扫码关注公众号           扫码咨询技术支持           扫码咨询技术服务
  
客服热线:400-901-9800  客服QQ:4009019800  技术答疑  技术支持  质量反馈  人才招聘  关于我们  联系我们
产品中心-北京博奥森生物技术有限公司
首页 > 产品中心 > 一抗 > 产品信息
NeuN Recombinant Rabbit mAb (bsm-52268R)  
订购热线:400-901-9800
订购邮箱:sales@bioss.com.cn
订购QQ:  400-901-9800
技术支持:techsupport@bioss.com.cn
25ul/800.00元
50ul/1400.00元
100ul/2500.00元
大包装/询价

产品编号 bsm-52268R
英文名称 NeuN Recombinant Rabbit mAb
中文名称 神经元核抗原重组兔单抗
别    名 FOX-3; FOX3; HRNBP3; NEUN; Neuna60; RGD1560070; RFOX3_HUMAN; RBFOX3; Fox-1 homolog C; Neuronal nuclei antigen (NeuN antigen); RFOX3_MOUSE; Hexaribonucleotide-binding protein 3 (Fox-3); D11Bwg0517e;   
研究领域 细胞生物  神经生物学  转运蛋白  表观遗传学  
抗体来源 Rabbit
克隆类型 Recombinant
克 隆 号 12C3
交叉反应 Human,Mouse,Rat
产品应用 WB=1:500-2000,IHC-P=1:100-500,IHC-F=1:100-500,IF=1:100-500,Flow-Cyt=1:50-100
not yet tested in other applications.
optimal dilutions/concentrations should be determined by the end user.
理论分子量 34 kDa
检测分子量 45,48
细胞定位 细胞核 细胞浆 
性    状 Liquid
浓    度 1mg/ml
免 疫 原 KLH conjugated synthetic peptide derived from human NeuN 
亚    型 IgG
纯化方法 affinity purified by Protein A
缓 冲 液 0.01M TBS (pH7.4) with 1% BSA, 0.02% Proclin300 and 50% Glycerol.
保存条件 Shipped at 4℃. Store at -20℃ for one year. Avoid repeated freeze/thaw cycles.
注意事项 This product as supplied is intended for research use only, not for use in human, therapeutic or diagnostic applications.
PubMed PubMed
产品介绍 This gene encodes a member of the RNA-binding FOX protein family which is involved in the regulation of alternative splicing of pre-mRNA. The protein has an N-terminal proline-rich region, an RNA recognition motif (RRM) domain, and a C-terminal alanine-rich region. This gene produces the neuronal nuclei (NeuN) antigen that has been widely used as a marker for post-mitotic neurons. This gene has its highest expression in the central nervous system and plays a prominent role in neural tissue development and regulation of adult brain function. Mutations in this gene have been associated with numerous neurological disorders. Alternative splicing of this gene results in multiple transcript variants encoding distinct isoforms. [provided by RefSeq, May 2017]

Function:
RNA-binding protein that regulates alternative splicing events.

Subcellular Location:
Nucleus. Cytoplasm.

Similarity:
Contains 1 RRM (RNA recognition motif) domain.

SWISS:
A6NFN3

Gene ID:
146713

Database links:

Entrez Gene: 146713 Human

Entrez Gene: 52897 Mouse

Entrez Gene: 287847 Rat

SwissProt: A6NFN3 Human

SwissProt: Q8BIF2 Mouse

Unigene: 135229 Human

Unigene: 341103 Mouse

Unigene: 143966 Rat



产品图片
Sample: Lane 1: Mouse Cerebrum tissue lysates Lane 2: Mouse Cerebellum tissue lysates Lane 3: Rat Cerebrum tissue lysates Lane 4: Rat Cerebellum tissue lysates Primary: Anti-NeuN (bsm-52268R) at 1/1000 dilution Secondary: IRDye800CW Goat Anti-Rabbit IgG at 1/20000 dilution Predicted band size: 34 kDa Observed band size: 45,48 kDa
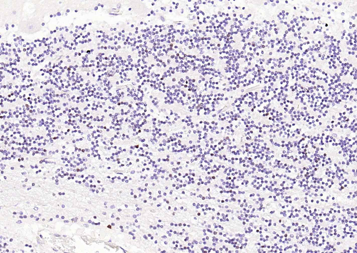
Paraformaldehyde-fixed, paraffin embedded Human Cerebrum; Antigen retrieval by boiling in sodium citrate buffer (pH6.0) for 15 min; The section was incubated with NeuN Monoclonal Antibody, Unconjugated (bsm-52268R) at 1:200 overnight at 4°C, followed by conjugation to the bs-0295G-HRP and DAB (C-0010) staining.
Paraformaldehyde-fixed, paraffin embedded Rat Cerebrum; Antigen retrieval by boiling in sodium citrate buffer (pH6.0) for 15 min; The section was incubated with NeuN Monoclonal Antibody, Unconjugated (bsm-52268R) at 1:200 overnight at 4°C, followed by conjugation to the bs-0295G-HRP and DAB (C-0010) staining.
Paraformaldehyde-fixed, paraffin embedded Mouse Cerebrum; Antigen retrieval by boiling in sodium citrate buffer (pH6.0) for 15 min; The section was incubated with NeuN Monoclonal Antibody, Unconjugated (bsm-52268R) at 1:200 overnight at 4°C, followed by conjugation to the bs-0295G-HRP and DAB (C-0010) staining.
Paraformaldehyde-fixed, paraffin embedded (rat cerebellum); Antigen retrieval by boiling in sodium citrate buffer (pH6.0) for 15min; Block endogenous peroxidase by 3% hydrogen peroxide for 20 minutes; Blocking buffer (normal goat serum) at 37°C for 30min; Incubation with (NeuN) Monoclonal Antibody, Unconjugated (bsm-52268R) at 1:200 overnight at 4°C, followed by operating according to SP Kit(Rabbit) (sp-0023)instructionsand DAB staining.
Paraformaldehyde-fixed, paraffin embedded (mouse cerebellum); Antigen retrieval by boiling in sodium citrate buffer (pH6.0) for 15min; Block endogenous peroxidase by 3% hydrogen peroxide for 20 minutes; Blocking buffer (normal goat serum) at 37°C for 30min; Incubation with (NeuN) Monoclonal Antibody, Unconjugated (bsm-52268R) at 1:200 overnight at 4°C, followed by operating according to SP Kit(Rabbit) (sp-0023)instructionsand DAB staining.
Paraformaldehyde-fixed, paraffin embedded Rat Eye; Antigen retrieval by boiling in sodium citrate buffer (pH6.0) for 15 min; The section was incubated with NeuN Monoclonal Antibody, Unconjugated (bsm-52268R) at 1:200 overnight at 4°C, followed by conjugation to the bs-0295G-HRP and DAB (C-0010) staining.
Paraformaldehyde-fixed, paraffin embedded (human cerebellum); Antigen retrieval by boiling in sodium citrate buffer (pH6.0) for 15min; Block endogenous peroxidase by 3% hydrogen peroxide for 20 minutes; Blocking buffer (normal goat serum) at 37°C for 30min; Incubation with (NeuN) Monoclonal Antibody, Unconjugated (bsm-52268R) at 1:200 overnight at 4°C, followed by operating according to SP Kit(Rabbit) (sp-0023)instructionsand DAB staining.
Paraformaldehyde-fixed, paraffin embedded Mouse Cerebrum. Merged staining of anti-GFAP (bsm-42001R; 1:200; pink) anti-AIF1/Iba1 (bsm-54132R; 1:200; red) anti-NeuN (bsm-52268R; 1:200; green) anti-MBP (bsm-33932M; 1:200; yellow) and anti-Olig2 (bsm-61115R; 1:200; light blue) . DAPI (dark blue) was used as a nuclear counter stain.
Paraformaldehyde-fixed, paraffin embedded Human Cerebrum. Merged staining of anti-GFAP (bsm-42001R; 1:200; pink) anti-AIF1/Iba1 (bsm-54132R; 1:200; red) anti-NeuN (bsm-52268R; 1:200; green) anti-MBP (bsm-33932M; 1:200; yellow) and anti-Olig2 (bsm-61115R; 1:200; light blue) . DAPI (dark blue) was used as a nuclear counter stain.
Paraformaldehyde-fixed, paraffin embedded Rat Cerebrum. Merged staining of anti-GFAP (bsm-42001R; 1:200; pink) anti-AIF1/Iba1 (bsm-54132R; 1:200; red) anti-NeuN (bsm-52268R; 1:200; green) anti-MBP (bsm-33932M; 1:200; yellow) and anti-Olig2 (bsm-61115R; 1:200; light blue) . DAPI (dark blue) was used as a nuclear counter stain.
Paraformaldehyde-fixed, paraffin embedded Rat Cerebrum; Antigen retrieval by boiling in sodium citrate buffer (pH6.0) for 15 min; The section was incubated with NeuN Monoclonal Antibody, Unconjugated (bsm-52268R) at 1:200 overnight at 4°C. Followed by conjugated Goat Anti-Rabbit IgG antibody (Red, bs-0295G-BF594), DAPI (blue, C02-04002) was used to stain the cell nuclei.
Paraformaldehyde-fixed, paraffin embedded Mouse Cerebrum; Antigen retrieval by boiling in sodium citrate buffer (pH6.0) for 15 min; The section was incubated with NeuN Monoclonal Antibody, Unconjugated (bsm-52268R) at 1:200 overnight at 4°C. Followed by conjugated Goat Anti-Rabbit IgG antibody (Red, bs-0295G-BF594), DAPI (blue, C02-04002) was used to stain the cell nuclei.
Paraformaldehyde-fixed, paraffin embedded Human Cerebrum; Antigen retrieval by boiling in sodium citrate buffer (pH6.0) for 15 min; The section was incubated with NeuN Monoclonal Antibody, Unconjugated (bsm-52268R) at 1:200 overnight at 4°C. Followed by conjugated Goat Anti-Rabbit IgG antibody (Red, bs-0295G-BF594), DAPI (blue, C02-04002) was used to stain the cell nuclei.
The SH-SY5Y (H) cells were fixed with 4% PFA (10 min at r.t.) and then permeabilized with 90% ice-cold methanol for 20 min at -20℃,the cells then were incubated in 5%BSA to block non-specific protein-protein interactions (30 min at r.t.), followed by secondary antibody incubation for 40 min at room temperature. Primary Antibody (green):Rabbit Anti-NeuN antibody (bsm-52268R,1:100); Isotype Control (orange): Rabbit IgG (bs-0295P). Blank control (black): PBS. Acquisition of 20,000 events was performed.
版权所有 2004-2026 www.bioss.com.cn 北京博奥森生物技术有限公司
通过国际质量管理体系ISO 9001:2015 GB/T 19001-2016    证书编号: 00124Q34771R2M/1100
通过国际医疗器械-质量管理体系ISO 13485:2016 GB/T 42061-2022     证书编号: CQC24QY20047R0M/1100
京ICP备05066980号-1         京公网安备110107000727号