扫码关注公众号           扫码咨询技术支持           扫码咨询技术服务
  
客服热线:400-901-9800  客服QQ:4009019800  技术答疑  技术支持  质量反馈  人才招聘  关于我们  联系我们
产品中心-北京博奥森生物技术有限公司
首页 > 产品中心 > 一抗 > 产品信息
[KO验证抗体] Beclin 1 Rabbit pAb (bs-55024R)  
订购热线:400-901-9800
订购邮箱:sales@bioss.com.cn
订购QQ:  400-901-9800
技术支持:techsupport@bioss.com.cn
50ul/1180.00元
100ul/1980.00元
大包装/询价

产品编号 bs-55024R
英文名称 [KO验证抗体] Beclin 1 Rabbit pAb
中文名称 自噬效应蛋白Beclin 1抗体
别    名 ATG6; VPS30; beclin1; BECN1_HUMAN; BECN1; Coiled-coil myosin-like BCL2-interacting protein; Protein GT197; GT197; BECN1_MOUSE; BECN1_RAT;   
Specific References  (1)     |     bs-55024R has been referenced in 1 publications.
[IF=6.196] Cheng He. et al. Crosstalk of renal cell carcinoma cells and tumor-associated macrophages aggravates tumor progression by modulating muscleblind-like protein 2/B-cell lymphoma 2/beclin 1-mediated autophagy. CYTOTHERAPY. 2022 Oct;:  WB ;  Human.  
研究领域 肿瘤  免疫学  神经生物学  细胞凋亡  
抗体来源 Rabbit
克隆类型 Polyclonal
克 隆 号
交叉反应 Human,Mouse,Rat (predicted: Rabbit)
产品应用 WB=1:500-1000,IHC-P=1:400-800,IHC-F=1:400-800,IF=1:100-500
not yet tested in other applications.
optimal dilutions/concentrations should be determined by the end user.
理论分子量 60 kDa
检测分子量 56
细胞定位 细胞浆 细胞膜 
性    状 Liquid
浓    度 1mg/ml
免 疫 原 KLH conjugated synthetic peptide derived from human BECN1: 181-280/450 
亚    型 IgG
纯化方法 affinity purified by Protein A
缓 冲 液 0.01M TBS (pH7.4) with 1% BSA, 0.02% Proclin300 and 50% Glycerol.
保存条件 Shipped at 4℃. Store at -20℃ for one year. Avoid repeated freeze/thaw cycles.
注意事项 This product as supplied is intended for research use only, not for use in human, therapeutic or diagnostic applications.
PubMed PubMed
产品介绍 Beclin 1 is the first identified mammalian gene to mediate autophagy and also has tumor suppressor and antiviral function. Autophagy, a process of bulk protein degradation through an autophagosomic lysosomal pathway, is important for differentiation, survival during nutrient deprivation, and normal growth control, and is often defective in tumor cells. Beclin 1 was originally isolated in a yeast two hybrid screen to identify Bcl 2 binding partners and maps to a tumor susceptibility locus on human chromosome 17q21 that is frequently monoallelically deleted in human breast, ovarian and prostate cancer. Beclin 1 encodes an evolutionarily conserved 52kDa coiled coil protein that is expressed in human muscle, epithelial cells and neurons.

Function:
Plays a central role in autophagy. Required for the abcission step in cytokinesis. May play a role in antiviral host defense. Protects against infection by a neurovirulent strain of Sindbis virus.

Subunit:
Interacts with GOPC and GRID2. Interacts with AMBRA1. Forms a complex with PIK3C3 and PIK3R4 and either UVRAG and KIAA0226/Rubicon, or with ATG14. UVRAG and ATG14 form mutually exclusive complexes through direct competition for BECN1-binding. The complex containing ATG14 up-regulates autophagy, while the one containing Rubicon down-regulates autophagy. Interacts with BCL2 and BCL2L1. Interacts with VMP1. Interacts with PIK3CB. Interacts with DAPK1. Interacts with human cytomegalovirus/HHV-5 protein TRS1.

Subcellular Location:
Golgi apparatus, trans-Golgi network membrane; Peripheral membrane protein. Note=Interaction with ATG14 promotes translocation to autophagosomes. Expressed in dendrites and cell bodies of cerebellar Purkinje cells.

Tissue Specificity:
Ubiquitous.

Post-translational modifications:
Phosphorylation at Thr-119 by DAPK1 reduces its interaction with BCL2 and BCL2L1 and promotes induction of autophagy.
Ubiquitinated. Deubiquitinated by USP10 and USP13, leading to stabilize the PIK3C3/VPS34-containing complexes.

Similarity:
Belongs to the beclin family.

SWISS:
Q14457

Gene ID:
8678

Database links:

Entrez Gene: 8678 Human

Entrez Gene: 56208 Mouse

Entrez Gene: 114558 Rat

Omim: 604378 Human

SwissProt: Q14457 Human

SwissProt: O88597 Mouse

SwissProt: Q91XJ1 Rat

Unigene: 716464 Human

Unigene: 178947 Mouse

Unigene: 2776 Rat



BECN1是一种分子质量为60KDa的蛋白质, 它能与细胞凋亡抑制剂Bcl-2相互作用, 减少中枢神经系统的凋亡,参与PI3K复合物的组成和自噬体的形成。主要表达在胞质。抑癌基因beclin 1通过自噬作用来调节细胞生长。
产品图片
25 ug total protein per lane of various lysates (see on figure) probed with Beclin 1 polyclonal antibody, unconjugated (bs-55024R) at 1:1000 dilution and 4°C overnight incubation. Followed by conjugated secondary antibody incubation at r.t. for 60 min.
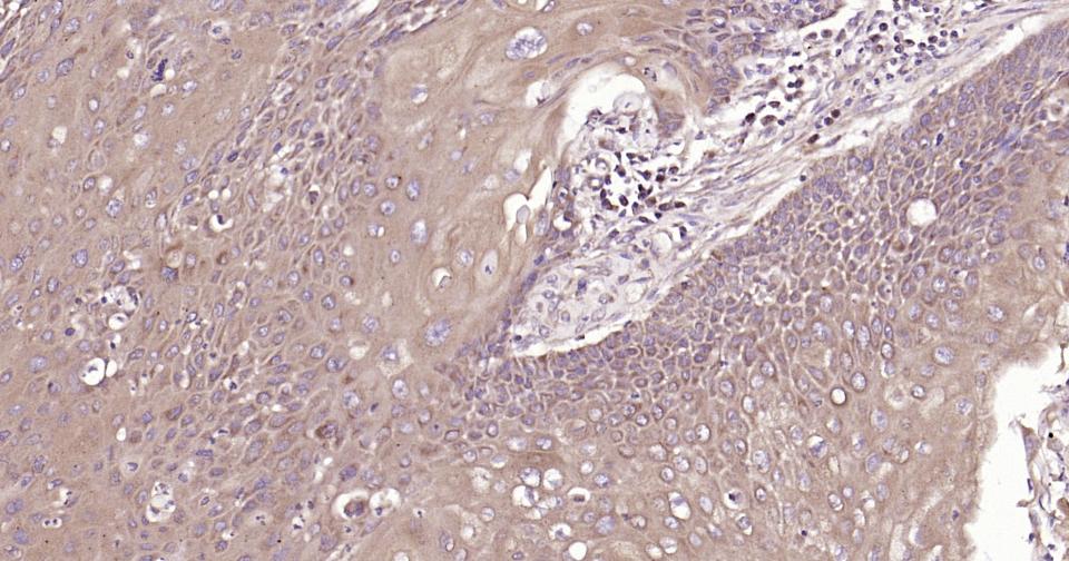
Paraformaldehyde-fixed, paraffin embedded Human Cervical Cancer; Antigen retrieval by boiling in sodium citrate buffer (pH6.0) for 15 min; The section was incubated with Beclin 1 Polyclonal Antibody, Unconjugated (bs-55024R) at 1:200 overnight at 4°C, followed by conjugation to the bs-0295G-HRP and DAB (C-0010) staining.
Paraformaldehyde-fixed, paraffin embedded Human Breast Cancer; Antigen retrieval by boiling in sodium citrate buffer (pH6.0) for 15 min; The section was incubated with Beclin 1 Polyclonal Antibody, Unconjugated (bs-55024R) at 1:200 overnight at 4°C, followed by conjugation to the bs-0295G-HRP and DAB (C-0010) staining.
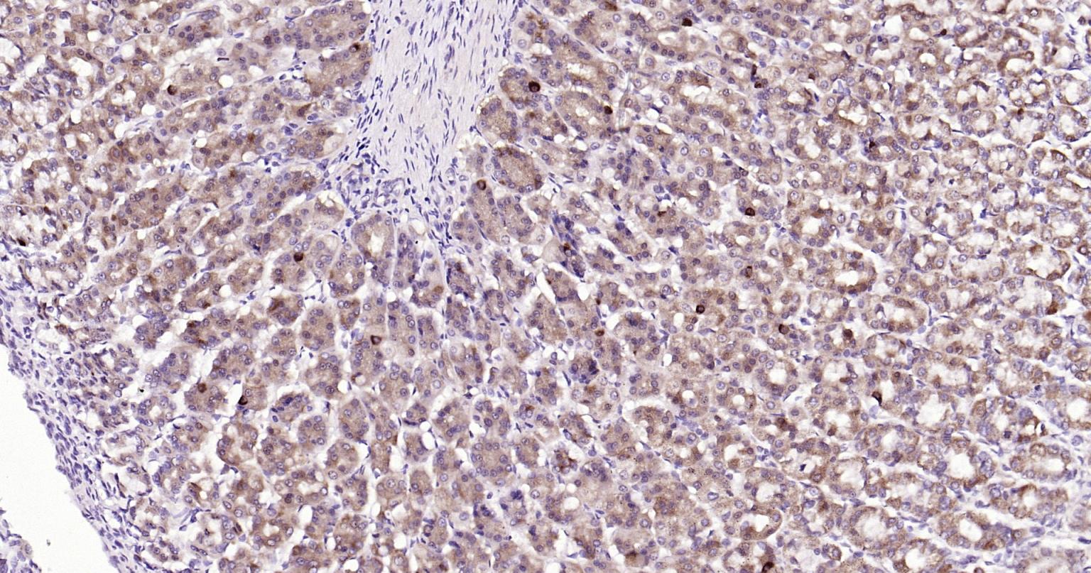
Paraformaldehyde-fixed, paraffin embedded Rat Stomach; Antigen retrieval by boiling in sodium citrate buffer (pH6.0) for 15 min; The section was incubated with Beclin 1 Polyclonal Antibody, Unconjugated (bs-55024R) at 1:200 overnight at 4°C, followed by conjugation to the bs-0295G-HRP and DAB (C-0010) staining.
Paraformaldehyde-fixed, paraffin embedded Mouse Stomach; Antigen retrieval by boiling in sodium citrate buffer (pH6.0) for 15 min; The section was incubated with Beclin 1 Polyclonal Antibody, Unconjugated (bs-55024R) at 1:200 overnight at 4°C, followed by conjugation to the bs-0295G-HRP and DAB (C-0010) staining.
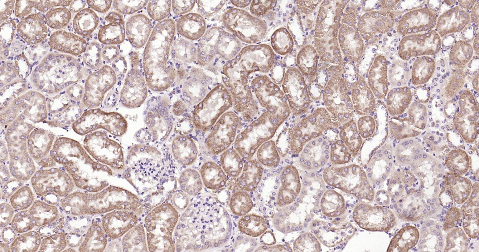
Paraformaldehyde-fixed, paraffin embedded Mouse Kidney; Antigen retrieval by boiling in sodium citrate buffer (pH6.0) for 15 min; The section was incubated with Beclin 1 Polyclonal Antibody, Unconjugated (bs-55024R) at 1:200 overnight at 4°C, followed by conjugation to the bs-0295G-HRP and DAB (C-0010) staining.
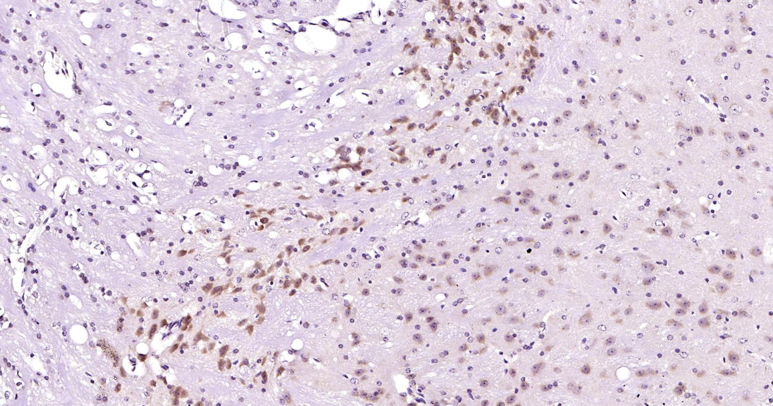
Paraformaldehyde-fixed, paraffin embedded Rat Cerebrum; Antigen retrieval by boiling in sodium citrate buffer (pH6.0) for 15 min; The section was incubated with Beclin 1 Polyclonal Antibody, Unconjugated (bs-55024R) at 1:200 overnight at 4°C, followed by conjugation to the bs-0295G-HRP and DAB (C-0010) staining.
Paraformaldehyde-fixed, paraffin embedded Mouse Cerebrum; Antigen retrieval by boiling in sodium citrate buffer (pH6.0) for 15 min; The section was incubated with Beclin 1 Polyclonal Antibody, Unconjugated (bs-55024R) at 1:200 overnight at 4°C, followed by conjugation to the bs-0295G-HRP and DAB (C-0010) staining.
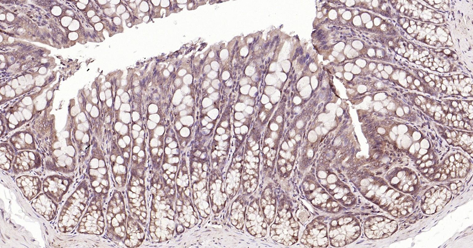
Paraformaldehyde-fixed, paraffin embedded Rat Colon; Antigen retrieval by boiling in sodium citrate buffer (pH6.0) for 15 min; The section was incubated with Beclin 1 Polyclonal Antibody, Unconjugated (bs-55024R) at 1:200 overnight at 4°C, followed by conjugation to the bs-0295G-HRP and DAB (C-0010) staining.
Paraformaldehyde-fixed, paraffin embedded Mouse Colon; Antigen retrieval by boiling in sodium citrate buffer (pH6.0) for 15 min; The section was incubated with Beclin 1 Polyclonal Antibody, Unconjugated (bs-55024R) at 1:200 overnight at 4°C, followed by conjugation to the bs-0295G-HRP and DAB (C-0010) staining.
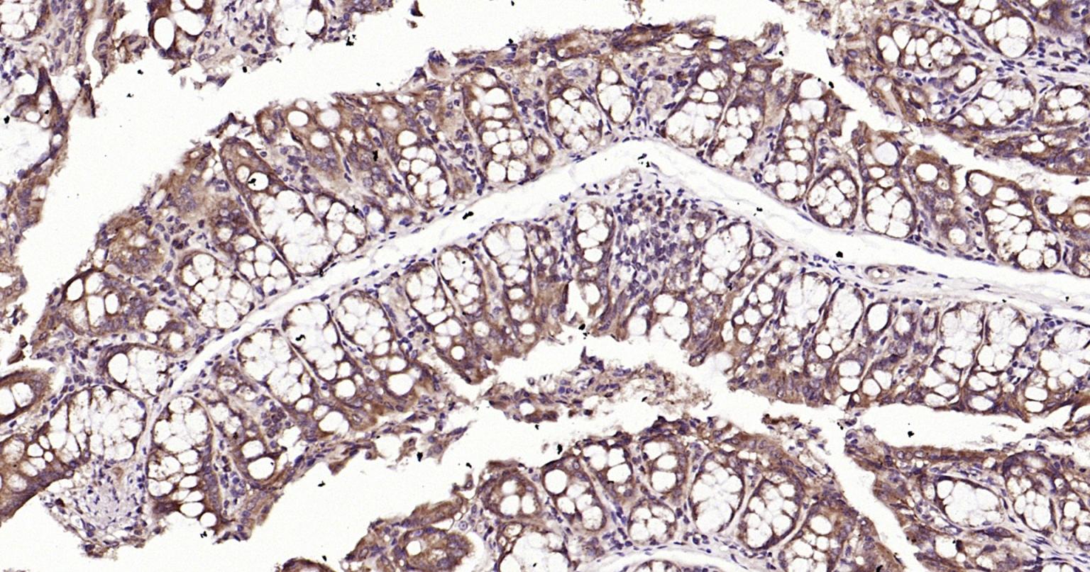
Paraformaldehyde-fixed, paraffin embedded Human Colon; Antigen retrieval by boiling in sodium citrate buffer (pH6.0) for 15 min; The section was incubated with Beclin 1 Polyclonal Antibody, Unconjugated (bs-55024R) at 1:200 overnight at 4°C, followed by conjugation to the bs-0295G-HRP and DAB (C-0010) staining.
版权所有 2004-2026 www.bioss.com.cn 北京博奥森生物技术有限公司
通过国际质量管理体系ISO 9001:2015 GB/T 19001-2016    证书编号: 00124Q34771R2M/1100
通过国际医疗器械-质量管理体系ISO 13485:2016 GB/T 42061-2022     证书编号: CQC24QY20047R0M/1100
京ICP备05066980号-1         京公网安备110107000727号