扫码关注公众号           扫码咨询技术支持           扫码咨询技术服务
  
客服热线:400-901-9800  客服QQ:4009019800  技术答疑  技术支持  质量反馈  关于我们  联系我们
产品中心-北京博奥森生物技术有限公司
首页 > 产品中心 > 一抗 > 产品信息
YY1 Recombinant Rabbit mAb, Nuclear Loading Control (bsm-52349R)  
订购热线:400-901-9800
订购邮箱:sales@bioss.com.cn
订购QQ:  400-901-9800
技术支持:techsupport@bioss.com.cn
50ul/1400.00元
100ul/2500.00元
大包装/询价

产品编号 bsm-52349R
英文名称 YY1 Recombinant Rabbit mAb, Nuclear Loading Control
中文名称 核转录调节因子YY1 (核内参)重组兔单抗
别    名 Yin Yang 1; YY1 transcription factor; CF1; delta; delta transcription factor; NF E1; NFE1; Transcriptional repressor protein YY1; UCR motif DNA binding protein; UCRBP; Yin and yang 1; Yin Yang 1; Ying Yang 1; YY 1; YY 1 transcription factor; TYY1_HUMAN.  
产品类型 内参抗体 重组兔单抗 
研究领域 细胞生物  染色质和核信号  神经生物学  信号转导  细胞周期蛋白  转录调节因子  锌指蛋白  表观遗传学  
抗体来源 Rabbit
克隆类型 Recombinant
克 隆 号 5F2
交叉反应 Human,Mouse,Rat
产品应用 WB=1:500-2000,IHC-P=1:50-200,IHC-F=1:50-200,IF=1:50-200,Flow-Cyt=1:50-100
not yet tested in other applications.
optimal dilutions/concentrations should be determined by the end user.
理论分子量 46 kDa
检测分子量
细胞定位 细胞核 
性    状 Liquid
浓    度 1mg/ml
免 疫 原 Recombinant human YY1 
亚    型 IgG
纯化方法 affinity purified by Protein A
缓 冲 液 0.01M TBS (pH7.4) with 1% BSA, 0.02% Proclin300 and 50% Glycerol.
保存条件 Store at -20℃ for one year. Avoid repeated freeze/thaw cycles.
注意事项 This product as supplied is intended for research use only, not for use in human, therapeutic or diagnostic applications.
PubMed PubMed
产品介绍 YY1 is a ubiquitously distributed transcription factor belonging to the GLI Kruppel class of zinc finger proteins. The protein is involved in repressing and activating a diverse number of promoters. YY1 may direct histone deacetylases and histone acetyltransferases to a promoter in order to activate or repress the promoter, thus implicating histone modification in the function of YY1.

Function:
Multifunctional transcription factor that exhibits positive and negative control on a large number of cellular and viral genes by binding to sites overlapping the transcription start site. Binds to the consensus sequence 5'-CCGCCATNTT-3'; some genes have been shown to contain a longer binding motif allowing enhanced binding; the initial CG dinucleotide can be methylated greatly reducing the binding affinity. The effect on transcription regulation is depending upon the context in which it binds and diverse mechanisms of action include direct activation or repression, indirect activation or repression via cofactor recruitment, or activation or repression by disruption of binding sites or conformational DNA changes. Its activity is regulated by transcription factors and cytoplasmic proteins that have been shown to abrogate or completely inhibit YY1-mediated activation or repression. For example, it acts as a repressor in absence of adenovirus E1A protein but as an activator in its presence. May play an important role in development and differentiation. Proposed to recruit the PRC2/EED-EZH2 complex to target genes that are transcriptional repressed. Involved in DNA repair. In vitro, binds to DNA recombination intermediate structures (Holliday junctions).
Proposed core component of the chromatin remodeling INO80 complex which is involved in transcriptional regulation, DNA replication and probably DNA repair; proposed to target the INO80 complex to YY1-responsive elements.

Subunit:
Interacts with YAF2 through the region encompassing the first and second zinc fingers. Component of the chromatin remodeling INO80 complex; specifically part of a complex module associated with the DBINO domain of INO80. Interacts with EED and EZH2; the interactions are indicative for an association with the PRC2/EED-EZH2 complex.

Subcellular Location:
Nucleus matrix. Note=Associated with the nuclear matrix.

Post-translational modifications:
Transiently poly-ADP-ribosylated by PARP1 upon DNA damage, with the effect of decreasing affinity of YY1 to its cognate DNA binding sites.

Similarity:
Belongs to the YY transcription factor family.
Contains 4 C2H2-type zinc fingers.

SWISS:
P25490

Gene ID:
7528

Database links:

Entrez Gene: 7528 Human

Entrez Gene: 22632 Mouse

Entrez Gene: 24919 Rat

Omim: 600013 Human

SwissProt: P25490 Human

SwissProt: Q00899 Mouse

Unigene: 388927 Human

Unigene: 3868 Mouse

Unigene: 458511 Mouse

Unigene: 95861 Rat



产品图片
Sample: Lane 1: MCF-7 (Human) Cell Lysate at 30 ug Lane 2: Jurkat (Human) Cell Lysate at 30 ug Lane 3: Du145 (Human) Cell Lysate at 30 ug Lane 4: U251 (Human) Cell Lysate at 30 ug Lane 5: Panc-1 (Human) Cell Lysate at 30 ug Lane 6: MDA-MB-231 (Human) Cell Lysate at 30 ug Lane 7: Molt-4 (Human) Cell Lysate at 30 ug Lane 8: Hela (Human) Cell Lysate at 30 ug Lane 9: HL60 (Human) Cell Lysate at 30 ug Lane 10: Urinary bladder (Mouse) Lysate at 40 ug Lane 11: Testis (Mouse) Lysate at 40 ug Primary: Anti- YY1 (bsm-52349R) at 1/1000 dilution Secondary: IRDye800CW Goat Anti-Rabbit IgG at 1/20000 dilution Predicted band size: 65-68 kD Observed band size: 65 kD
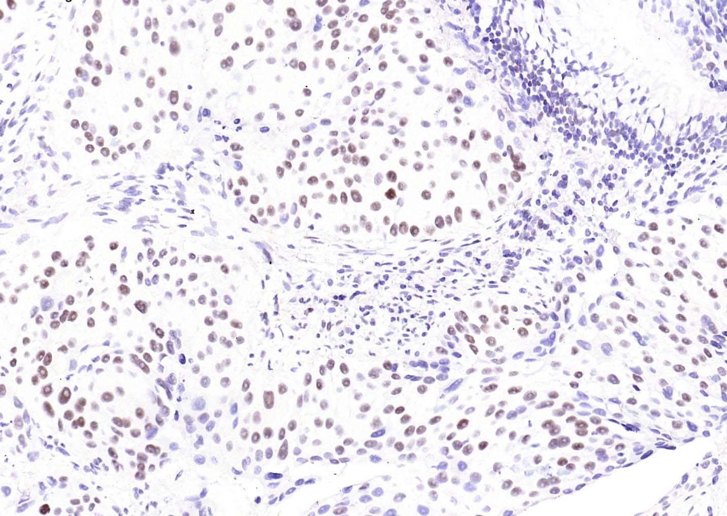
Paraformaldehyde-fixed, paraffin embedded (human breast carcinoma); Antigen retrieval by boiling in sodium citrate buffer (pH6.0) for 15min; Block endogenous peroxidase by 3% hydrogen peroxide for 20 minutes; Blocking buffer (normal goat serum) at 37°C for 30min; Antibody incubation with (YY1(Nuclear Loading Control)) Monoclonal Antibody, Unconjugated (bsm-52349R) at 1:200 overnight at 4°C, followed by operating according to SP Kit(Rabbit) (sp-0023) instructionsand DAB staining.
Paraformaldehyde-fixed, paraffin embedded (rat placenta); Antigen retrieval by boiling in sodium citrate buffer (pH6.0) for 15min; Block endogenous peroxidase by 3% hydrogen peroxide for 20 minutes; Blocking buffer (normal goat serum) at 37°C for 30min; Antibody incubation with (YY1(Nuclear Loading Control)) Monoclonal Antibody, Unconjugated (bsm-52349R) at 1:200 overnight at 4°C, followed by operating according to SP Kit(Rabbit) (sp-0023) instructionsand DAB staining.
Paraformaldehyde-fixed, paraffin embedded (rat breast); Antigen retrieval by boiling in sodium citrate buffer (pH6.0) for 15min; Block endogenous peroxidase by 3% hydrogen peroxide for 20 minutes; Blocking buffer (normal goat serum) at 37°C for 30min; Antibody incubation with (YY1(Nuclear Loading Control)) Monoclonal Antibody, Unconjugated (bsm-52349R) at 1:200 overnight at 4°C, followed by operating according to SP Kit(Rabbit) (sp-0023) instructionsand DAB staining.
Paraformaldehyde-fixed, paraffin embedded (rat brain); Antigen retrieval by boiling in sodium citrate buffer (pH6.0) for 15min; Block endogenous peroxidase by 3% hydrogen peroxide for 20 minutes; Blocking buffer (normal goat serum) at 37°C for 30min; Antibody incubation with (YY1(Nuclear Loading Control)) Monoclonal Antibody, Unconjugated (bsm-52349R) at 1:200 overnight at 4°C, followed by operating according to SP Kit(Rabbit) (sp-0023) instructionsand DAB staining.
Paraformaldehyde-fixed, paraffin embedded (mouse placenta); Antigen retrieval by boiling in sodium citrate buffer (pH6.0) for 15min; Block endogenous peroxidase by 3% hydrogen peroxide for 20 minutes; Blocking buffer (normal goat serum) at 37°C for 30min; Antibody incubation with (YY1(Nuclear Loading Control)) Monoclonal Antibody, Unconjugated (bsm-52349R) at 1:200 overnight at 4°C, followed by operating according to SP Kit(Rabbit) (sp-0023) instructionsand DAB staining.
Paraformaldehyde-fixed, paraffin embedded (mouse brain); Antigen retrieval by boiling in sodium citrate buffer (pH6.0) for 15min; Block endogenous peroxidase by 3% hydrogen peroxide for 20 minutes; Blocking buffer (normal goat serum) at 37°C for 30min; Antibody incubation with (YY1(Nuclear Loading Control)) Monoclonal Antibody, Unconjugated (bsm-52349R) at 1:200 overnight at 4°C, followed by operating according to SP Kit(Rabbit) (sp-0023) instructionsand DAB staining.
Paraformaldehyde-fixed, paraffin embedded (Human smooth muscle); Antigen retrieval by boiling in sodium citrate buffer (pH6.0) for 15min; Block endogenous peroxidase by 3% hydrogen peroxide for 20 minutes; Blocking buffer (normal goat serum) at 37°C for 30min; Antibody incubation with (YY1(Nuclear Loading Control)) Monoclonal Antibody, Unconjugated (bsm-52349R) at 1:200 overnight at 4°C, followed by operating according to SP Kit(Rabbit) (sp-0023) instructionsand DAB staining.
Paraformaldehyde-fixed, paraffin embedded (Rat ovary); Antigen retrieval by boiling in sodium citrate buffer (pH6.0) for 15min; Block endogenous peroxidase by 3% hydrogen peroxide for 20 minutes; Blocking buffer (normal goat serum) at 37°C for 30min; Antibody incubation with (YY1(Nuclear Loading Control)) Monoclonal Antibody, Unconjugated (bsm-52349R) at 1:200 overnight at 4°C, followed by operating according to SP Kit(Rabbit) (sp-0023) instructionsand DAB staining.
Paraformaldehyde-fixed, paraffin embedded (Rat bladder); Antigen retrieval by boiling in sodium citrate buffer (pH6.0) for 15min; Block endogenous peroxidase by 3% hydrogen peroxide for 20 minutes; Blocking buffer (normal goat serum) at 37°C for 30min; Antibody incubation with (YY1(Nuclear Loading Control)) Monoclonal Antibody, Unconjugated (bsm-52349R) at 1:200 overnight at 4°C, followed by operating according to SP Kit(Rabbit) (sp-0023) instructionsand DAB staining.
Paraformaldehyde-fixed, paraffin embedded (Rat lymphoid); Antigen retrieval by boiling in sodium citrate buffer (pH6.0) for 15min; Block endogenous peroxidase by 3% hydrogen peroxide for 20 minutes; Blocking buffer (normal goat serum) at 37°C for 30min; Antibody incubation with (YY1(Nuclear Loading Control)) Monoclonal Antibody, Unconjugated (bsm-52349R) at 1:200 overnight at 4°C, followed by operating according to SP Kit(Rabbit) (sp-0023) instructionsand DAB staining.
Paraformaldehyde-fixed, paraffin embedded (mouse ovary); Antigen retrieval by boiling in sodium citrate buffer (pH6.0) for 15min; Block endogenous peroxidase by 3% hydrogen peroxide for 20 minutes; Blocking buffer (normal goat serum) at 37°C for 30min; Antibody incubation with (YY1(Nuclear Loading Control)) Monoclonal Antibody, Unconjugated (bsm-52349R) at 1:200 overnight at 4°C, followed by operating according to SP Kit(Rabbit) (sp-0023) instructionsand DAB staining.
Paraformaldehyde-fixed, paraffin embedded (mouse lymphoid); Antigen retrieval by boiling in sodium citrate buffer (pH6.0) for 15min; Block endogenous peroxidase by 3% hydrogen peroxide for 20 minutes; Blocking buffer (normal goat serum) at 37°C for 30min; Antibody incubation with (YY1(Nuclear Loading Control)) Monoclonal Antibody, Unconjugated (bsm-52349R) at 1:200 overnight at 4°C, followed by operating according to SP Kit(Rabbit) (sp-0023) instructionsand DAB staining.
Blank control:K562. Primary Antibody (green line): Rabbit Anti-YY1(Nuclear Loading Control) antibody (bsm-52349R) Dilution: 1μg /10^6 cells; Isotype Control Antibody (orange line): Rabbit IgG . Secondary Antibody : Goat anti-rabbit IgG-FITC Dilution: 0.5μg /test. Protocol The cells were fixed with 4% PFA (10min at room temperature)and then permeabilized with 90% ice-cold methanol for 20 min at-20℃. The cells were then incubated in 5%BSA to block non-specific protein-protein interactions for 30 min at room temperature .Cells stained with Primary Antibody for 30 min at room temperature. The secondary antibody used for 40 min at room temperature. Acquisition of 20,000 events was performed.
版权所有 2004-2026 www.bioss.com.cn 北京博奥森生物技术有限公司
通过国际质量管理体系ISO 9001:2015 GB/T 19001-2016    证书编号: 00124Q34771R2M/1100
通过国际医疗器械-质量管理体系ISO 13485:2016 GB/T 42061-2022     证书编号: CQC24QY20047R0M/1100
京ICP备05066980号-1         京公网安备110107000727号