扫码关注公众号           扫码咨询技术支持           扫码咨询技术服务
  
客服热线:400-901-9800  客服QQ:4009019800  技术答疑  技术支持  质量反馈  关于我们  联系我们
产品中心-北京博奥森生物技术有限公司
首页 > 产品中心 > 一抗 > 产品信息
ACE2 Rabbit pAb (bs-41410R)  
订购热线:400-901-9800
订购邮箱:sales@bioss.com.cn
订购QQ:  400-901-9800
技术支持:techsupport@bioss.com.cn
50ul/1180.00元
100ul/1980.00元
200ul/2800.00元
大包装/询价

产品编号 bs-41410R
英文名称 ACE2 Rabbit pAb
中文名称 血管紧张素转换酶2抗体
别    名 ACE-2; ACE 2; Angiotensin converting enzyme 2; ACE related carboxypeptidase; ACEH; Angiotensin converting enzyme homolog; Angiotensin converting enzyme like protein; Angiotensin I Converting Enzyme(peptidyl dipeptidase A) 2; Angiotensin I converting enzyme 2; DKFZP434A014; EC 3.4.17; angiotensin-converting enzyme 2 precursor; ACE2_HUMAN; Angiotensin-converting enzyme 2; ACE-related carboxypeptidase; Angiotensin-converting enzyme homolog; Metalloprotease MPROT15; Processed angiotensin-converting enzyme 2.  
研究领域 细胞生物  免疫学  信号转导  
抗体来源 Rabbit
克隆类型 Polyclonal
克 隆 号
交叉反应 Human,Mouse,Rat
产品应用 WB=1:500-2000,IHC-P=1:400-800,IHC-F=1:400-800,IF=1:100-500
not yet tested in other applications.
optimal dilutions/concentrations should be determined by the end user.
理论分子量 100/120 kDa
检测分子量
细胞定位 细胞膜 分泌型蛋白 
性    状 Liquid
浓    度 1mg/ml
免 疫 原 KLH conjugated synthetic peptide derived from human ACE2 
亚    型 IgG
纯化方法 affinity purified by Protein A
缓 冲 液 0.01M TBS (pH7.4) with 1% BSA, 0.02% Proclin300 and 50% Glycerol.
保存条件 Store at -20℃ for one year. Avoid repeated freeze/thaw cycles. The lyophilized antibody is stable at room temperature for at least one month and for greater than a year when kept at -20°C. When reconstituted in sterile pH 7.4 0.01M PBS or diluent of antib
注意事项 This product as supplied is intended for research use only, not for use in human, therapeutic or diagnostic applications.
PubMed PubMed
产品介绍 The protein encoded by this gene belongs to the angiotensin-converting enzyme family of dipeptidyl carboxydipeptidases and has considerable homology to human angiotensin 1 converting enzyme. This secreted protein catalyzes the cleavage of angiotensin I into angiotensin 1-9, and angiotensin II into the vasodilator angiotensin 1-7. The organ- and cell-specific expression of this gene suggests that it may play a role in the regulation of cardiovascular and renal function, as well as fertility. In addition, the encoded protein is a functional receptor for the spike glycoprotein of the human coronaviruses SARS and HCoV-NL63. [provided by RefSeq, Jul 2008].

Function:
Carboxypeptidase which converts angiotensin I to angiotensin 1-9, a peptide of unknown function, and angiotensin II to angiotensin 1-7, a vasodilator. Also able to hydrolyze apelin-13 and dynorphin-13 with high efficiency. May be an important regulator of heart function. In case of human coronaviruses SARS and HCoV-NL63 infections, serve as functional receptor for the spike glycoprotein of both coronaviruses.

Subunit:
Interacts with ITGB1. Interacts with SARS-CoV and HCoV-NL63 spike glycoprotein.

Subcellular Location:
Processed angiotensin-converting enzyme 2: Secreted.
Cell membrane; Single-pass type I membrane protein.

Tissue Specificity:
Expressed in endothelial cells from small and large arteries, and in arterial smooth muscle cells. Expressed in lung alveolar epithelial cells, enterocytes of the small intestine, Leydig cells and Sertoli cells (at protein level). Expressed in heart, kidney, testis, and gastrointestinal system.

Post-translational modifications:
N-glycosylation on Asn-90 may limit SARS infectivity.
Proteolytic cleavage by ADAM17 generates a secreted form.

Similarity:
Belongs to the peptidase M2 family.

SWISS:
Q9BYF1

Gene ID:
59272

Database links:

Entrez Gene: 59272 Human

Entrez Gene: 70008 Mouse

Entrez Gene: 302668 Rat

Omim: 300335 Human

SwissProt: Q9BYF1 Human

SwissProt: Q8R0I0 Mouse

SwissProt: Q5EGZ1 Rat

Unigene: 178098 Human

Unigene: 13451 Mouse

Unigene: 129779 Rat



合成与降解(Synthesis and Degradation)
ACE-2的分布范围比较局限,ACE2主要在心脏、肾脏、睾丸中表达显著, 近来人们发现ACE2也分布在胃肠道、脑和肺脏中。
有关学者在研究心脏和肾脏中发现,ACE2在心肌缺血、肾功能衰竭、动脉粥样硬化和糖尿病并发症中,ACE2对血管紧张素产生和降解过程中有一定的生理作用。
特别是对ACE2在具有生理活性的-活性肽产生过程中的作用更值得进一步研究。 ACE2的发现为心血管病和肾脏病研究开辟了新天地,并提供了新的治疗靶点,可能导致未来心血管疾病治疗策略的改变。
产品图片
Sample: Lane 1: Recombinant human ACE2 protein, His & Avi (HEK293)( bs-46001P) Primary: Anti-ACE2 (bs-41410R) at 1/1000 dilution Secondary: IRDye800CW Goat Anti-Rabbit IgG at 1/20000 dilution Predicted band size: 100/120 kDa Observed band size: 110 kDa
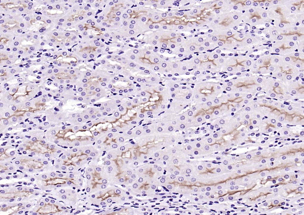
Paraformaldehyde-fixed, paraffin embedded (mouse kidney); Antigen retrieval by boiling in sodium citrate buffer (pH6.0) for 15min; Block endogenous peroxidase by 3% hydrogen peroxide for 20 minutes; Blocking buffer (normal goat serum) at 37°C for 30min; Antibody incubation with (ACE2) Polyclonal Antibody, Unconjugated (bs-41410R ) at 1:200 overnight at 4°C, followed by operating according to SP Kit(Rabbit) (sp-0023) instructionsand DAB staining.
Paraformaldehyde-fixed, paraffin embedded (rat small intestine); Antigen retrieval by boiling in sodium citrate buffer (pH6.0) for 15min; Block endogenous peroxidase by 3% hydrogen peroxide for 20 minutes; Blocking buffer (normal goat serum) at 37°C for 30min; Antibody incubation with (ACE2) Polyclonal Antibody, Unconjugated (bs-41410R ) at 1:200 overnight at 4°C, followed by operating according to SP Kit(Rabbit) (sp-0023) instructionsand DAB staining.
Paraformaldehyde-fixed, paraffin embedded (Human kidney); Antigen retrieval by boiling in sodium citrate buffer (pH6.0) for 15min; Block endogenous peroxidase by 3% hydrogen peroxide for 20 minutes; Blocking buffer (normal goat serum) at 37°C for 30min; Antibody incubation with (ACE2) Polyclonal Antibody, Unconjugated (bs-41410R ) at 1:200 overnight at 4°C, followed by operating according to SP Kit(Rabbit) (sp-0023) instructionsand DAB staining.
Paraformaldehyde-fixed, paraffin embedded (Human duodenum); Antigen retrieval by boiling in sodium citrate buffer (pH6.0) for 15min; Block endogenous peroxidase by 3% hydrogen peroxide for 20 minutes; Blocking buffer (normal goat serum) at 37°C for 30min; Antibody incubation with (ACE2) Polyclonal Antibody, Unconjugated (bs-41410R ) at 1:200 overnight at 4°C, followed by operating according to SP Kit(Rabbit) (sp-0023) instructionsand DAB staining.
Paraformaldehyde-fixed, paraffin embedded (rat kidney); Antigen retrieval by boiling in sodium citrate buffer (pH6.0) for 15min; Block endogenous peroxidase by 3% hydrogen peroxide for 20 minutes; Blocking buffer (normal goat serum) at 37°C for 30min; Antibody incubation with (ACE2) Polyclonal Antibody, Unconjugated (bs-41410R) at 1:200 overnight at 4°C, followed by operating according to SP Kit(Rabbit) (sp-0023) instructionsand DAB staining.
Paraformaldehyde-fixed, paraffin embedded (rat ovary); Antigen retrieval by boiling in sodium citrate buffer (pH6.0) for 15min; Block endogenous peroxidase by 3% hydrogen peroxide for 20 minutes; Blocking buffer (normal goat serum) at 37°C for 30min; Antibody incubation with (ACE2) Polyclonal Antibody, Unconjugated (bs-41410R ) at 1:200 overnight at 4°C, followed by operating according to SP Kit(Rabbit) (sp-0023) instructionsand DAB staining.
版权所有 2004-2026 www.bioss.com.cn 北京博奥森生物技术有限公司
通过国际质量管理体系ISO 9001:2015 GB/T 19001-2016    证书编号: 00124Q34771R2M/1100
通过国际医疗器械-质量管理体系ISO 13485:2016 GB/T 42061-2022     证书编号: CQC24QY20047R0M/1100
京ICP备05066980号-1         京公网安备110107000727号