扫码关注公众号           扫码咨询技术支持           扫码咨询技术服务
  
客服热线:400-901-9800  客服QQ:4009019800  技术答疑  技术支持  质量反馈  人才招聘  关于我们  联系我们
产品中心-北京博奥森生物技术有限公司
首页 > 产品中心 > 试剂盒 > 产品信息
Human Periostin Ready-To-Use IHC Kit (IHC0356H)  
订购热线:400-901-9800
订购邮箱:sales@bioss.com.cn
订购QQ:  400-901-9800
技术支持:techsupport@bioss.com.cn
50T/3200.00元
大包装/询价

产品编号 IHC0356H
英文名称 Human Periostin Ready-To-Use IHC Kit
中文名称 人成骨细胞特异性因子2即用型免疫组化试剂盒
别    名 A630052E07Rik; AI747096; OSF-2; OSF2; PDLPOSTN; peri; PLF; PN; POSTN; Osteoblast-specific factor 2; Periostin  
克 隆 号
适用样品基质 FFPE tissue
保存条件 Please store components at the temperatures indicated on the individual tube labels. The kit is stable for 6 months from the date of receipt.
产品介绍 Periostin (PN), also designated osteoblast-specific factor 2 (OSF-2), is a disulfide linked protein originally isolated as a osteoblast-specific factor. Periostin is a secreted protein that binds heparin and functions as a ligand for alpha(V)beta(3) and alpha(V)beta(5) integrins. In preosteoblasts, Periostin acts as a cell adhesion molecule and plays a role in osteoblast recruitment, spreading and attachment. Periostin is mainly detected in lower gastrointestinal tract, aorta, stomach, placenta, uterus and breast tissues but is up-regulated in epithelial ovarian tumors and overexpressed in breast cancer. Expression of Periostin is increased by bone morphogenetic protein (BMP2) and transforming growth factor beta 1(TGF beta 1). Periostin contains a typical signal sequence, followed by a cysteine-rich domain, a fourfold repeated domain, which shows homology with the insect protein fasciclin, and a C-terminal domain.

SWISS:
Q15063

Gene ID:
10631

产品图片
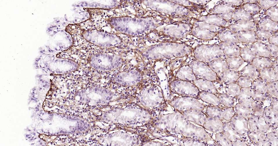
Immunohistochemical analysis of paraffin embedded human stomach tissue slide using IHC0356H (Human Periostin Kit).
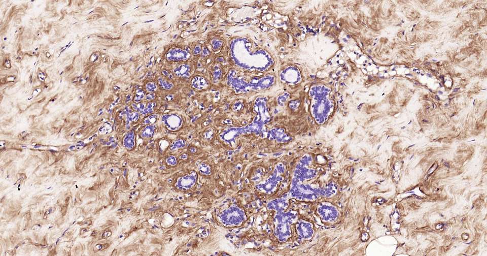
Immunohistochemical analysis of paraffin embedded human mammary gland tissue slide using IHC0356H (Human Periostin Kit).
Immunohistochemical analysis of paraffin embedded human colon tissue slide using IHC0356H (Human Periostin Kit).
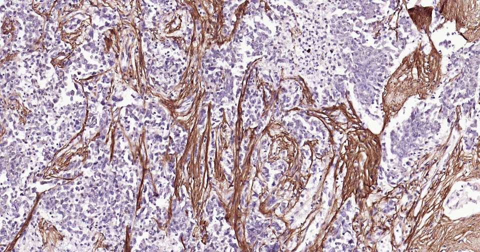
Immunohistochemical analysis of paraffin embedded human lung cancer tissue slide using IHC0356H (Human Periostin Kit).
版权所有 2004-2026 www.bioss.com.cn 北京博奥森生物技术有限公司
通过国际质量管理体系ISO 9001:2015 GB/T 19001-2016    证书编号: 00124Q34771R2M/1100
通过国际医疗器械-质量管理体系ISO 13485:2016 GB/T 42061-2022     证书编号: CQC24QY20047R0M/1100
京ICP备05066980号-1         京公网安备110107000727号