 
| 产品编号 | bs-55207R | 
| 英文名称 | [KO验证抗体] SQSTM1/p62 Rabbit pAb | 
| 中文名称 | 泛素结合蛋白P62抗体 | 
| 别 名 | SQSTM_HUMAN; Sequestosome-1; ORCA; OSIL; EBI3-associated protein of 60 kDa(EBIAP; p60); phosphotyrosine-independent ligand for the Lck SH2 domain of 62 kDa; Ubiquitin-binding protein p62; | 
|  | Specific References  (11)     |     bs-55207R has been referenced in 11 publications. | 
| 研究领域 | 心血管 染色质和核信号 信号转导 细胞凋亡 转录调节因子 表观遗传学 | 
| 抗体来源 | Rabbit | 
| 克隆类型 | Polyclonal | 
| 克 隆 号 | |
| 交叉反应 | Human,Mouse,Rat | 
| 产品应用 | WB=1:1000-5000,IHC-P=1:200-500,IHC-F=1:200-500,IF=1:200-500,Flow-Cyt=1:100-200,ICC/IF=1:100-500,ELISA=1:5000-10000 not yet tested in other applications. optimal dilutions/concentrations should be determined by the end user. | 
| 理论分子量 | 38/47 kDa | 
| 检测分子量 | |
| 细胞定位 | 细胞核 细胞浆 | 
| 性 状 | Liquid | 
| 浓 度 | 1mg/ml | 
| 免 疫 原 | Recombinant human SQSTM1/p62: 1-440 | 
| 亚 型 | IgG | 
| 纯化方法 | affinity purified by Protein A | 
| 缓 冲 液 | 0.01M TBS (pH7.4) with 1% BSA, 0.02% Proclin300 and 50% Glycerol. | 
| 保存条件 | Store at -20℃ for one year. Avoid repeated freeze/thaw cycles. The lyophilized antibody is stable at room temperature for at least one month and for greater than a year when kept at -20°C. When reconstituted in sterile pH 7.4 0.01M PBS or diluent of antib | 
| 注意事项 | This product as supplied is intended for research use only, not for use in human, therapeutic or diagnostic applications. | 
| PubMed | PubMed | 
| 产品介绍 | This gene encodes a multifunctional protein that binds ubiquitin and regulates activation of the nuclear factor kappa-B (NF-kB) signaling pathway. The protein functions as a scaffolding/adaptor protein in concert with TNF receptor-associated factor 6 to mediate activation of NF-kB in response to upstream signals. Alternatively spliced transcript variants encoding either the same or different isoforms have been identified for this gene. Mutations in this gene result in sporadic and familial Paget disease of bone. [provided by RefSeq, Mar 2009] Function: Adapter protein which binds ubiquitin and may regulate the activation of NFKB1 by TNF-alpha, nerve growth factor (NGF) and interleukin-1. May play a role in titin/TTN downstream signaling in muscle cells. May regulate signaling cascades through ubiquitination. Adapter that mediates the interaction between TRAF6 and CYLD (By similarity). May be involved in cell differentiation, apoptosis, immune response and regulation of K(+) channels. Subunit: Cytoplasm. Late endosome. Nucleus. Endoplasmic reticulum. Note=Sarcomere. In cardiac muscles localizes to the sarcomeric band. Localizes to late endosomes. May also localize to the nucleus. Accumulates in neurofibrillary tangles and in Lewy bodies of neurons from individuals with Alzheimer and Parkinson disease respectively. Enriched in Rosenthal fibers of pilocytic astrocytoma. In liver cells, accumulates in Mallory bodies associated with alcoholic hepatitis, Wilson disease, indian childhood cirrhosis and in hyaline bodies associated with hepatocellular carcinoma. Colocalizes with TRIM13 in the perinuclear endoplasmic reticulum. Subcellular Location: Cytoplasm. Late endosome. Nucleus. Sarcomere (By similarity). In cardiac muscles localizes to the sarcomeric band (By similarity). Localizes to late endosomes. May also localize to the nucleus. Accumulates in neurofibrillary tangles and in Lewy bodies of neurons from individuals with Alzheimer and Parkinson disease respectively. Enriched in Rosenthal fibers of pilocytic astrocytoma. In liver cells, accumulates in Mallory bodies associated with alcoholic hepatitis, Wilson disease, indian childhood cirrhosis and in hyaline bodies associated with hepatocellular carcinoma. Tissue Specificity: Ubiquitously expressed. Post-translational modifications: Phosphorylated. May be phosphorylated by PRKCZ (By similarity). Phosphorylated in vitro by TTN. DISEASE: Defects in SQSTM1 are a cause of Paget disease of bone (PDB) [MIM:602080]. PDB is a metabolic bone disease affecting the axial skeleton and characterized by focal areas of increased and disorganized bone turn-over due to activated osteoclasts. Manifestations of the disease include bone pain, deformity, pathological fractures, deafness, neurological complications and increased risk of osteosarcoma. PDB is a chronic disease affecting 2 to 3% of the population above the age of 40 years. Similarity: Contains 1 OPR domain. Contains 1 UBA domain. Contains 1 ZZ-type zinc finger. SWISS: Q13501 Gene ID: 8878 Database links: Entrez Gene: 8878 Human Entrez Gene: 18412 Mouse SwissProt: Q13501 Human SwissProt: Q64337 Mouse | 
| 产品图片 | 
25 ug total protein per lane of various lysates (see on figure) probed with P62/SQSTM1 polyclonal antibody, unconjugated (bs-55207R) at 1:1000 dilution and 4°C overnight incubation. Followed by conjugated secondary antibody incubation at r.t. for 60 min.
 
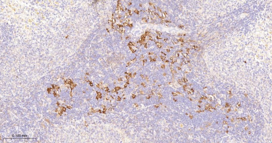
Paraformaldehyde-fixed, paraffin embedded Human Spleen; Antigen retrieval by boiling in sodium citrate buffer (pH6.0) for 15 min; The section was incubated with SQSTM1/p62 Monoclonal Antibody, Unconjugated (bs-55207R) at 1:200 overnight at 4°C, followed by conjugation to the bs-0295G-HRP and DAB (C-0010) staining.
 
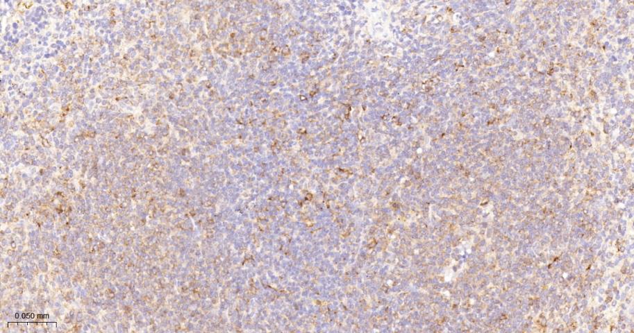
Paraformaldehyde-fixed, paraffin embedded Rat Spleen; Antigen retrieval by boiling in sodium citrate buffer (pH6.0) for 15 min; The section was incubated with SQSTM1/p62 Monoclonal Antibody, Unconjugated (bs-55207R) at 1:200 overnight at 4°C, followed by conjugation to the bs-0295G-HRP and DAB (C-0010) staining.
 
Paraformaldehyde-fixed, paraffin embedded Mouse Spleen; Antigen retrieval by boiling in sodium citrate buffer (pH6.0) for 15 min; The section was incubated with SQSTM1/p62 Monoclonal Antibody, Unconjugated (bs-55207R) at 1:200 overnight at 4°C, followed by conjugation to the bs-0295G-HRP and DAB (C-0010) staining.
 
4% Paraformaldehyde-fixed Hela (H) cell; Triton X-100 at r.t. for 20 min; Antibody incubation with (P62/SQSTM1) polyclonal Antibody, unconjugated (bs-55207R) 1:100, 90 min at 37°C; followed by conjugated Goat Anti-Rabbit IgG antibody (green, bs-60295G-FITC) at 37°C for 90 min, DAPI (blue, C02-04002) was used to stain the cell nuclei. PBS instead of the primary antibody was used as the blank control.
 
The Hela (H) cells were fixed with 4% PFA (10 min at r.t.) and then permeabilized with 90% ice-cold methanol for 20 min at -20℃,the cells then were  incubated in 5%BSA to block non-specific protein-protein interactions (30 min at r.t.).Primary Antibody (green):Rabbit Anti-P62/SQSTM1   antibody (bs-55207R,1:100); Secondary Antibody (white blue): Goat anti-Rabbit IgG-BF488 (bs-60295G-BF488): 1 μg/test. Blank control (black): PBS. Acquisition of 20,000 events was performed.
 | 
| 1、抗体溶解方法 | |
| 2、抗体修复方式 | |
| 3、常用试剂的配制 | |
| 4、免疫组化操作步骤 | |
| 5、免疫组化问题解答 | |
| 6、Western Blotting 操作步骤 | |
| 7、Western Blotting 问题解答 | |
| 8、关于肽链的设计 | |
| 9、多肽的溶解与保存 | |
| 10、酶标抗体效价测定程序 | |