for 6 months from the date of receipt.
产品介绍 Glutamine synthase is part of the glutamine synthetase family. Ammonia incorporation in animals occurs through the actions of glutamate dehydrogenase and glutamine synthase. Glutamate plays the central role in mammalian nitrogen flow, serving as both a nitrogen donor and nitrogen acceptor. It also has an important role in controlling metabolic regulations of neurotransmitter glutamate. Because of the multiple functions and importance of GS in cellular metabolism, both catalytic activities and synthesis are highly regulated. The activity of GS is controlled by adenylylation. Its activity is decreased in the cerebral cortex of brains affected by Alzheimer's disease, particularly in the vicinity of senile plaques. It is also decreased under conditions of glucose deprivation.

SWISS:
P15104

Gene ID:
2752

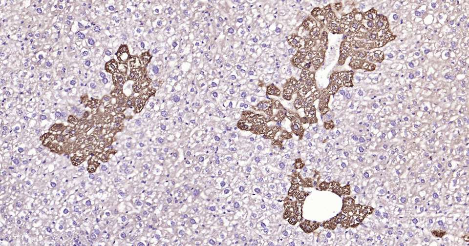
产品图片
Immunohistochemical analysis of paraffin embedded mouse liver tissue slide using IHC0333M (Mouse Glutamine synthetase Kit).
版权所有 2004-2026 www.bioss.com.cn 北京博奥森生物技术有限公司
通过国际质量管理体系ISO 9001:2015 GB/T 19001-2016    证书编号: 00124Q34771R2M/1100
通过国际医疗器械-质量管理体系ISO 13485:2016 GB/T 42061-2022     证书编号: CQC24QY20047R0M/1100
京ICP备05066980号-1         京公网安备110107000727号