扫码关注公众号           扫码咨询技术支持           扫码咨询技术服务
  
客服热线:400-901-9800  客服QQ:4009019800  技术答疑  技术支持  质量反馈  人才招聘  关于我们  联系我们
产品中心-北京博奥森生物技术有限公司
首页 > 产品中心 > 试剂盒 > 产品信息
Ubiquitin Ready-To-Use IHC Kit (IHC0350)  
订购热线:400-901-9800
订购邮箱:sales@bioss.com.cn
订购QQ:  400-901-9800
技术支持:techsupport@bioss.com.cn
50T/3200.00元
大包装/询价

产品编号 IHC0350
英文名称 Ubiquitin Ready-To-Use IHC Kit
中文名称 泛素蛋白即用型免疫组化试剂盒
别    名 0610006J14Rik; 1810034D23Rik; 2700054O04Rik; AI194771; AL033289; CEP52; CEP80; D8Ertd21e; Gm1863; HEL-S-50; HEL112; HMG20; HUBCEP52; L40; polyubiquitin-C; RPL40; RPS27A; rps27a.L; RPS27L; S27A; TI-225; UBA52; UBA80; UBB; Ubb2; UBC; UBCEP1; UBCEP2; UBCEP80; XELAEV_18028796mg; Polyubiquitin B; ubiquitin; ubiquitin B  
克 隆 号
适用样品基质 FFPE tissue
保存条件 Please store components at the temperatures indicated on the individual tube labels. The kit is stable for 6 months from the date of receipt.
产品介绍 Ubiquitin, a highly conserved protein that has a major role in targeting cellular proteins for degradation by the 26S proteosome, is synthesized as a precursor protein consisting of either polyubiquitin chains or a single ubiquitin fused to an unrelated protein. This gene encodes a fusion protein consisting of ubiquitin at the N terminus and ribosomal protein S27a at the C terminus. When expressed in yeast, the protein is post-translationally processed, generating free ubiquitin monomer and ribosomal protein S27a. Ribosomal protein S27a is a component of the 40S subunit of the ribosome and belongs to the S27AE family of ribosomal proteins. It contains C4-type zinc finger domains and is located in the cytoplasm. Pseudogenes derived from this gene are present in the genome. As with ribosomal protein S27a, ribosomal protein L40 is also synthesized as a fusion protein with ubiquitin; similarly, ribosomal protein S30 is synthesized as a fusion protein with the ubiquitin-like protein fubi. Multiple alternatively spliced transcript variants that encode the same proteins have been identified.

SWISS:
P0CG47

Gene ID:
7314

产品图片
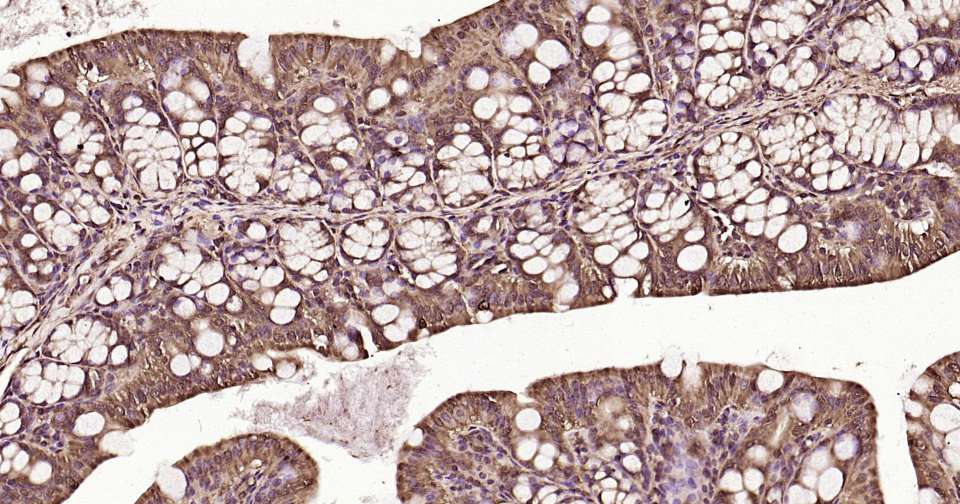
Immunohistochemical analysis of paraffin embedded mouse colon tissue slide using IHC0350 (Ubiquitin Kit).
Immunohistochemical analysis of paraffin embedded human colon tissue slide using IHC0350 (Ubiquitin Kit).
Immunohistochemical analysis of paraffin embedded human testis tissue slide using IHC0350 (Ubiquitin Kit).
Immunohistochemical analysis of paraffin embedded rat colon tissue slide using IHC0350 (Ubiquitin Kit).
版权所有 2004-2026 www.bioss.com.cn 北京博奥森生物技术有限公司
通过国际质量管理体系ISO 9001:2015 GB/T 19001-2016    证书编号: 00124Q34771R2M/1100
通过国际医疗器械-质量管理体系ISO 13485:2016 GB/T 42061-2022     证书编号: CQC24QY20047R0M/1100
京ICP备05066980号-1         京公网安备110107000727号