扫码关注公众号           扫码咨询技术支持           扫码咨询技术服务
  
客服热线:400-901-9800  客服QQ:4009019800  技术答疑  技术支持  质量反馈  人才招聘  关于我们  联系我们
产品中心-北京博奥森生物技术有限公司
首页 > 产品中心 > 试剂盒 > 产品信息
Human Osteopontin Ready-To-Use IHC Kit (IHC0343H)  
订购热线:400-901-9800
订购邮箱:sales@bioss.com.cn
订购QQ:  400-901-9800
技术支持:techsupport@bioss.com.cn
50T/3200.00元
大包装/询价

产品编号 IHC0343H
英文名称 Human Osteopontin Ready-To-Use IHC Kit
中文名称 人骨桥蛋白/分泌型磷蛋白1即用型免疫组化试剂盒
别    名 BNSP; BSPI; ETA-1; OPN; PSEC0156; SPP1; Bone sialoprotein 1; BSP I; Early T lymphocyte activation 1; ETA 1; ETA1; MGC110940; Nephropontin; osteopontin; Secreted phosphoprotein 1; SPP 1; SPP-1; SPP1/CALPHA1 fusion; Urinary stone protein; Uropontin  
克 隆 号
适用样品基质 FFPE tissue
保存条件 Please store components at the temperatures indicated on the individual tube labels. The kit is stable for 6 months from the date of receipt.
产品介绍 Osteopontin is an arginine-glycine-aspartic acid (RGD)-containing glycoprotein that interacts with integrins and CD44 as major receptors. It is a multifunctional protein involved in bone mineralization, cell adhesion, cell migration, chronic inflammatory disease and transformation. Proteolytic cleavage by thrombin and matrix metalloproteinases close to the integrin-binding Arg-Gly-Asp sequence modulates the function of OPN and its integrin binding properties. Thrombin-cleaved fragments of Osteopontin are overexpressed in malignant glial tumors and provide a molecular niche with survival advantage and provide a novel substrate for plasmin and cathepsin D.

SWISS:
P10451

Gene ID:
6696

产品图片
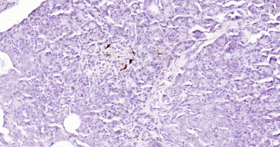
Immunohistochemical analysis of paraffin embedded human pancreatic cancer tissue slide using IHC0343H (Human Osteopontin Kit).
Immunohistochemical analysis of paraffin embedded human pancreas tissue slide using IHC0343H (Human Osteopontin Kit).
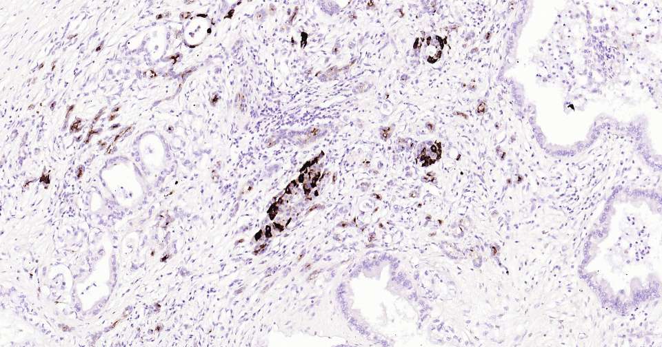
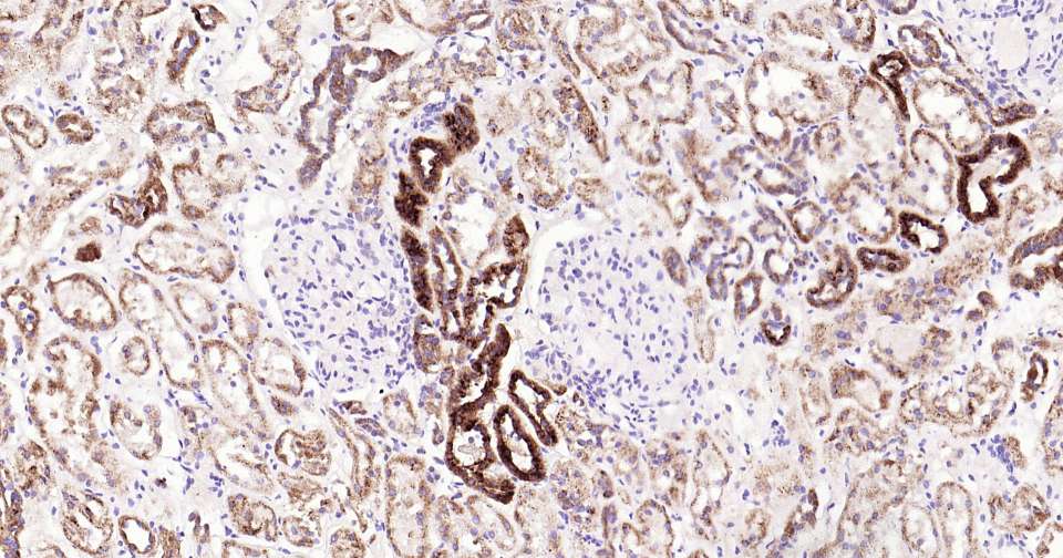
Immunohistochemical analysis of paraffin embedded human kidney tissue slide using IHC0343H (Human Osteopontin Kit).
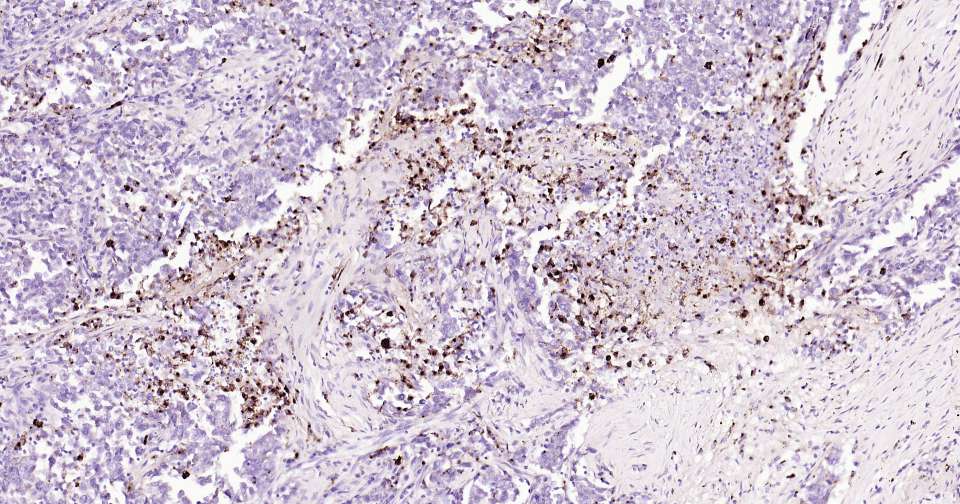
Immunohistochemical analysis of paraffin embedded human brain tissue slide using IHC0343H (Human Osteopontin Kit).
Immunohistochemical analysis of paraffin embedded human lung cancer tissue slide using IHC0343H (Human Osteopontin Kit).
版权所有 2004-2026 www.bioss.com.cn 北京博奥森生物技术有限公司
通过国际质量管理体系ISO 9001:2015 GB/T 19001-2016    证书编号: 00124Q34771R2M/1100
通过国际医疗器械-质量管理体系ISO 13485:2016 GB/T 42061-2022     证书编号: CQC24QY20047R0M/1100
京ICP备05066980号-1         京公网安备110107000727号