扫码关注公众号           扫码咨询技术支持           扫码咨询技术服务
  
客服热线:400-901-9800  客服QQ:4009019800  技术答疑  技术支持  质量反馈  关于我们  联系我们
产品中心-北京博奥森生物技术有限公司
首页 > 产品中心 > 一抗 > 产品信息
CD41/ITGA2B Recombinant Rabbit mAb (bsm-52912R)  
订购热线:400-901-9800
订购邮箱:sales@bioss.com.cn
订购QQ:  400-901-9800
技术支持:techsupport@bioss.com.cn
50ul/1400.00元
100ul/2500.00元
大包装/询价

产品编号 bsm-52912R
英文名称 CD41/ITGA2B Recombinant Rabbit mAb
中文名称 血小板膜糖蛋白Ⅱb(CD41)重组兔单抗
别    名 platelet glycoprotein IIb of IIb/IIIa complex; Integrin, alpha 2b(platelet glycoprotein IIb of IIb/IIIa complex, antigen CD41); GPIIb; GTA; HPA3; CD 41; CD41 antigen; CD41a; CD41b; GP2b; GPalpha IIb; GPalphaIIb; Integrin alpha IIb; Integrin alpha IIb precursor; ITGA 2B; Integrin alpha 2b; ITGAB; Platelet fibrinogen receptor alpha; Platelet fibrinogen receptor alpha subunit; Platelet glycoprotein IIb of IIb/IIIa complex; Platelet membrane glycoprotein IIb; Platelet specific antigen bak; ITA2B_HUMAN.  
研究领域 心血管  细胞生物  免疫学  信号转导  干细胞  细胞粘附分子  
抗体来源 Rabbit
克隆类型 Recombinant
克 隆 号 7C8
交叉反应 Human
产品应用 IHC-P=1:100-500,IHC-F=1:100-500,IF=1:100-500
not yet tested in other applications.
optimal dilutions/concentrations should be determined by the end user.
理论分子量 113 kDa
检测分子量
细胞定位 细胞膜 
性    状 Liquid
浓    度 1mg/ml
免 疫 原 A synthesized peptide derived from human Integrin alpha 2b: 50-100 
亚    型 IgG
纯化方法 affinity purified by Protein A
缓 冲 液 0.01M TBS (pH7.4) with 1% BSA, 0.02% Proclin300 and 50% Glycerol.
保存条件 Shipped at 4℃. Store at -20℃ for one year. Avoid repeated freeze/thaw cycles.
注意事项 This product as supplied is intended for research use only, not for use in human, therapeutic or diagnostic applications.
PubMed PubMed
产品介绍 This gene encodes a member of the integrin alpha chain family of proteins. The encoded preproprotein is proteolytically processed to generate light and heavy chains that associate through disulfide linkages to form a subunit of the alpha-IIb/beta-3 integrin cell adhesion receptor. This receptor plays a crucial role in the blood coagulation system, by mediating platelet aggregation. Mutations in this gene are associated with platelet-type bleeding disorders, which are characterized by a failure of platelet aggregation, including Glanzmann thrombasthenia. [provided by RefSeq, Jan 2016]

Function:
Isoform 1 and isoform 2 were identified in platelets and megakaryocytes, but not in reticulocytes or in Jurkat and U937 white blood cell line. Isoform 3 is expressed by leukemia, prostate adenocarcinoma and melanoma cells but not by platelets or normal prostate or breast epithelial cells.

Subcellular Location:
Membrane.

DISEASE:
Defects in ITGA2B are a cause of Glanzmann thrombasthenia (GT) [MIM:273800]; also known as thrombasthenia of Glanzmann and Naegeli. GT is the most common inherited disease of platelets. It is an autosomal recessive disorder characterized by mucocutaneous bleeding of mild-to-moderate severity and the inability of this integrin to recognize macromolecular or synthetic peptide ligands. GT has been classified clinically into types I and II. In type I, platelets show absence of the glycoprotein IIb/beta-3 complexes at their surface and lack fibrinogen and clot retraction capability. In type II, the platelets express the glycoprotein IIb/beta-3 complex at reduced levels (5-20% controls), have detectable amounts of fibrinogen, and have low or moderate clot retraction capability. The platelets of GT 'variants' have normal or near normal (60-100%) expression of dysfunctional receptors.

Similarity:
Belongs to the integrin alpha chain family.
Contains 7 FG-GAP repeats.

SWISS:
P08514

Gene ID:
3674

Database links:
Entrez Gene: 3674 Human

Entrez Gene: 16399 Mouse

Entrez Gene: 685269 Rat

Omim: 607759 Human

SwissProt: P08514 Human

SwissProt: Q9QUM0 Mouse

Unigene: 411312 Human

Unigene: 26646 Mouse

Unigene: 128177 Rat



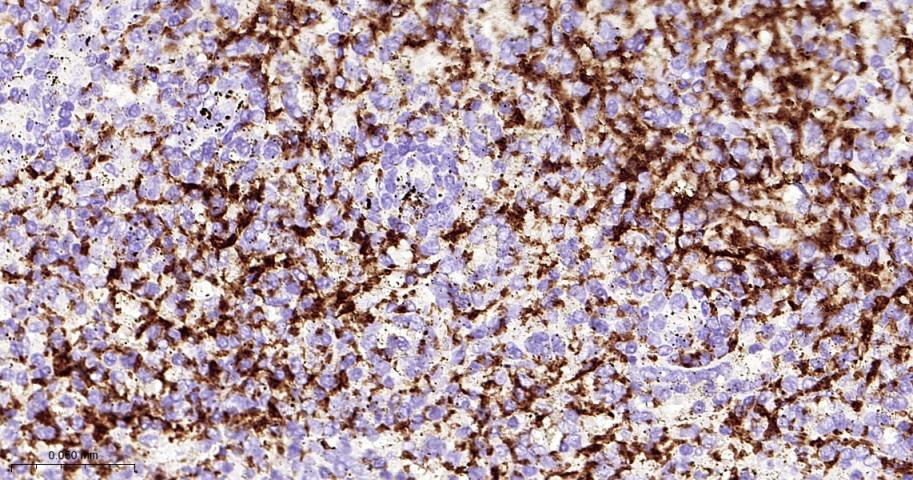
产品图片
Paraformaldehyde-fixed, paraffin embedded Human Spleen; Antigen retrieval by boiling in sodium citrate buffer (pH6.0) for 15 min; The section was incubated with CD41/ITGA2B Monoclonal Antibody, Unconjugated (bsm-52912R) at 1:200 overnight at 4°C, followed by conjugation to the bs-0295G-HRP and DAB (C-0010) staining.
版权所有 2004-2026 www.bioss.com.cn 北京博奥森生物技术有限公司
通过国际质量管理体系ISO 9001:2015 GB/T 19001-2016    证书编号: 00124Q34771R2M/1100
通过国际医疗器械-质量管理体系ISO 13485:2016 GB/T 42061-2022     证书编号: CQC24QY20047R0M/1100
京ICP备05066980号-1         京公网安备110107000727号