扫码关注公众号           扫码咨询技术支持           扫码咨询技术服务
  
客服热线:400-901-9800  客服QQ:4009019800  技术答疑  技术支持  质量反馈  人才招聘  关于我们  联系我们
产品中心-北京博奥森生物技术有限公司
首页 > 产品中心 > 试剂盒 > 产品信息
Human Shh Ready-To-Use IHC Kit (IHC0340H)  
订购热线:400-901-9800
订购邮箱:sales@bioss.com.cn
订购QQ:  400-901-9800
技术支持:techsupport@bioss.com.cn
50T/3200.00元
大包装/询价

产品编号 IHC0340H
英文名称 Human Shh Ready-To-Use IHC Kit
中文名称 人Shh信号转导通路膜蛋白受体即用型免疫组化试剂盒
别    名 9530036O11Rik; Dsh; HHG1; HLP3; HPE3; Hx; Hxl3; M100081; MCOPCB5; SHH; SMMCI; TPT; TPTPS; Vhh-1  
克 隆 号
适用样品基质 FFPE tissue
保存条件 Please store components at the temperatures indicated on the individual tube labels. The kit is stable for 6 months from the date of receipt.
产品介绍 Sonic Hedgehog (SHH), which is expressed only during embryogenesis, is instrumental in patterning the early embryo. It has been implicated as the key inductive signal in patterning of the ventral neural tube, the anterior-posterior limb axis, and the ventral somites. Of three human proteins showing sequence and functional similarity to the Sonic Hedgehog protein of Drosophila, this protein is the most similar. The protein is made as a precursor that is autocatalytically cleaved, the N-terminal portion is soluble and contains the signalling activity while the C-terminal portion is involved in precursor processing. More importantly, the C-terminal product covalently attaches a cholesterol moiety to the N-terminal product, restricting the N-terminal product to the cell surface and preventing it from freely diffusing throughout the developing embryo. Defects in this protein or in its signalling pathway are a cause of holoprosencephaly (HPE), a disorder in which the developing forebrain fails to correctly separate into right and left hemispheres. HPE is manifested by facial deformities. In addition, it is thought that mutations in this gene or in its signalling pathway may be responsible for VACTERL syndrome, which is characterized by vertebral defects, anal atresia, tracheoesophageal fistula with esophageal atresia, radial and renal dysplasia, cardiac anomalies, and limb abnormalities.

SWISS:
Q15465

Gene ID:
6469

产品图片
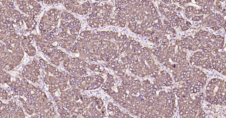
Immunohistochemical analysis of paraffin embedded human pancreatic cancer tissue slide using IHC0340H (Human Shh Kit).
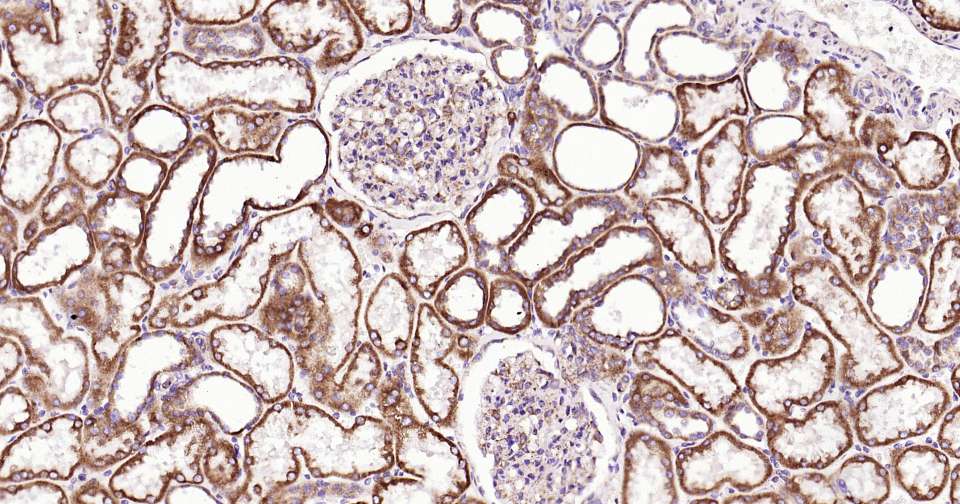
Immunohistochemical analysis of paraffin embedded human kidney tissue slide using IHC0340H (Human Shh Kit).
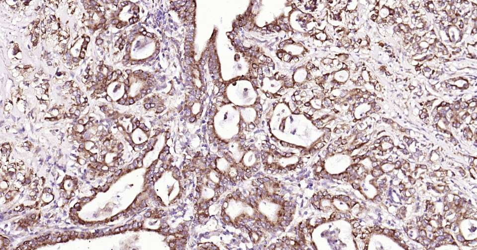
Immunohistochemical analysis of paraffin embedded human hepatocellular carcinoma tissue slide using IHC0340H (Human Shh Kit).
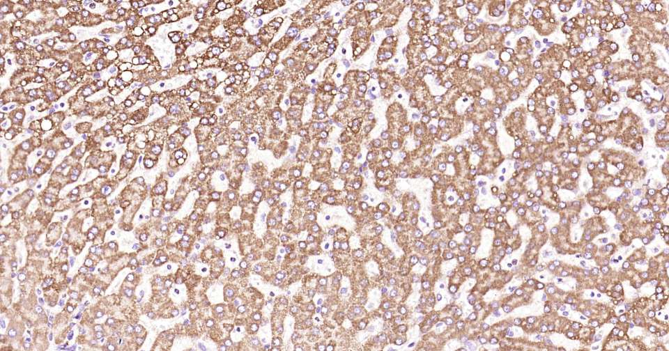
Immunohistochemical analysis of paraffin embedded human liver tissue slide using IHC0340H (Human Shh Kit).
版权所有 2004-2026 www.bioss.com.cn 北京博奥森生物技术有限公司
通过国际质量管理体系ISO 9001:2015 GB/T 19001-2016    证书编号: 00124Q34771R2M/1100
通过国际医疗器械-质量管理体系ISO 13485:2016 GB/T 42061-2022     证书编号: CQC24QY20047R0M/1100
京ICP备05066980号-1         京公网安备110107000727号