扫码关注公众号           扫码咨询技术支持           扫码咨询技术服务
  
客服热线:400-901-9800  客服QQ:4009019800  技术答疑  技术支持  质量反馈  人才招聘  关于我们  联系我们
产品中心-北京博奥森生物技术有限公司
首页 > 产品中心 > 试剂盒 > 产品信息
OLIG2 Ready-To-Use IHC Kit (IHC0375)  
订购热线:400-901-9800
订购邮箱:sales@bioss.com.cn
订购QQ:  400-901-9800
技术支持:techsupport@bioss.com.cn
50T/3200.00元
大包装/询价

产品编号 IHC0375
英文名称 OLIG2 Ready-To-Use IHC Kit
中文名称 少突胶质细胞转录因子2即用型免疫组化试剂盒
别    名 AI604895; BHLHB1; BHLHE19; Olg-2; OLIG2; OLIGO2; PRKCBP2; RACK17; RK17; bHLHe19; oligodendrocyte transcription factor 2  
克 隆 号
适用样品基质 FFPE tissue
保存条件 Please store components at the temperatures indicated on the individual tube labels. The kit is stable for 6 months from the date of receipt.
产品介绍 This gene encodes a basic helix-loop-helix transcription factor which is expressed in oligodendroglial tumors of the brain. The protein is an essential regulator of ventral neuroectodermal progenitor cell fate. The gene is involved in a chromosomal translocation t(14;21)(q11.2;q22) associated with T-cell acute lymphoblastic leukemia. Its chromosomal location is within a region of chromosome 21 which has been suggested to play a role in learning deficits associated with Down syndrome. Tissue specificity: Expressed in the brain, in oligodendrocytes. Strongly expressed in oligodendrogliomas, while expression is weak to moderate in astrocytomas. Expression in glioblastomas highly variable.

SWISS:
Q13516

Gene ID:
10215

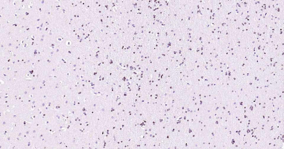
产品图片
Immunohistochemical analysis of paraffin embedded mouse brain tissue slide using IHC0375 (OLIG2 Kit).
Immunohistochemical analysis of paraffin embedded human glioma tissue slide using IHC0375 (OLIG2 Kit).
Immunohistochemical analysis of paraffin embedded rat brain tissue slide using IHC0375 (OLIG2 Kit).
版权所有 2004-2026 www.bioss.com.cn 北京博奥森生物技术有限公司
通过国际质量管理体系ISO 9001:2015 GB/T 19001-2016    证书编号: 00124Q34771R2M/1100
通过国际医疗器械-质量管理体系ISO 13485:2016 GB/T 42061-2022     证书编号: CQC24QY20047R0M/1100
京ICP备05066980号-1         京公网安备110107000727号