扫码关注公众号           扫码咨询技术支持           扫码咨询技术服务
  
客服热线:400-901-9800  客服QQ:4009019800  技术答疑  技术支持  质量反馈  关于我们  联系我们
产品中心-北京博奥森生物技术有限公司
首页 > 产品中心 > 一抗 > 产品信息
CD73 Recombinant Rabbit mAb (bsm-52916R)  
订购热线:400-901-9800
订购邮箱:sales@bioss.com.cn
订购QQ:  400-901-9800
技术支持:techsupport@bioss.com.cn
50ul/1400.00元
100ul/2500.00元
大包装/询价

产品编号 bsm-52916R
英文名称 CD73 Recombinant Rabbit mAb
中文名称 CD73重组兔单抗
别    名 NT5; 5' NT; 5' nucleotidase(CD73); 5' nucleotidase precursor; 5' nucleotidase, ecto; 5' nucleotidase, ecto(CD73); 5'-NT; 5'-nucleotidase; 5'-nucleotidase; 5NTD_HUMAN; CD73; CD73 antigen; E5NT; Ecto 5' nucleotidase; Ecto-5'-nucleotidase; eN antibody eNT; NT antibody NT5; NT5E; NTE; Purine 5 Prime Nucleotidase.  
研究领域 心血管  细胞生物  免疫学  细胞粘附分子  细胞表面分子  
抗体来源 Rabbit
克隆类型 Recombinant
克 隆 号 2C9
交叉反应 Human
产品应用 IHC-P=1:100-500,IHC-F=1:100-500,IF=1:100-500
not yet tested in other applications.
optimal dilutions/concentrations should be determined by the end user.
理论分子量 63 kDa
检测分子量
细胞定位 细胞膜 
性    状 Liquid
浓    度 1mg/ml
免 疫 原 Recombinant human CD73 protein 
亚    型 IgG
纯化方法 affinity purified by Protein A
缓 冲 液 0.01M TBS (pH7.4) with 1% BSA, 0.02% Proclin300 and 50% Glycerol.
保存条件 Store at -20℃ for one year. Avoid repeated freeze/thaw cycles. The lyophilized antibody is stable at room temperature for at least one month and for greater than a year when kept at -20°C. When reconstituted in sterile pH 7.4 0.01M PBS or diluent of antib
注意事项 This product as supplied is intended for research use only, not for use in human, therapeutic or diagnostic applications.
PubMed PubMed
产品介绍 The protein encoded by this gene is a plasma membrane protein that catalyzes the conversion of extracellular nucleotides to membrane-permeable nucleosides. The encoded protein is used as a determinant of lymphocyte differentiation. Defects in this gene can lead to the calcification of joints and arteries. Two transcript variants encoding different isoforms have been found for this gene.[provided by RefSeq, Mar 2011]

Function:
Hydrolyzes extracellular nucleotides into membrane permeable nucleosides.

Subcellular Location:
Cell membrane.

DISEASE:
Defects in NT5E are the cause of calcification of joints and arteries (CAJA). A condition characterized by adult-onset calcification of the lower extremity arteries, including the iliac, femoral and tibial arteries, and hand and foot capsule joints. Age of onset has been reported as early as the second decade of life, usually involving intense joint pain or calcification in the hands.

Similarity:
Belongs to the 5'-nucleotidase family.

SWISS:
P21589

Gene ID:
4907

Database links:

Entrez Gene: 4907 Human

Omim: 129190 Human

SwissProt: P21589 Human

Unigene: 153952 Human



产品图片
Paraformaldehyde-fixed, paraffin embedded Human Spleen; Antigen retrieval by boiling in sodium citrate buffer (pH6.0) for 15 min; Antibody incubation with CD73 Monoclonal Antibody, Unconjugated(bsm-52916R) at 1:200 overnight at 4°C, followed by conjugation to the SP Kit (Rabbit, SP-0023) and DAB (C-0010) staining.
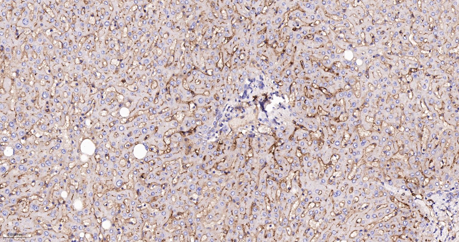
Paraformaldehyde-fixed, paraffin embedded Human Liver; Antigen retrieval by boiling in sodium citrate buffer (pH6.0) for 15 min; Antibody incubation with CD73 Monoclonal Antibody, Unconjugated(bsm-52916R) at 1:200 overnight at 4°C, followed by conjugation to the SP Kit (Rabbit, SP-0023) and DAB (C-0010) staining.
Paraformaldehyde-fixed, paraffin embedded Human Tonsil; Antigen retrieval by boiling in sodium citrate buffer (pH6.0) for 15 min; Antibody incubation with CD73 Monoclonal Antibody, Unconjugated(bsm-52916R) at 1:200 overnight at 4°C, followed by conjugation to the SP Kit (Rabbit, SP-0023) and DAB (C-0010) staining.
Paraformaldehyde-fixed, paraffin embedded Human Lung Cancer; Antigen retrieval by boiling in sodium citrate buffer (pH6.0) for 15 min; Antibody incubation with CD73 Monoclonal Antibody, Unconjugated(bsm-52916R) at 1:200 overnight at 4°C, followed by conjugation to the SP Kit (Rabbit, SP-0023) and DAB (C-0010) staining.
版权所有 2004-2026 www.bioss.com.cn 北京博奥森生物技术有限公司
通过国际质量管理体系ISO 9001:2015 GB/T 19001-2016    证书编号: 00124Q34771R2M/1100
通过国际医疗器械-质量管理体系ISO 13485:2016 GB/T 42061-2022     证书编号: CQC24QY20047R0M/1100
京ICP备05066980号-1         京公网安备110107000727号