扫码关注公众号           扫码咨询技术支持           扫码咨询技术服务
  
客服热线:400-901-9800  客服QQ:4009019800  技术答疑  技术支持  质量反馈  人才招聘  关于我们  联系我们
产品中心-北京博奥森生物技术有限公司
首页 > 产品中心 > 一抗 > 产品信息
CD147 Recombinant Rabbit mAb (bsm-52837R)  
订购热线:400-901-9800
订购邮箱:sales@bioss.com.cn
订购QQ:  400-901-9800
技术支持:techsupport@bioss.com.cn
50ul/1400.00元
100ul/2500.00元
大包装/询价

产品编号 bsm-52837R
英文名称 CD147 Recombinant Rabbit mAb
中文名称 CD147重组兔单抗
别    名 5F7; CD147; EMMPRIN; EMPRIN; HAb18G; OK; TCSF; HT-7; 5A11; CE9; HT7; Ox47R; basignin; BASI_HUMAN; BSG; Collagenase stimulatory factor; Extracellular matrix metalloproteinase inducer (EMMPRIN); Hepatoma-associated antigen (HAb18G); Leukocyte activation ant  细胞外基质金属蛋白酶诱导因子抗体
Specific References  (1)     |     bsm-52837R has been referenced in 1 publications.
[IF=2.934] Xuejiao Zhu. et al. Basigin-CyP elevated porcine circovirus type2 replication. Virus Res. 2020 Nov;289:198152  
研究领域 肿瘤  免疫学  合成与降解  细胞表面分子  
抗体来源 Rabbit
克隆类型 Recombinant
克 隆 号 12C3
交叉反应 Human
产品应用 WB=1:500-2000,IHC-P=1:100-200,IHC-F=1:50-200,IF=1:50-200
not yet tested in other applications.
optimal dilutions/concentrations should be determined by the end user.
理论分子量 42 kDa
检测分子量 58
细胞定位 细胞膜 
性    状 Liquid
浓    度 1mg/ml
免 疫 原 Recombinant human CD147 protein 
亚    型 IgG
纯化方法 affinity purified by Protein A
缓 冲 液 0.01M TBS (pH7.4) with 1% BSA, 0.02% Proclin300 and 50% Glycerol.
保存条件 Store at -20℃ for one year. Avoid repeated freeze/thaw cycles. The lyophilized antibody is stable at room temperature for at least one month and for greater than a year when kept at -20°C. When reconstituted in sterile pH 7.4 0.01M PBS or diluent of antib
注意事项 This product as supplied is intended for research use only, not for use in human, therapeutic or diagnostic applications.
PubMed PubMed
产品介绍 The protein encoded by this gene is a plasma membrane protein that is important in spermatogenesis, embryo implantation, neural network formation, and tumor progression. The encoded protein is also a member of the immunoglobulin superfamily. Multiple transcript variants encoding different isoforms have been found for this gene. [provided by RefSeq, Jul 2008]

Function:
Plays pivotal roles in spermatogenesis, embryo implantation, neural network formation and tumor progression. Stimulates adjacent fibroblasts to produce matrix metalloproteinases (MMPS). May target monocarboxylate transporters SLC16A1, SLC16A3 and SLC16A8 to plasma membranes of retinal pigment epithelium and neural retina. Seems to be a receptor for oligomannosidic glycans. In vitro, promotes outgrowth of astrocytic processes.

Subunit:
Forms homooligomers in a cis-dependent manner on the plasma membrane. Forms heterooligomers of isoform 2 and isoform 3. Forms a complex with MMP1 at the tumor cell surface. Interacts with SLC16A1 and SLC1A3; probably a BSG dimer is associated with a monocarboxylate transporter dimer. Interacts with ATP1B2, MAG and L1CAM. Interacts with AJAP1.

Subcellular Location:
Cell membrane; Single-pass type I membrane protein. Melanosome.

Tissue Specificity:
Present only in vascular endothelium in non-neoplastic regions of the brain, whereas it is present in tumor cells but not in proliferating blood vessels in malignant gliomas.

Post-translational modifications:
N-glycosylated.

Similarity:
Contains 1 Ig-like C2-type (immunoglobulin-like) domain.
Contains 1 Ig-like V-type (immunoglobulin-like) domain.

SWISS:
P35613

Gene ID:
682

Database links:

Entrez Gene: 682 Human

Entrez Gene: 12215 Mouse

Entrez Gene: 25246 Rat

Omim: 109480 Human

SwissProt: P35613 Human

SwissProt: P18572 Mouse

SwissProt: P26453 Rat

Unigene: 501293 Human



产品图片
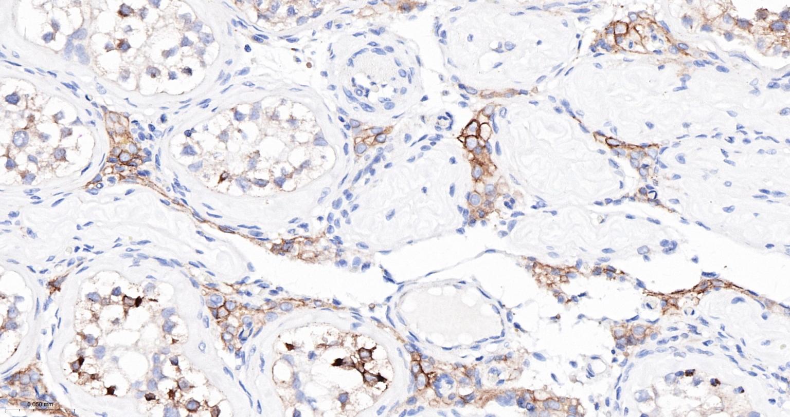
Paraformaldehyde-fixed, paraffin embedded Human Testicles; Antigen retrieval by boiling in sodium citrate buffer (pH6.0) for 15 min; The section was incubated with CD147 Monoclonal Antibody, Unconjugated (bsm-52837R) at 1:200 overnight at 4°C, followed by conjugation to the bs-0295G-HRP and DAB (C-0010) staining.
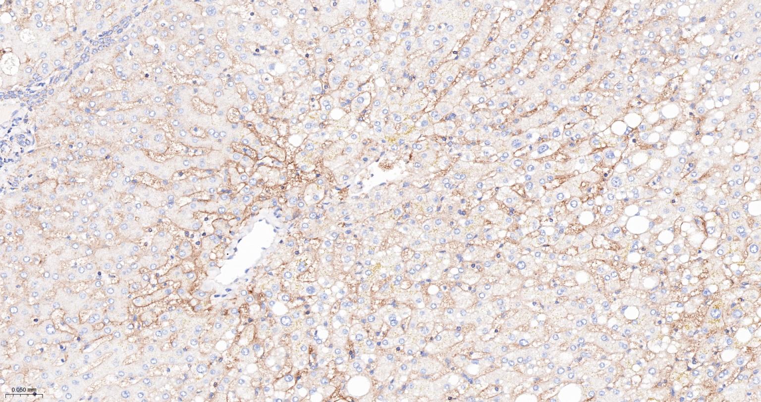
Paraformaldehyde-fixed, paraffin embedded Human Liver; Antigen retrieval by boiling in sodium citrate buffer (pH6.0) for 15 min; The section was incubated with CD147 Monoclonal Antibody, Unconjugated (bsm-52837R) at 1:200 overnight at 4°C, followed by conjugation to the bs-0295G-HRP and DAB (C-0010) staining.
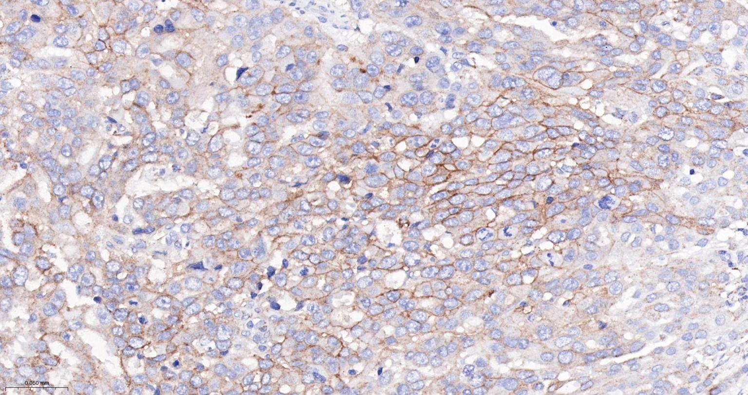
Paraformaldehyde-fixed, paraffin embedded Human Ovarian Cancer; Antigen retrieval by boiling in sodium citrate buffer (pH6.0) for 15 min; The section was incubated with CD147 Monoclonal Antibody, Unconjugated (bsm-52837R) at 1:200 overnight at 4°C, followed by conjugation to the bs-0295G-HRP and DAB (C-0010) staining.
版权所有 2004-2026 www.bioss.com.cn 北京博奥森生物技术有限公司
通过国际质量管理体系ISO 9001:2015 GB/T 19001-2016    证书编号: 00124Q34771R2M/1100
通过国际医疗器械-质量管理体系ISO 13485:2016 GB/T 42061-2022     证书编号: CQC24QY20047R0M/1100
京ICP备05066980号-1         京公网安备110107000727号