扫码关注公众号           扫码咨询技术支持           扫码咨询技术服务
  
客服热线:400-901-9800  客服QQ:4009019800  技术答疑  技术支持  质量反馈  人才招聘  关于我们  联系我们
产品中心-北京博奥森生物技术有限公司
首页 > 产品中心 > 试剂盒 > 产品信息
IKB alpha Ready-To-Use IHC Kit (IHC0372)  
订购热线:400-901-9800
订购邮箱:sales@bioss.com.cn
订购QQ:  400-901-9800
技术支持:techsupport@bioss.com.cn
50T/3200.00元
大包装/询价

产品编号 IHC0372
英文名称 IKB alpha Ready-To-Use IHC Kit
中文名称 核因子κB抑制蛋白α即用型免疫组化试剂盒
别    名 AI462015; MAD-3; RL/IF-1; IKBA; IKBalpha; MAD 3; MAD3; NF kappa B inhibitor alpha; NFKBI; NFKBIA  
克 隆 号
适用样品基质 FFPE tissue
保存条件 Please store components at the temperatures indicated on the individual tube labels. The kit is stable for 6 months from the date of receipt.
产品介绍 IkB-alpha is a 40 kDa protein that functions to inhibit NF- kappaB activity. The inhibition occurs via protein-protein interaction between I kappaB proteins and NF- kappaB dimers in the cytosol. The interaction of I kappa B-alpha with NF- kappaB masks the nuclear localization sequence of NF- kappaB, preventing NF- kappaB translocation to the nucleus. A variety of stimuli can activate gene expression by liberating NF- kappaB through the degradation of I kappaB alpha. These stimuli include the proinflammatory cytokines TNF- alpha and IL-1 beta, chemokines, PMA, growth factors, LPS, UV irradiation, viral infection, as well as various chemical and physical stresses. In humans, the gene is located on the q arm of chromosome 14. Activation of NFkB requires that IkB be phosphorylated on specific serine residues, which results in targeted degradation of IkB. IkB kinase alpha (IKK alpha), previously designated CHUK, interacts with IkB-alpha and specifically phosphorylates IkB-alpha on the sites that trigger its degradation Serines 32 and 36. IKK alpha appears to be critical for NFkB activation in response to proinflammatory cytokines. Phosphorylation of IkB by IKK alpha is stimulated by the NFkB inducing kinase (NIK), which itself is a central regulator for NFkB activation in response to TNF and IL-1. The functional IKK complex contains three subunits, IKK alpha, IKK beta and IKK gamma, and each appear to make essential contributions to IkB phosphorylation.

SWISS:
P25963

Gene ID:
4792

产品图片
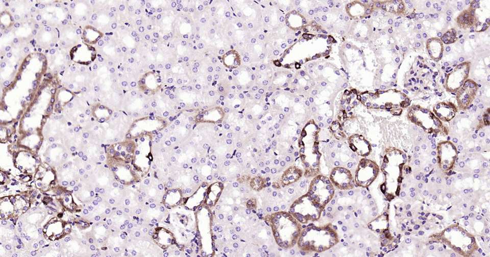
Immunohistochemical analysis of paraffin embedded mouse kidney tissue slide using IHC0372 (IKB alpha Kit).
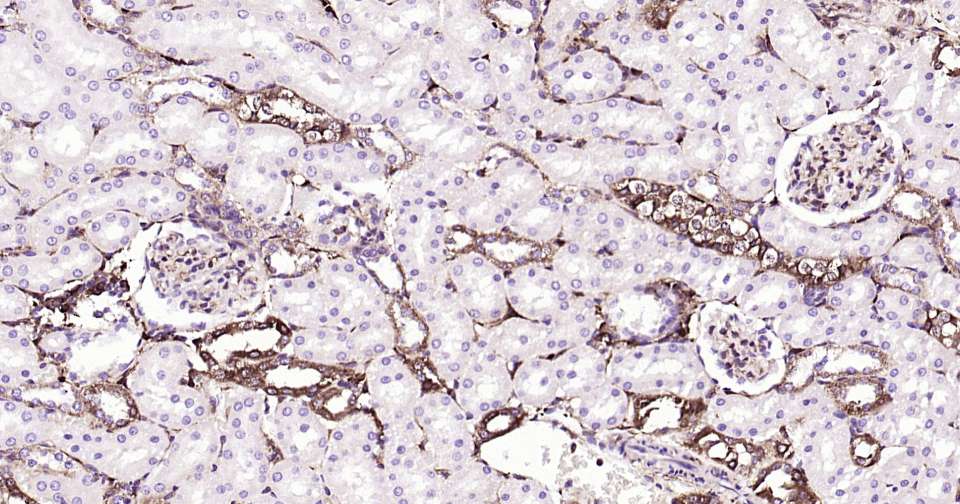
Immunohistochemical analysis of paraffin embedded human kidney tissue slide using IHC0372 (IKB alpha Kit).
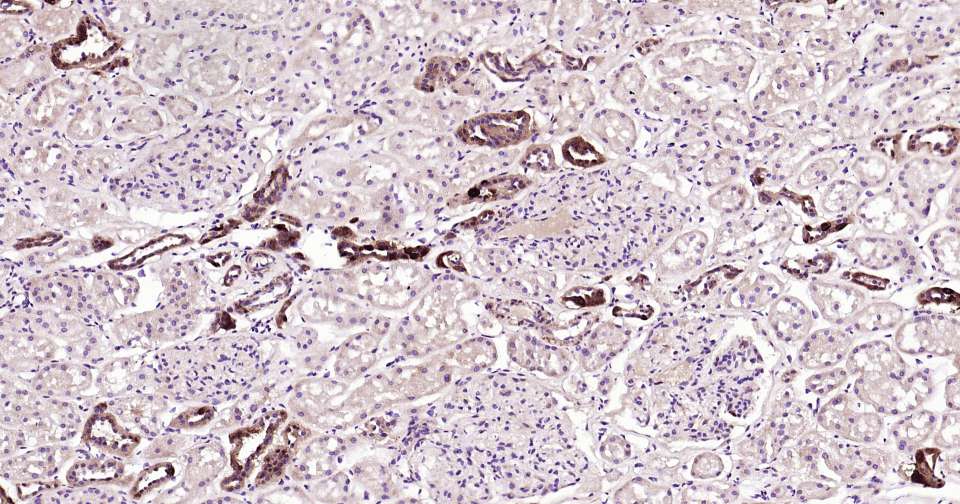
Immunohistochemical analysis of paraffin embedded rat kidney tissue slide using IHC0372 (IKB alpha Kit).
版权所有 2004-2026 www.bioss.com.cn 北京博奥森生物技术有限公司
通过国际质量管理体系ISO 9001:2015 GB/T 19001-2016    证书编号: 00124Q34771R2M/1100
通过国际医疗器械-质量管理体系ISO 13485:2016 GB/T 42061-2022     证书编号: CQC24QY20047R0M/1100
京ICP备05066980号-1         京公网安备110107000727号