扫码关注公众号           扫码咨询技术支持           扫码咨询技术服务
  
客服热线:400-901-9800  客服QQ:4009019800  技术答疑  技术支持  质量反馈  关于我们  联系我们
产品中心-北京博奥森生物技术有限公司
首页 > 产品中心 > 一抗 > 产品信息
Patched Rabbit pAb (bs-24460R)  
订购热线:400-901-9800
订购邮箱:sales@bioss.com.cn
订购QQ:  400-901-9800
技术支持:techsupport@bioss.com.cn
50ul/1180.00元
100ul/1980.00元
200ul/2800.00元
大包装/询价

产品编号 bs-24460R
英文名称 Patched Rabbit pAb
中文名称 Patched/PTCH抗体
别    名 Protein patched homolog 1; PTCH; PTC1; A230106A15Rik; BCNS; FLJ26746; FLJ42602; Holoprosencephaly 7; HPE7; mes; NBCCS; OTTHUMP00000021709; OTTHUMP00000021710; Patched; Patched(Drosophila) homolog; Patched 1; Patched homolog(Drosophila); Patched homolog 1(Drosophila); Patched homolog 1; Patched protein homolog 1; PTC; PTC1; PTCH; PTCH protein+12b; PTCH protein+4'; PTCH protein-10; PTCH protein; PTCH1; PTCH1 protein; PTCH11; Ptch2; ; Patched/PTCH; PTC1_HUMAN.  
研究领域 肿瘤  细胞生物  发育生物学  神经生物学  信号转导  干细胞  转录调节因子  
抗体来源 Rabbit
克隆类型 Polyclonal
克 隆 号
交叉反应 Human (predicted: Mouse,Rat)
产品应用 IHC-P=1:400-800,IHC-F=1:400-800,IF=1:100-500
not yet tested in other applications.
optimal dilutions/concentrations should be determined by the end user.
理论分子量 161 kDa
检测分子量
细胞定位 细胞膜 
性    状 Liquid
浓    度 1mg/ml
免 疫 原 KLH conjugated synthetic peptide derived from human Patched: 1231-1330/1447 <Cytoplasmic>
亚    型 IgG
纯化方法 affinity purified by Protein A
缓 冲 液 0.01M TBS (pH7.4) with 1% BSA, 0.02% Proclin300 and 50% Glycerol.
保存条件 Shipped at 4℃. Store at -20℃ for one year. Avoid repeated freeze/thaw cycles.
注意事项 This product as supplied is intended for research use only, not for use in human, therapeutic or diagnostic applications.
PubMed PubMed
产品介绍 PTCH (Patched protein homolog 1) is a receptor for sonic hedgehog (SHH), indian hedgehog (IHH) and desert hedgehog (DHH). PTCH associates with the smoothened protein (SMO) to transduce the hedgehog's proteins signal.PTCH has a tumor suppressor function, as inactivation of this protein is probably a necessary, if not sufficient step for tumorigenesis. PTCH is expressed in the adult brain, lung, liver, heart, placenta, skeletal muscle, pancreas and kidney. It is also expressed in tumor cells but not in normal skin. During development PTCH is found in all major target tissues of sonic hedgehog, such as the ventral neural tube, somites, and tissues surrounding the zone of polarizing activity of the limb bud.
Defects in PTCH are probably the cause of basal cell nevus syndrome also known as Gorlin syndrome or Gorlin-Goltz syndrome.


Function:
Acts as a receptor for sonic hedgehog (SHH), indian hedgehog (IHH) and desert hedgehog (DHH). Associates with the smoothened protein (SMO) to transduce the hedgehog's proteins signal. Seems to have a tumor suppressor function, as inactivation of this protein is probably a necessary, if not sufficient step for tumorigenesis.

Subunit:
Interacts with SNX17. Interacts with IHH.

Subcellular Location:
Membrane.

Tissue Specificity:
In the adult, expressed in brain, lung, liver, heart, placenta, skeletal muscle, pancreas and kidney. Expressed in tumor cells but not in normal skin.

Post-translational modifications:
Glycosylation is necessary for SHH binding.

DISEASE:
Defects in PTCH1 are probably the cause of basal cell nevus syndrome (BCNS) [MIM:109400]; also known as Gorlin syndrome or Gorlin-Goltz syndrome. BCNS is an autosomal dominant disease characterized by nevoid basal cell carcinomas (NBCCS) and developmental abnormalities such as rib and craniofacial alterations, polydactyly, syndactyly, and spina bifida. In addition, the patients suffer from a multitude of tumors like basal cell carcinomas (BCC), fibromas of the ovaries and heart, cysts of the skin, jaws and mesentery, as well as medulloblastomas and meningiomas. PTCH1 is also mutated in squamous cell carcinoma (SCC). Could also be associated with large body size observed in BCNS patients.
Defects in PTCH1 are a cause of sporadic basal cell carcinoma (BCC) [MIM:605462].
Defects in PTCH1 are the cause of holoprosencephaly type 7 (HPE7) [MIM:610828]. Holoprosencephaly (HPE) [MIM:236100] is the most common structural anomaly of the brain, in which the developing forebrain fails to correctly separate into right and left hemispheres. Holoprosencephaly is genetically heterogeneous and associated with several distinct facies and phenotypic variability.

Similarity:
Belongs to the patched family.
Contains 1 SSD (sterol-sensing) domain.

SWISS:
Q86XG7

Gene ID:
5727

Database links:

Entrez Gene: 5727 Human

Entrez Gene: 19206 Mouse

Entrez Gene: 89830 Rat

Omim: 601309 Human

SwissProt: Q13635 Human

SwissProt: Q86XG7 Human

SwissProt: Q61115 Mouse

Unigene: 494538 Human

Unigene: 228798 Mouse

Unigene: 102312 Rat



Ptch蛋白是细胞表面接受Hh信号蛋白的受体,目前主要用于肿瘤方面的研究。
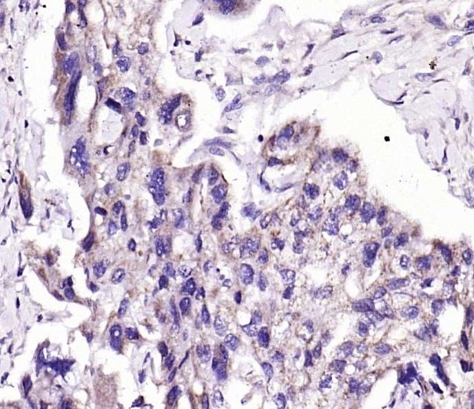
产品图片
Paraformaldehyde-fixed, paraffin embedded (human skin cancer); Antigen retrieval by boiling in sodium citrate buffer (pH6.0) for 15min; Block endogenous peroxidase by 3% hydrogen peroxide for 20 minutes; Blocking buffer (normal goat serum) at 37°C for 30min; Antibody incubation with (Patched) Polyclonal Antibody, Unconjugated (bs-24460R) at 1:200 overnight at 4°C, followed by operating according to SP Kit(Rabbit) (sp-0023) instructionsand DAB staining.
版权所有 2004-2026 www.bioss.com.cn 北京博奥森生物技术有限公司
通过国际质量管理体系ISO 9001:2015 GB/T 19001-2016    证书编号: 00124Q34771R2M/1100
通过国际医疗器械-质量管理体系ISO 13485:2016 GB/T 42061-2022     证书编号: CQC24QY20047R0M/1100
京ICP备05066980号-1         京公网安备110107000727号