扫码关注公众号           扫码咨询技术支持           扫码咨询技术服务
  
客服热线:400-901-9800  客服QQ:4009019800  技术答疑  技术支持  质量反馈  人才招聘  关于我们  联系我们
产品中心-北京博奥森生物技术有限公司
首页 > 产品中心 > 试剂盒 > 产品信息
Human CD44 Ready-To-Use IHC Kit (IHC0353H)  
订购热线:400-901-9800
订购邮箱:sales@bioss.com.cn
订购QQ:  400-901-9800
技术支持:techsupport@bioss.com.cn
50T/3200.00元
大包装/询价

产品编号 IHC0353H
英文名称 Human CD44 Ready-To-Use IHC Kit
中文名称 人CD44即用型免疫组化试剂盒
别    名 AU023126; AW121933; AW146109; CD44; CDW44; CSPG8; ECMR-III; HCELL; HERMES; HUTCH-I; IN; LHR; Ly-24; MC56; MDU2; MDU3; MIC4; Pgp-1; Pgp1  
克 隆 号
适用样品基质 FFPE tissue
保存条件 Please store components at the temperatures indicated on the individual tube labels. The kit is stable for 6 months from the date of receipt.
产品介绍 CD44 cell surface antigen is a 100 kDa type 1 transmembrane glycoprotein widely expressed on human leucocytes, white matter of the brain and by some epithelial cells of the intestine and breast. Several isoforms of CD44 exist, including the predominant CD44H isoform detected in many normal tissues. CD44 is a receptor for hyaluronic acid (HA) and is involved in cell-cell interactions, cell adhesion and migration. CD44 also participates in a wide variety of cellular functions including lymphocyte activation, recirculation and homing. CD44 expression may be up-regulated upon some carcinomas, and it has been speculated that this may be related to metastatic potential. CD44 is expressed by hematopoietic, non-hematopoietic cells, epithelial tissues, and to filopodia in cultured keratinocytes. Further, bone marrow myeloid cells and memory T cells express CD44 at high levels, and peripheral B and T cells can upregulate the expression of CD44 in response to certain stimulatory events. Transcripts for the CD44 gene undergo complex alternative splicing that results in many functionally distinct isoforms, however, the full-length nature of some of these variants have not been determined. Alternative splicing is the basis for the structural and functional diversity of the CD44 protein. Diseases associated with CD44 dysfunction include superficial keratitis and lichen sclerosus. CD44 also may be related to tumor metastasis formation.

SWISS:
P16070

Gene ID:
960

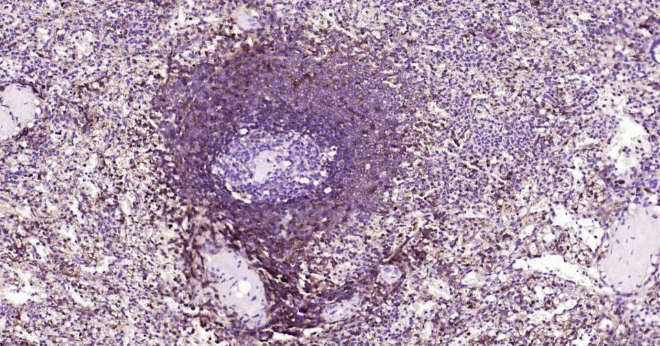
产品图片
Immunohistochemical analysis of paraffin embedded human esophagus tissue slide using IHC0353H (Mouse CD44 Kit).
Immunohistochemical analysis of paraffin embedded human kidney tissue slide using IHC0353H (Mouse CD44 Kit).
Immunohistochemical analysis of paraffin embedded human spleen tissue slide using IHC0353H (Mouse CD44 Kit).
Immunohistochemical analysis of paraffin embedded human colon cancer tissue slide using IHC0353H (Mouse CD44 Kit).
Immunohistochemical analysis of paraffin embedded human abdominal skin tissue slide using IHC0353H (Mouse CD44 Kit).
Immunohistochemical analysis of paraffin embedded human tonsil tissue slide using IHC0353H (Mouse CD44 Kit).
版权所有 2004-2026 www.bioss.com.cn 北京博奥森生物技术有限公司
通过国际质量管理体系ISO 9001:2015 GB/T 19001-2016    证书编号: 00124Q34771R2M/1100
通过国际医疗器械-质量管理体系ISO 13485:2016 GB/T 42061-2022     证书编号: CQC24QY20047R0M/1100
京ICP备05066980号-1         京公网安备110107000727号