| 产品编号 | bsm-52262R | 
| 英文名称 | GAPDH Recombinant Rabbit mAb, Loading Control | 
| 中文名称 | 3-磷酸甘油醛脱氢酶(内参)重组兔单抗 | 
| 别 名 | 38 kDa BFA-dependent ADP-ribosylation substrate; Aging-associated gene 9 protein; BARS-38; cb609; EC 1.2.1.12; G3PD; G3PDH; GAPD; Glyceraldehyde 3 phosphate dehydrogenase; Glyceraldehyde 3 phosphate dehydrogenase liver; Glyceraldehyde 3 phosphate dehydrogenase muscle; KNC-NDS6; MGC102544; MGC102546; MGC103190; MGC103191; MGC105239; MGC127711; MGC88685; OCAS, p38 component; OCT1 coactivator in S phase, 38-KD component; wu:fb33a10. | 
|  | Specific References  (7)     |     bsm-52262R has been referenced in 7 publications. | 
| 研究领域 | 肿瘤 细胞生物 免疫学 信号转导 新陈代谢 | 
| 抗体来源 | Rabbit | 
| 克隆类型 | Recombinant | 
| 克 隆 号 | 3B5 | 
| 交叉反应 | Human,Mouse,Rat (predicted: Zebrafish,Monkey) | 
| 产品应用 | WB=1:5000-500000,IHC-P=1:200-1000,IHC-F=1:200-1000,IF=1:200-1000,Flow-Cyt=1:50-100,ICC/IF=1:100-500 not yet tested in other applications. optimal dilutions/concentrations should be determined by the end user. | 
| 理论分子量 | 38 kDa | 
| 检测分子量 | |
| 细胞定位 | 细胞核 细胞浆 细胞膜 | 
| 性 状 | Liquid | 
| 浓 度 | 1mg/ml | 
| 免 疫 原 | A synthesized peptide derived from human GAPDH: 130-335/335 | 
| 亚 型 | IgG | 
| 纯化方法 | affinity purified by Protein A | 
| 缓 冲 液 | 0.01M TBS (pH7.4) with 1% BSA, 0.02% Proclin300 and 50% Glycerol. | 
| 保存条件 | Shipped at 4℃. Store at -20℃ for one year. Avoid repeated freeze/thaw cycles. | 
| 注意事项 | This product as supplied is intended for research use only, not for use in human, therapeutic or diagnostic applications. | 
| PubMed | PubMed | 
| 产品介绍 | Glyceraldehyde 3 phosphate dehydrogenase (GAPDH) is well known as one of the key enzymes involved in glycolysis. As well as functioning as a glycolytic enzyme in cytoplasm, recent evidence suggests that mammalian GAPDH is also involved in a great number of intracellular proceses such as membrane fusion, microtubule bundling, phosphotransferase activity, nuclear RNA export, DNA replication, and DNA repair. During the last decade a lot of data appeared concerning the role of GAPDH in different pathologies including prostate cancer progression, programmed neuronal cell death, age related neuronal diseases, such as Alzheimer's and Huntington's disease. GAPDH is expressed in all cells. It is constitutively expressed in almost all tissues at high levels. There are however some physiological factors such as hypoxia and diabetes that increase GAPDH expression in certain cell types. GAPDH molecule is composed of four 36kDa subunits. Function: Has both glyceraldehyde-3-phosphate dehydrogenase and nitrosylase activities, thereby playing a role in glycolysis and nuclear functions, respectively. Participates in nuclear events including transcription, RNA transport, DNA replication and apoptosis. Nuclear functions are probably due to the nitrosylase activity that mediates cysteine S-nitrosylation of nuclear target proteins such as SIRT1, HDAC2 and PRKDC. Glyceraldehyde-3-phosphate dehydrogenase is a key enzyme in glycolysis that catalyzes the first step of the pathway by converting D-glyceraldehyde 3-phosphate (G3P) into 3-phospho-D-glyceroyl phosphate. Subunit: Homotetramer. Interacts with TPPP; the interaction is direct. Interacts (when S-nitrosylated) with SIAH1; leading to nuclear translocation. Interacts with RILPL1/GOSPEL, leading to prevent the interaction between GAPDH and SIAH1 and prevent nuclear translocation. Interacts with EIF1AD, USP25, PRKCI and WARS. Subcellular Location: Cytoplasm, cytosol. Nucleus. Cytoplasm, perinuclear region. Membrane. Note=Translocates to the nucleus following S-nitrosylation and interaction with SIAH1, which contains a nuclear localization signal. Postnuclear and Perinuclear regions. Post-translational modifications: S-nitrosylation of Cys-152 leads to interaction with SIAH1, followed by translocation to the nucleus. ISGylated (Probable). Sulfhydration at Cys-152 increases catalytic activity. Similarity: Belongs to the glyceraldehyde-3-phosphate dehydrogenase family. SWISS: P04406 Gene ID: 2597 Database links: Entrez Gene: 374193 Chicken Entrez Gene: 2597 Human Entrez Gene: 100042025 Mouse Entrez Gene: 14433 Mouse Entrez Gene: 317743 Zebrafish Omim: 138400 Human SwissProt: P00356 Chicken SwissProt: P04406 Human SwissProt: P16858 Mouse SwissProt: Q5XJ10 Zebrafish | 
| 产品图片 | 
25 ug total protein per lane of various lysates (see on figure) probed with GAPDH monoclonal antibody, unconjugated (bsm-52262R) at 1:5000 dilution and 4°C overnight incubation. Followed by conjugated secondary antibody incubation at r.t. for 60 min.
 
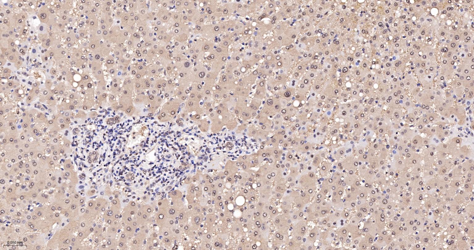
Paraformaldehyde-fixed, paraffin embedded Human Liver; Antigen retrieval by boiling in sodium citrate buffer (pH6.0) for 15 min; Antibody incubation with GAPDH Monoclonal Antibody, Unconjugated(bsm-52262R) at 1:250 overnight at 4°C, followed by conjugation to the SP Kit  (Rabbit, SP-0023) and DAB (C-0010) staining.
 
Paraformaldehyde-fixed, paraffin embedded Human Breast Cancer; Antigen retrieval by boiling in sodium citrate buffer (pH6.0) for 15 min; Antibody incubation with GAPDH Monoclonal Antibody, Unconjugated(bsm-52262R) at 1:250 overnight at 4°C, followed by conjugation to the SP Kit  (Rabbit, SP-0023) and DAB (C-0010) staining.
 
Paraformaldehyde-fixed, paraffin embedded Human Colon Cancer; Antigen retrieval by boiling in sodium citrate buffer (pH6.0) for 15 min; Antibody incubation with GAPDH Monoclonal Antibody, Unconjugated(bsm-52262R) at 1:250 overnight at 4°C, followed by conjugation to the SP Kit  (Rabbit, SP-0023) and DAB (C-0010) staining.
 
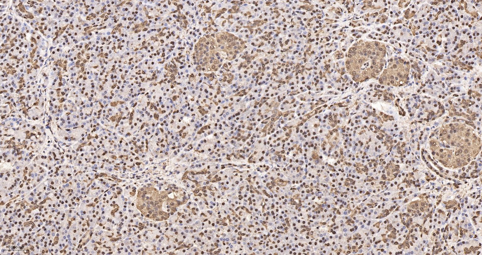
Paraformaldehyde-fixed, paraffin embedded Human Pancreas; Antigen retrieval by boiling in sodium citrate buffer (pH6.0) for 15 min; Antibody incubation with GAPDH Monoclonal Antibody, Unconjugated(bsm-52262R) at 1:250 overnight at 4°C, followed by conjugation to the SP Kit  (Rabbit, SP-0023) and DAB (C-0010) staining.
 
Paraformaldehyde-fixed, paraffin embedded Rat Pancreas; Antigen retrieval by boiling in sodium citrate buffer (pH6.0) for 15 min; Antibody incubation with GAPDH Monoclonal Antibody, Unconjugated(bsm-52262R) at 1:250 overnight at 4°C, followed by conjugation to the SP Kit  (Rabbit, SP-0023) and DAB (C-0010) staining.
 
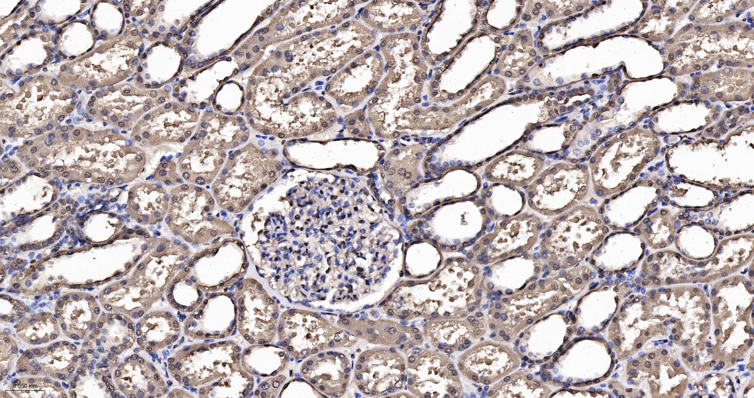
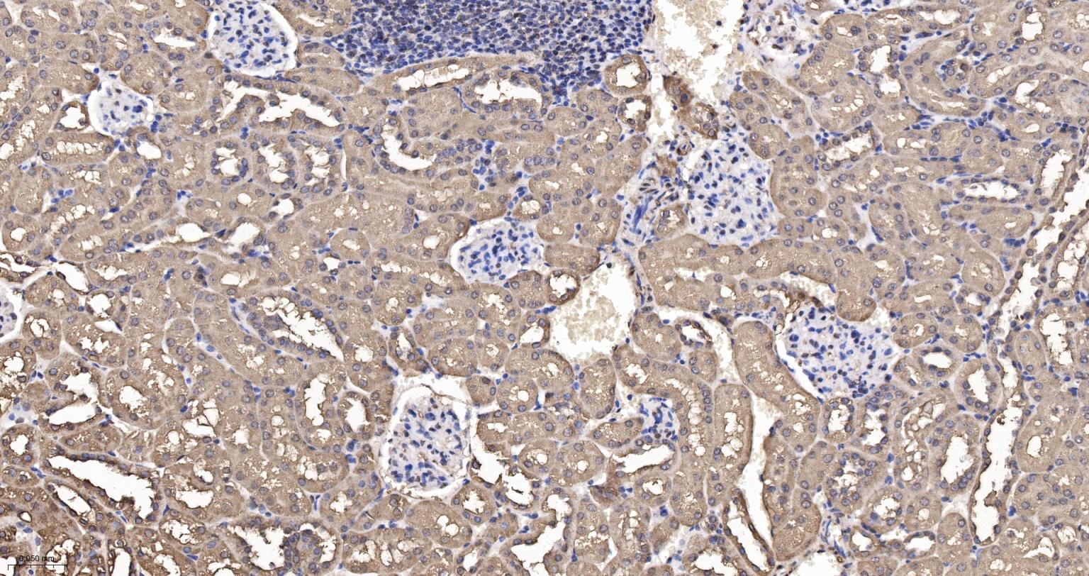
Paraformaldehyde-fixed, paraffin embedded Rat Kidney; Antigen retrieval by boiling in sodium citrate buffer (pH6.0) for 15 min; Antibody incubation with GAPDH Monoclonal Antibody, Unconjugated(bsm-52262R) at 1:250 overnight at 4°C, followed by conjugation to the SP Kit  (Rabbit, SP-0023) and DAB (C-0010) staining.
 
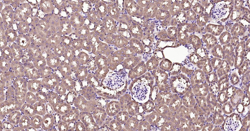
Paraformaldehyde-fixed, paraffin embedded Mouse Kidney; Antigen retrieval by boiling in sodium citrate buffer (pH6.0) for 15 min; Antibody incubation with GAPDH Monoclonal Antibody, Unconjugated(bsm-52262R) at 1:250 overnight at 4°C, followed by conjugation to the SP Kit  (Rabbit, SP-0023) and DAB (C-0010) staining.
 
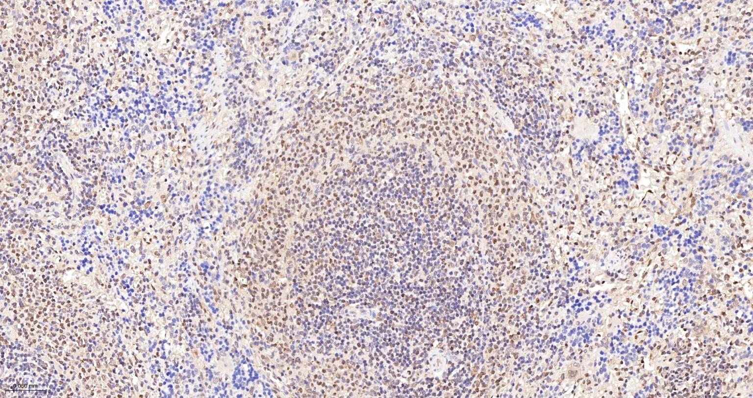
Paraformaldehyde-fixed, paraffin embedded Human Spleen; Antigen retrieval by boiling in sodium citrate buffer (pH6.0) for 15 min; Antibody incubation with GAPDH Monoclonal Antibody, Unconjugated(bsm-52262R) at 1:250 overnight at 4°C, followed by conjugation to the SP Kit  (Rabbit, SP-0023) and DAB (C-0010) staining.
 
Paraformaldehyde-fixed, paraffin embedded Rat Spleen; Antigen retrieval by boiling in sodium citrate buffer (pH6.0) for 15 min; Antibody incubation with GAPDH Monoclonal Antibody, Unconjugated(bsm-52262R) at 1:250 overnight at 4°C, followed by conjugation to the SP Kit  (Rabbit, SP-0023) and DAB (C-0010) staining.
 
Paraformaldehyde-fixed, paraffin embedded Mouse Spleen; Antigen retrieval by boiling in sodium citrate buffer (pH6.0) for 15 min; Antibody incubation with GAPDH Monoclonal Antibody, Unconjugated(bsm-52262R) at 1:250 overnight at 4°C, followed by conjugation to the SP Kit  (Rabbit, SP-0023) and DAB (C-0010) staining.
 
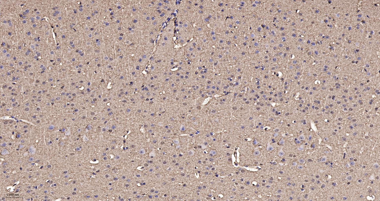
Paraformaldehyde-fixed, paraffin embedded Rat Cerebrum; Antigen retrieval by boiling in sodium citrate buffer (pH6.0) for 15 min; Antibody incubation with GAPDH Monoclonal Antibody, Unconjugated(bsm-52262R) at 1:250 overnight at 4°C, followed by conjugation to the SP Kit  (Rabbit, SP-0023) and DAB (C-0010) staining.
 
Paraformaldehyde-fixed, paraffin embedded Mouse Cerebrum; Antigen retrieval by boiling in sodium citrate buffer (pH6.0) for 15 min; Antibody incubation with GAPDH Monoclonal Antibody, Unconjugated(bsm-52262R) at 1:250 overnight at 4°C, followed by conjugation to the SP Kit  (Rabbit, SP-0023) and DAB (C-0010) staining.
 
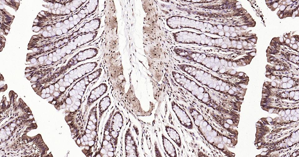
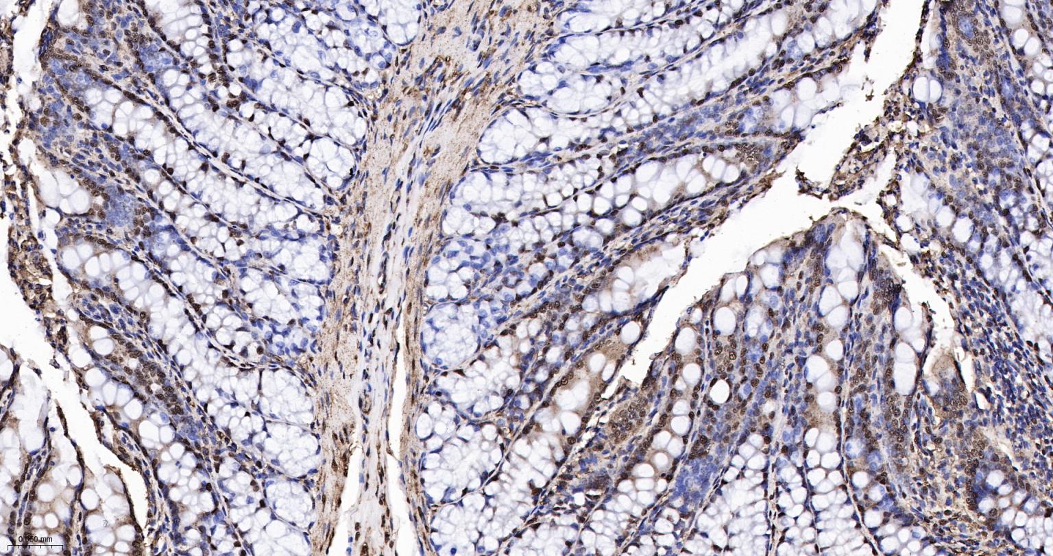
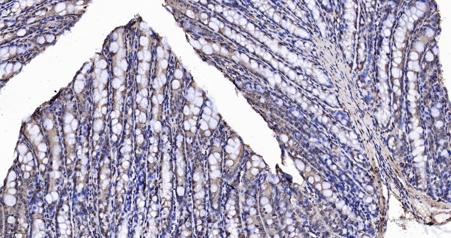
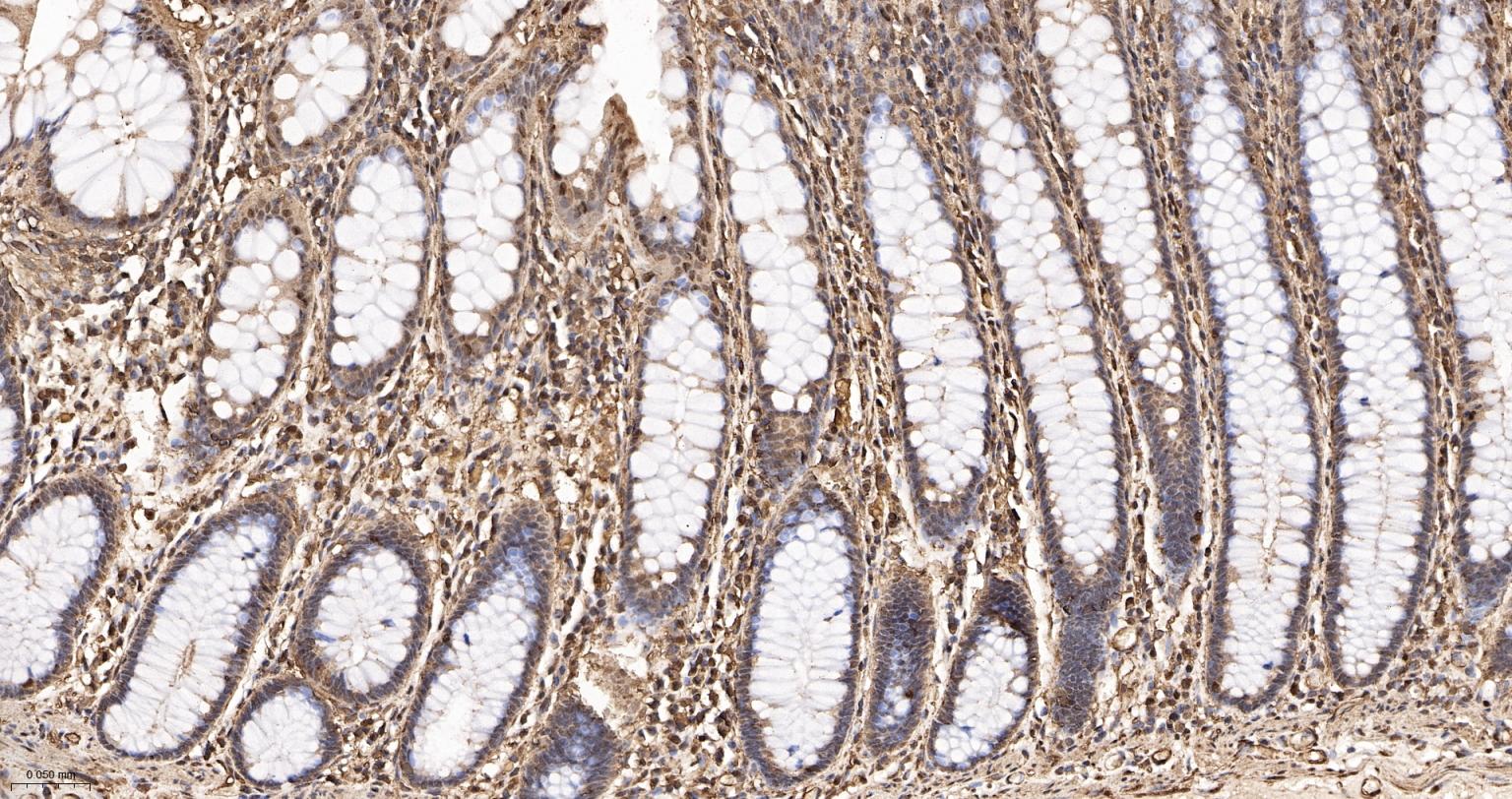
Paraformaldehyde-fixed, paraffin embedded Human Colon; Antigen retrieval by boiling in sodium citrate buffer (pH6.0) for 15 min; Antibody incubation with GAPDH Monoclonal Antibody, Unconjugated(bsm-52262R) at 1:250 overnight at 4°C, followed by conjugation to the SP Kit  (Rabbit, SP-0023) and DAB (C-0010) staining.
 
Paraformaldehyde-fixed, paraffin embedded Rat Colon; Antigen retrieval by boiling in sodium citrate buffer (pH6.0) for 15 min; Antibody incubation with GAPDH Monoclonal Antibody, Unconjugated(bsm-52262R) at 1:250 overnight at 4°C, followed by conjugation to the SP Kit  (Rabbit, SP-0023) and DAB (C-0010) staining.
 
Paraformaldehyde-fixed, paraffin embedded Mouse Colon; Antigen retrieval by boiling in sodium citrate buffer (pH6.0) for 15 min; Antibody incubation with GAPDH Monoclonal Antibody, Unconjugated(bsm-52262R) at 1:250 overnight at 4°C, followed by conjugation to the SP Kit  (Rabbit, SP-0023) and DAB (C-0010) staining.
 
Paraformaldehyde-fixed, paraffin embedded Rat Testicles; Antigen retrieval by boiling in sodium citrate buffer (pH6.0) for 15 min; Antibody incubation with GAPDH Monoclonal Antibody, Unconjugated(bsm-52262R) at 1:250 overnight at 4°C, followed by conjugation to the SP Kit  (Rabbit, SP-0023) and DAB (C-0010) staining.
 
Paraformaldehyde-fixed, paraffin embedded Mouse Testicles; Antigen retrieval by boiling in sodium citrate buffer (pH6.0) for 15 min; Antibody incubation with GAPDH Monoclonal Antibody, Unconjugated(bsm-52262R) at 1:250 overnight at 4°C, followed by conjugation to the SP Kit  (Rabbit, SP-0023) and DAB (C-0010) staining.
 
4% Paraformaldehyde-fixed L-929 (M) cell; Triton X-100 at r.t. for 20 min; Antibody incubation with (GAPDH) monoclonal Antibody, unconjugated (bsm-52262R) 1:100, 90 min at 37°C; followed by conjugated Goat Anti-Rabbit IgG antibody (green, bs-60295G-BF488) at 37°C for 90 min, DAPI (blue, C02-04002) was used to stain the cell nuclei. PBS instead of the primary antibody was used as the blank control.
 
4% Paraformaldehyde-fixed Hela (H) cell; Triton X-100 at r.t. for 20 min; Antibody incubation with (GAPDH) monoclonal Antibody, unconjugated (bsm-52262R) 1:100, 90 min at 37°C; followed by conjugated Goat Anti-Rabbit IgG antibody (green, bs-60295G-BF488) at 37°C for 90 min, DAPI (blue, C02-04002) was used to stain the cell nuclei. PBS instead of the primary antibody was used as the blank control.
 
The L929 (M) cells were fixed with 4% PFA (10 min at r.t.) and then permeabilized with 90% ice-cold methanol for 20 min at -20℃,the cells then were  incubated in 5%BSA to block non-specific protein-protein interactions (30 min at r.t.).Primary Antibody (green):Rabbit Anti-GAPDH antibody (bsm-52262R): 1 μg/10^6 cells; Secondary Antibody (white blue): Goat anti-Rabbit IgG-BF488 (bs-60295G-BF488): 1 μg/test. Blank control (black): PBS. Acquisition of 20,000 events was performed.
 
The Hela (H) cells were fixed with 4% PFA (10 min at r.t.) and then permeabilized with 90% ice-cold methanol for 20 min at -20℃,the cells then were  incubated in 5%BSA to block non-specific protein-protein interactions (30 min at r.t.).Primary Antibody (green):Rabbit Anti-GAPDH antibody (bsm-52262R): 1 μg/10^6 cells; Secondary Antibody (white blue): Goat anti-Rabbit IgG-BF488 (bs-60295G-BF488): 1 μg/test. Blank control (black): PBS. Acquisition of 20,000 events was performed.
 | 
| 1、抗体溶解方法 | |
| 2、抗体修复方式 | |
| 3、常用试剂的配制 | |
| 4、免疫组化操作步骤 | |
| 5、免疫组化问题解答 | |
| 6、Western Blotting 操作步骤 | |
| 7、Western Blotting 问题解答 | |
| 8、关于肽链的设计 | |
| 9、多肽的溶解与保存 | |
| 10、酶标抗体效价测定程序 | |