扫码关注公众号           扫码咨询技术支持           扫码咨询技术服务
  
客服热线:400-901-9800  客服QQ:4009019800  技术答疑  技术支持  质量反馈  人才招聘  关于我们  联系我们
产品中心-北京博奥森生物技术有限公司
首页 > 产品中心 > 试剂盒 > 产品信息
Mouse CNPase Ready-To-Use IHC Kit (IHC0370M)  
订购热线:400-901-9800
订购邮箱:sales@bioss.com.cn
订购QQ:  400-901-9800
技术支持:techsupport@bioss.com.cn
50T/3200.00元
大包装/询价

产品编号 IHC0370M
英文名称 Mouse CNPase Ready-To-Use IHC Kit
中文名称 小鼠2’,3’-环腺苷酸-3’-磷酸二酯酶即用型免疫组化试剂盒
别    名 CNPF; CNPII; 2; 3-cyclic-nucleotide 3-phosphodiesterase; CNPase; Cnp; Cnp-1; Cnp1; 2; 23 cyclic nucleotide 3 phosphodiesterase; 23-cyclic-nucleotide 3-phosphodiesterase; 3-cyclic-nucleotide 3-phosphodiesterase; CN37_HUMAN; CNP 1; CNP; CNP1; CNPase  
克 隆 号
适用样品基质 FFPE tissue
保存条件 Please store components at the temperatures indicated on the individual tube labels. The kit is stable for 6 months from the date of receipt.
产品介绍 CNP may participate in RNA metabolism in the myelinating cell, CNP is the third most abundant protein in central nervous system myelin.

SWISS:
P09543

Gene ID:
1267

产品图片
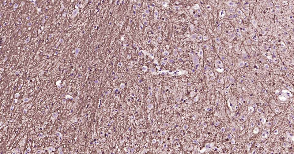
Immunohistochemical analysis of paraffin embedded mouse brain tissue slide using IHC0370M (Mouse CNPase Kit).
版权所有 2004-2026 www.bioss.com.cn 北京博奥森生物技术有限公司
通过国际质量管理体系ISO 9001:2015 GB/T 19001-2016    证书编号: 00124Q34771R2M/1100
通过国际医疗器械-质量管理体系ISO 13485:2016 GB/T 42061-2022     证书编号: CQC24QY20047R0M/1100
京ICP备05066980号-1         京公网安备110107000727号