扫码关注公众号           扫码咨询技术支持           扫码咨询技术服务
  
客服热线:400-901-9800  客服QQ:4009019800  技术答疑  技术支持  质量反馈  人才招聘  关于我们  联系我们
产品中心-北京博奥森生物技术有限公司
首页 > 产品中心 > 试剂盒 > 产品信息
Human PAX6 Ready-To-Use IHC Kit (IHC0367H)  
订购热线:400-901-9800
订购邮箱:sales@bioss.com.cn
订购QQ:  400-901-9800
技术支持:techsupport@bioss.com.cn
50T/3200.00元
大包装/询价

产品编号 IHC0367H
英文名称 Human PAX6 Ready-To-Use IHC Kit
中文名称 人转录因子Pax6即用型免疫组化试剂盒
别    名 1500038E17Rik; AEY11; AN; Dey; FVH1; Gsfaey11; Pax-6; AN 2; AN antibody; AN2; Aniridia type II protein; D11S812E; MGC17209; MGDA; Oculorhombin; Paired box 6; Paired box gene 6 (aniridia keratitis); Paired Box Gene 6; Paired box homeotic gene 6; Paired box protein Pax-6; Paired box protein Pax6; PAX 6; PAX6; PAX6_HUMAN; Sey; WAGR  
克 隆 号
适用样品基质 FFPE tissue
保存条件 Please store components at the temperatures indicated on the individual tube labels. The kit is stable for 6 months from the date of receipt.
产品介绍 This gene encodes paired box gene 6, one of many human homologs of the Drosophila melanogaster gene prd. In addition to the hallmark feature of this gene family, a conserved paired box domain, the encoded protein also contains a homeo box domain. Both domains are known to bind DNA, and function as regulators of gene transcription. This gene is expressed in the developing nervous system, and in developing eyes. Mutations in this gene are known to cause ocular disorders such as aniridia and Peter's anomaly. Alternatively spliced transcript variants encoding either the same or different isoform have been found for this gene.

SWISS:
P26367

Gene ID:
5080

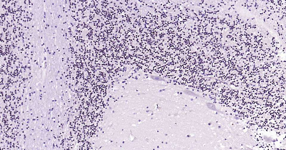
产品图片
Immunohistochemical analysis of paraffin embedded human cerebellum tissue slide using IHC0367H (Human PAX6 Kit).
版权所有 2004-2026 www.bioss.com.cn 北京博奥森生物技术有限公司
通过国际质量管理体系ISO 9001:2015 GB/T 19001-2016    证书编号: 00124Q34771R2M/1100
通过国际医疗器械-质量管理体系ISO 13485:2016 GB/T 42061-2022     证书编号: CQC24QY20047R0M/1100
京ICP备05066980号-1         京公网安备110107000727号