扫码关注公众号           扫码咨询技术支持           扫码咨询技术服务
  
客服热线:400-901-9800  客服QQ:4009019800  技术答疑  技术支持  质量反馈  人才招聘  关于我们  联系我们
产品中心-北京博奥森生物技术有限公司
首页 > 产品中心 > 试剂盒 > 产品信息
Mouse SOX9 Ready-To-Use IHC Kit (IHC0359M)  
订购热线:400-901-9800
订购邮箱:sales@bioss.com.cn
订购QQ:  400-901-9800
技术支持:techsupport@bioss.com.cn
50T/3200.00元
大包装/询价

产品编号 IHC0359M
英文名称 Mouse SOX9 Ready-To-Use IHC Kit
中文名称 小鼠转录因子SOX9蛋白即用型免疫组化试剂盒
别    名 2010306G03Rik; AV220920; CMD1; CMPD1; mKIAA4243; Sox-9; SOX9; SRA1; SRXX2; SRXY10  
克 隆 号
适用样品基质 FFPE tissue
保存条件 Please store components at the temperatures indicated on the individual tube labels. The kit is stable for 6 months from the date of receipt.
产品介绍 SOX9 has a role in sex determination and differentiation of Sertoli cells. It is involved in chondrogenesis and regulates the expression of other genes involved in chondrogenesis by acting as a transcription factor for these genes. Translocation of this gene can cause campomelic dysplasia. SOX9 is involved in the formation of testes from the indifferent fetal gonads. It is a major molecular component of the neuron-glia switch in developing spinal cord. During normal development, SOX9 allows the prostate epithelium to outgrow into the mesenchyme and then provides basal cell support for development and maintenance of the luminal epithelium. These functions of SOX9 are subverted in prostate cancer to support tumor growth and invasion. SOX9 may direct the formation of neural crest precursors and the development of a range of neural crest derivative. It has a transcriptional regulation in melanin production in cells. Northern blot analysis shows its expression on adult testis, adult heart, and fetal brain.

SWISS:
P48436

Gene ID:
6662

产品图片
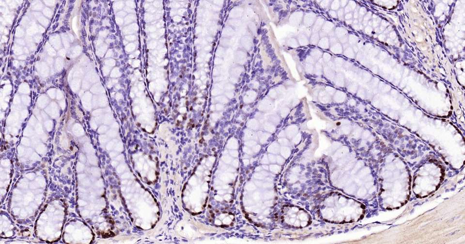
Immunohistochemical analysis of paraffin embedded mouse colon tissue slide using IHC0359M (Mouse SOX9 Kit).
版权所有 2004-2026 www.bioss.com.cn 北京博奥森生物技术有限公司
通过国际质量管理体系ISO 9001:2015 GB/T 19001-2016    证书编号: 00124Q34771R2M/1100
通过国际医疗器械-质量管理体系ISO 13485:2016 GB/T 42061-2022     证书编号: CQC24QY20047R0M/1100
京ICP备05066980号-1         京公网安备110107000727号