扫码关注公众号           扫码咨询技术支持           扫码咨询技术服务
  
客服热线:400-901-9800  客服QQ:4009019800  技术答疑  技术支持  质量反馈  人才招聘  关于我们  联系我们
产品中心-北京博奥森生物技术有限公司
首页 > 产品中心 > 试剂盒 > 产品信息
PIK3C3 Ready-To-Use IHC Kit (IHC0339)  
订购热线:400-901-9800
订购邮箱:sales@bioss.com.cn
订购QQ:  400-901-9800
技术支持:techsupport@bioss.com.cn
50T/3200.00元
大包装/询价

产品编号 IHC0339
英文名称 PIK3C3 Ready-To-Use IHC Kit
中文名称 磷脂酰肌醇激酶3催化亚单位3即用型免疫组化试剂盒
别    名 5330434F23Rik; hVps34; PIK3C3; VPS34  
克 隆 号
适用样品基质 FFPE tissue
保存条件 Please store components at the temperatures indicated on the individual tube labels. The kit is stable for 6 months from the date of receipt.
产品介绍 PIK3C3 (hVPS34) is the sole class III member of the PI3 Kinase family. PIK3C3 phosphorylates phosphatidylinositol (PI) to produce phosphatidylinositol 3-phosphate [PI(3)P], which recruits downstream effectors containing FYVE and Phox domains to membranes. PIK3C3 is involved in coupling nutrient signaling to mTOR and also plays a role in autophagy and intracellular trafficking. Involved in regulation of degradative endocytic trafficking and required for the abcission step in cytokinesis, probably in the context of PI3KC3-C2. Involved in the transport of lysosomal enzyme precursors to lysosomes. Required for transport from early to late endosomes.

SWISS:
Q8NEB9

Gene ID:
5289

产品图片
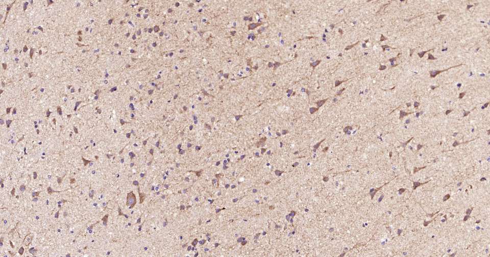
Immunohistochemical analysis of paraffin embedded mouse brain tissue slide using IHC0339 (PIK3C3 Kit).
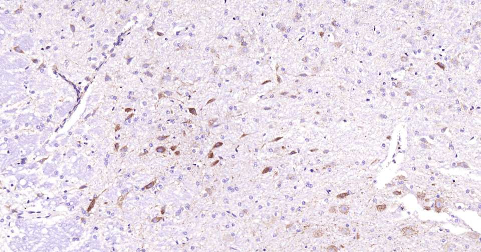
Immunohistochemical analysis of paraffin embedded human brain tissue slide using IHC0339 (PIK3C3 Kit).
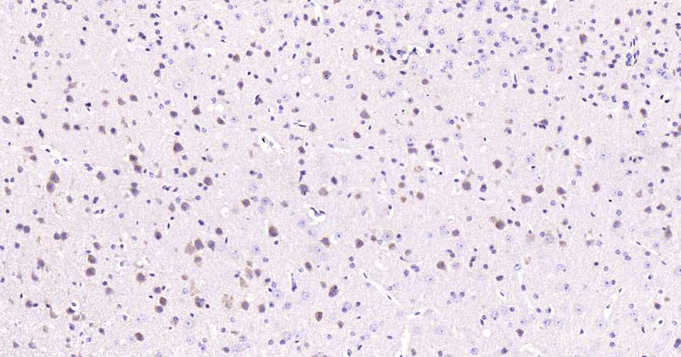
Immunohistochemical analysis of paraffin embedded rat brain tissue slide using IHC0339 (PIK3C3 Kit).
版权所有 2004-2026 www.bioss.com.cn 北京博奥森生物技术有限公司
通过国际质量管理体系ISO 9001:2015 GB/T 19001-2016    证书编号: 00124Q34771R2M/1100
通过国际医疗器械-质量管理体系ISO 13485:2016 GB/T 42061-2022     证书编号: CQC24QY20047R0M/1100
京ICP备05066980号-1         京公网安备110107000727号