扫码关注公众号           扫码咨询技术支持           扫码咨询技术服务
  
客服热线:400-901-9800  客服QQ:4009019800  技术答疑  技术支持  质量反馈  人才招聘  关于我们  联系我们
产品中心-北京博奥森生物技术有限公司
首页 > 产品中心 > 试剂盒 > 产品信息
Human Tenascin Ready-To-Use IHC Kit (IHC0369H)  
订购热线:400-901-9800
订购邮箱:sales@bioss.com.cn
订购QQ:  400-901-9800
技术支持:techsupport@bioss.com.cn
50T/3200.00元
大包装/询价

产品编号 IHC0369H
英文名称 Human Tenascin Ready-To-Use IHC Kit
中文名称 人细胞粘合素(固生蛋白)即用型免疫组化试剂盒
别    名 150-225; AI528729; C130033P17Rik; cytotactin; DFNA56; Ten; tenascin-C; 150 225; Cytotactin; Glioma associated extracellular matrix antigen; Glioma-associated-extracellular matrix antigen; GMEM; GP 150 225; GP 150-225; GP; Hexabrachion; HXB; JI; MGC167029; Miotendinous antigen; Myotendinous antigen; Neuronectin; TENA_HUMAN; Tenascin; Tenascin-C; Tenascin-C isoform 14/AD1/16; TenascinC; TN; TN C; TN-C; TNC  
克 隆 号
适用样品基质 FFPE tissue
保存条件 Please store components at the temperatures indicated on the individual tube labels. The kit is stable for 6 months from the date of receipt.
产品介绍 Tenascin is a high molecular weight, multifunctional, extracellular matrix glycoprotein expressed in association with mesenchymal-epithelial interactions during development and in the neovasculature and stroma of undifferentiated tumors (Erickson and Bourdon 1989). It has been described under a variety of names: cytotactin, hexabrachion protein, J1, myotendinous antigen (MI) and glioma mesenchymal extracellular matrix (GMEM). The tenascin molecule is a disulfide-linked hexamer. The expression of tenascin is associated with development and growth, both normal and pathological, whereas the distribution in normal adult tissue is restricted.

SWISS:
P24821

Gene ID:
3371

产品图片
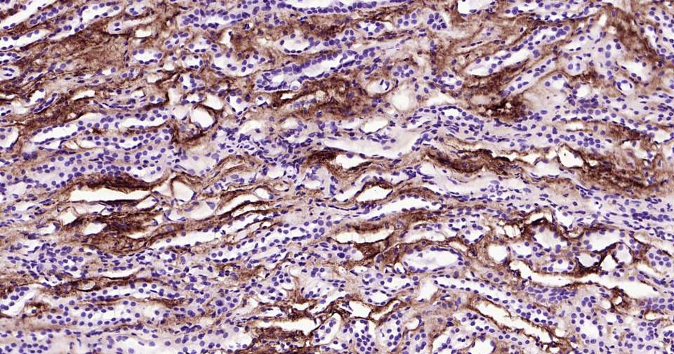
Immunohistochemical analysis of paraffin embedded human kidney tissue slide using IHC0369H (Human Tenascin Kit).
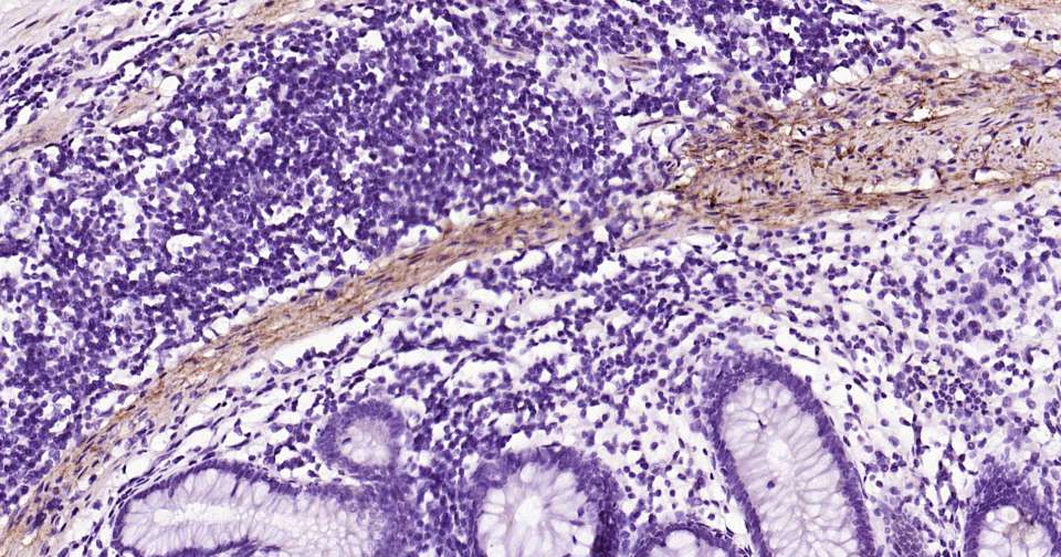
Immunohistochemical analysis of paraffin embedded human colon cancer tissue slide using IHC0369H (Human Tenascin Kit).
版权所有 2004-2026 www.bioss.com.cn 北京博奥森生物技术有限公司
通过国际质量管理体系ISO 9001:2015 GB/T 19001-2016    证书编号: 00124Q34771R2M/1100
通过国际医疗器械-质量管理体系ISO 13485:2016 GB/T 42061-2022     证书编号: CQC24QY20047R0M/1100
京ICP备05066980号-1         京公网安备110107000727号