扫码关注公众号           扫码咨询技术支持           扫码咨询技术服务
  
客服热线:400-901-9800  客服QQ:4009019800  技术答疑  技术支持  质量反馈  人才招聘  关于我们  联系我们
产品中心-北京博奥森生物技术有限公司
首页 > 产品中心 > 一抗 > 产品信息
ARP3 Recombinant Rabbit mAb (bsm-54337R)  
订购热线:400-901-9800
订购邮箱:sales@bioss.com.cn
订购QQ:  400-901-9800
技术支持:techsupport@bioss.com.cn
50ul/1400.00元
100ul/2500.00元
大包装/询价

产品编号 bsm-54337R
英文名称 ARP3 Recombinant Rabbit mAb
中文名称 细胞骨架肌动蛋白样蛋白3抗体
别    名 ARP3; ARP3_HUMAN; ACTR3; Actin-like protein 3;   
研究领域 细胞生物  细胞粘附分子  细胞骨架  
抗体来源 Rabbit
克隆类型 Recombinant
克 隆 号 1A1
交叉反应 Human,Mouse,Rat
产品应用 WB=1:500-1000,IHC-P=1:50-200,IHC-F=1:50-200,IF=1:50-200,Flow-Cyt=1:50-100,ICC/IF=1:50-200
not yet tested in other applications.
optimal dilutions/concentrations should be determined by the end user.
理论分子量 47 kDa
检测分子量 47
性    状 Liquid
浓    度 1mg/ml
免 疫 原 Recombinant protein of C-terminal human Arp3. 
亚    型 IgG
纯化方法 affinity purified by Protein A
缓 冲 液 0.01M TBS (pH7.4) with 1% BSA, 0.02% Proclin300 and 50% Glycerol.
保存条件 Shipped at 4℃. Store at -20℃ for one year. Avoid repeated freeze/thaw cycles.
注意事项 This product as supplied is intended for research use only, not for use in human, therapeutic or diagnostic applications.
PubMed PubMed
产品介绍 Actin polymerization is required for a variety of cell functions, including chemotaxis, cell migration, cell adhesion, and platelet activation. Cells trigger actin polymerization through either the de novo nucleation of filaments from monomeric actin, the severing of existing filaments to create uncapped barbed ends, or the uncapping existing barbed ends. The nucleation of actin is a rate-limiting and unfavorable reaction in actin polymerization and therefore requires the involvement of the Arp2/3 complex, which helps create new filaments and promotes the end-to-side cross-linking of actin filaments into the branching meshwork. The Arp2/3 complex consists of the actin-related proteins Arp2 and Arp3, and various other accessory proteins. The Arp2/3 complex promotes actin nucleation by binding the pointed end of actin filaments, or by associating with the side of an existing filament, and nucleates growth in the barbed direction. In addition, the Arp2/3 complex also mediates actin cytoskeletal outgrowths that are regulated by the Rho family of small GTPases. In response to GTP-binding Cdc42, the Arp2/3 complex binds the Cdc42 substrates, namely the WASP proteins, and initiates the formation of lamellipodia and filopodia.

Function:
The Arp2/3 complex involved in Golgi polerization in NIH3T3 cells. In a different model it has been shown that the Arp2/3 complex is necessary for neutrophil chemotaxis and phagocytosis.

Subunit:
Component of the Arp2/3 complex composed of ARP2, ARP3, ARPC1B/p41-ARC, ARPC2/p34-ARC, ARPC3/p21-ARC, ARPC4/p20-ARC and ARPC5/p16-ARC. Interacts with WHDC1.

Subcellular Location:
Cytoplasm, cytoskeleton. Cell projection.

Similarity:
Belongs to the actin family. ARP3 subfamily.

SWISS:
P61158

Gene ID:
10096

Database links:

Entrez Gene: 10096 Human

Omim: 604222 Human

SwissProt: P61158 Human



产品图片
25 ug total protein per lane of various lysates (see on figure) probed with ARP3 monoclonal antibody, unconjugated (bsm-54337R) at 1:500 dilution and 4°C overnight incubation. Followed by conjugated secondary antibody incubation at r.t. for 60 min.
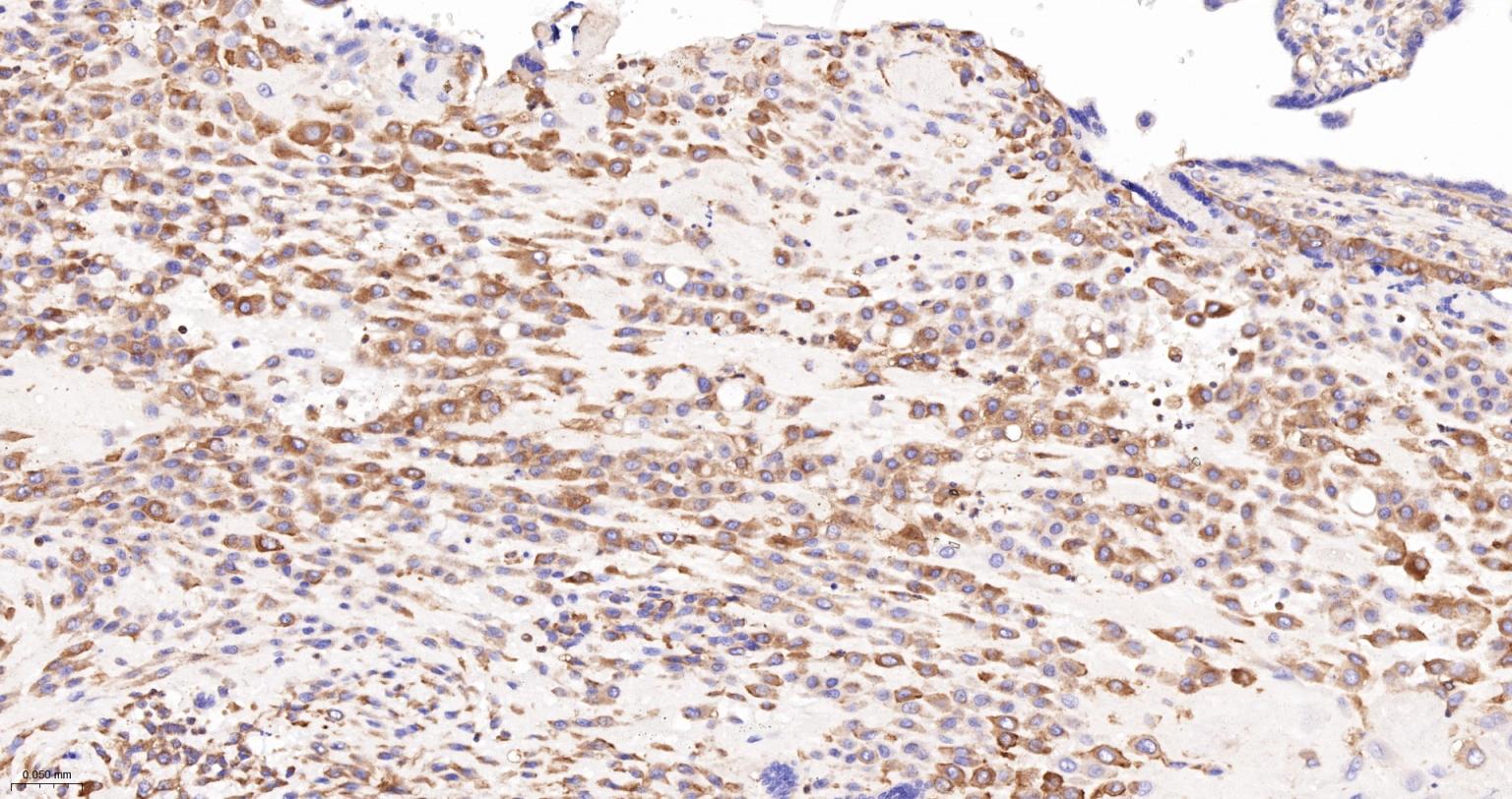
Paraformaldehyde-fixed, paraffin embedded Human placenta; Antigen retrieval by boiling in sodium citrate buffer (pH6.0) for 15 min; The section was incubated with ARP3 Monoclonal Antibody, Unconjugated (bsm-54337R) at 1:100 overnight at 4°C, followed by conjugation to the bs-0295G-HRP and DAB (C-0010) staining.
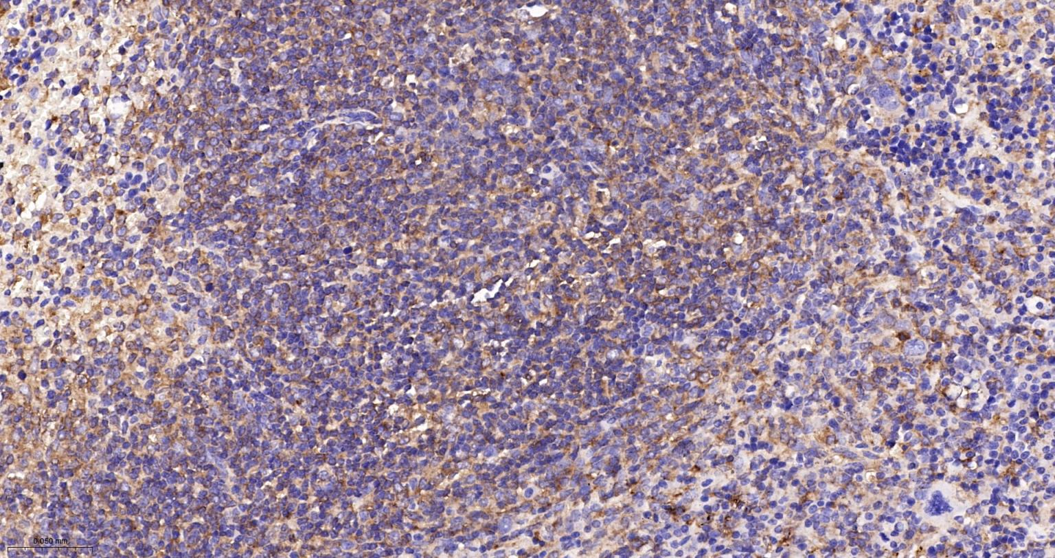
Paraformaldehyde-fixed, paraffin embedded Human Tonsil; Antigen retrieval by boiling in sodium citrate buffer (pH6.0) for 15 min; The section was incubated with ARP3 Monoclonal Antibody, Unconjugated (bsm-54337R) at 1:100 overnight at 4°C, followed by conjugation to the bs-0295G-HRP and DAB (C-0010) staining.
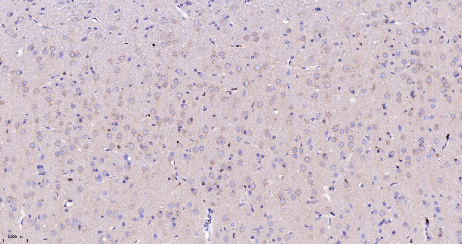
Paraformaldehyde-fixed, paraffin embedded Rat Cerebrum; Antigen retrieval by boiling in sodium citrate buffer (pH6.0) for 15 min; The section was incubated with ARP3 Monoclonal Antibody, Unconjugated (bsm-54337R) at 1:100 overnight at 4°C, followed by conjugation to the bs-0295G-HRP and DAB (C-0010) staining.
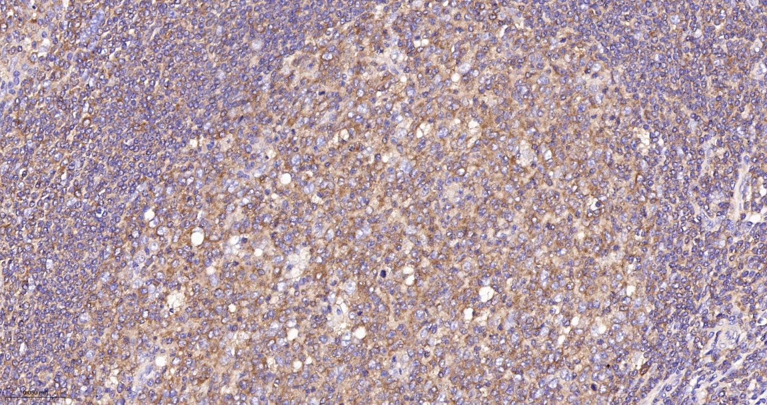
Paraformaldehyde-fixed, paraffin embedded Rat Spleen; Antigen retrieval by boiling in sodium citrate buffer (pH6.0) for 15 min; The section was incubated with ARP3 Monoclonal Antibody, Unconjugated (bsm-54337R) at 1:100 overnight at 4°C, followed by conjugation to the bs-0295G-HRP and DAB (C-0010) staining.
Paraformaldehyde-fixed, paraffin embedded Mouse Spleen; Antigen retrieval by boiling in sodium citrate buffer (pH6.0) for 15 min; The section was incubated with ARP3 Monoclonal Antibody, Unconjugated (bsm-54337R) at 1:100 overnight at 4°C, followed by conjugation to the bs-0295G-HRP and DAB (C-0010) staining.
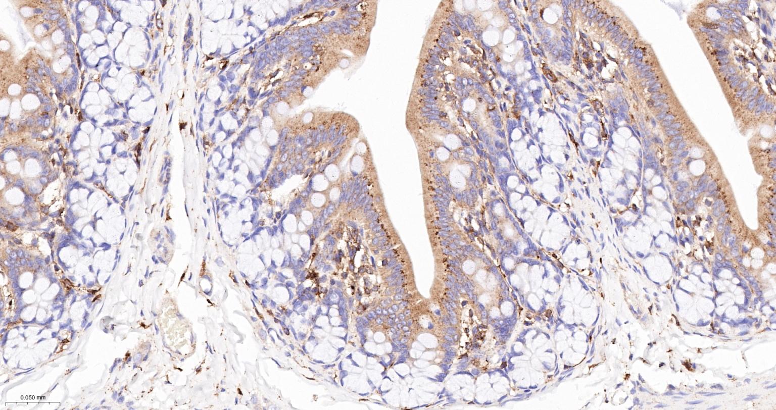
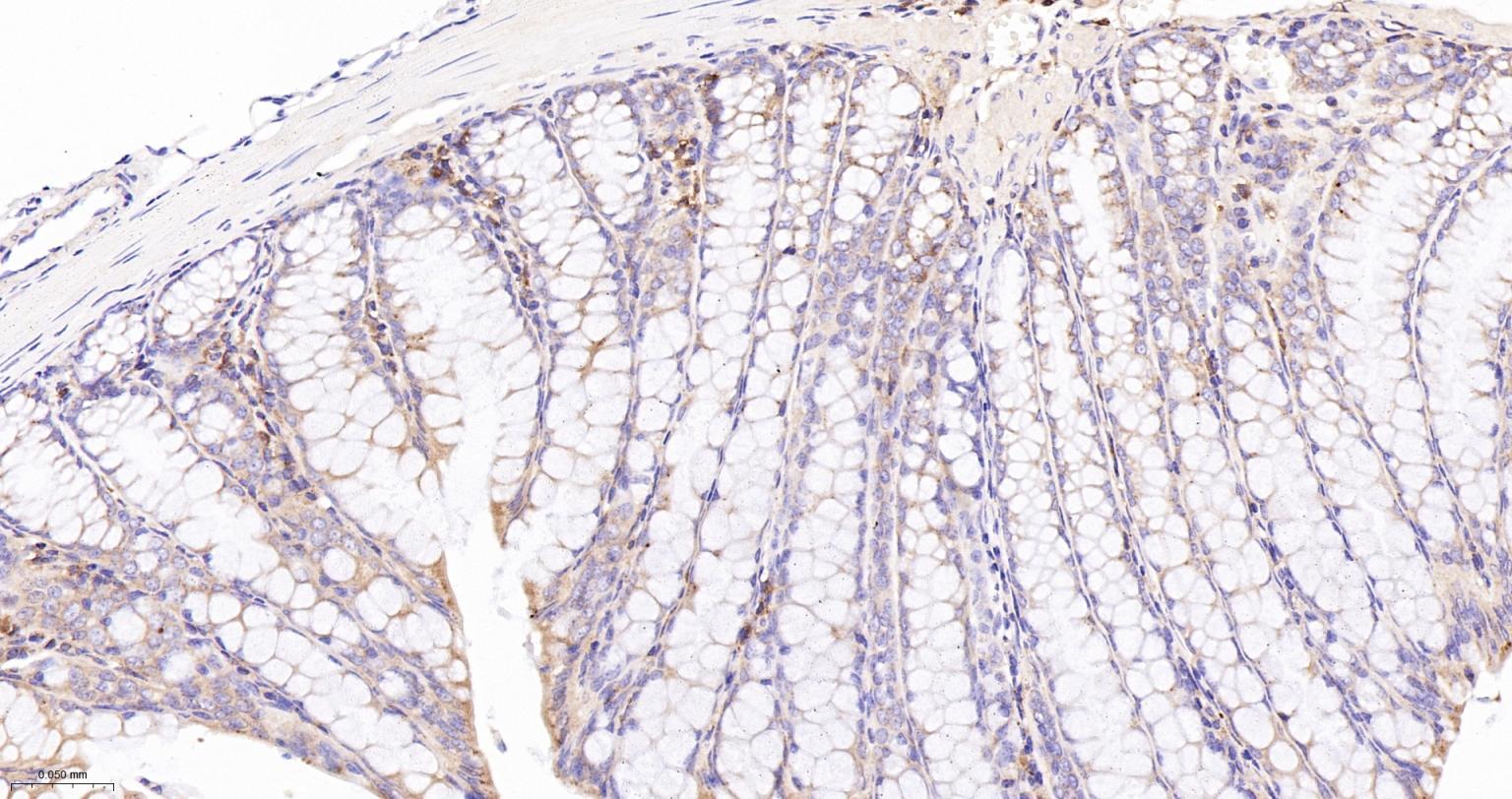
Paraformaldehyde-fixed, paraffin embedded Rat Colon; Antigen retrieval by boiling in sodium citrate buffer (pH6.0) for 15 min; The section was incubated with ARP3 Monoclonal Antibody, Unconjugated (bsm-54337R) at 1:100 overnight at 4°C, followed by conjugation to the bs-0295G-HRP and DAB (C-0010) staining.
Paraformaldehyde-fixed, paraffin embedded Mouse Colon; Antigen retrieval by boiling in sodium citrate buffer (pH6.0) for 15 min; The section was incubated with ARP3 Monoclonal Antibody, Unconjugated (bsm-54337R) at 1:100 overnight at 4°C, followed by conjugation to the bs-0295G-HRP and DAB (C-0010) staining.
4% Paraformaldehyde-fixed HeLa (H) cell; Triton X-100 at r.t. for 20 min; Antibody incubation with (ARP3) monoclonal Antibody, unconjugated (bsm-54337R) 1:100, 90 min at 37°C; followed by BF488 conjugated Goat Anti-Rabbit IgG antibody (green, bs-60295G-BF488) at 37°C for 90 min, DAPI (blue, C02-04002) was used to stain the cell nuclei. PBS instead of the primary antibody was used as the blank control.
版权所有 2004-2026 www.bioss.com.cn 北京博奥森生物技术有限公司
通过国际质量管理体系ISO 9001:2015 GB/T 19001-2016    证书编号: 00124Q34771R2M/1100
通过国际医疗器械-质量管理体系ISO 13485:2016 GB/T 42061-2022     证书编号: CQC24QY20047R0M/1100
京ICP备05066980号-1         京公网安备110107000727号