扫码关注公众号           扫码咨询技术支持           扫码咨询技术服务
  
客服热线:400-901-9800  客服QQ:4009019800  技术答疑  技术支持  质量反馈  关于我们  联系我们
产品中心-北京博奥森生物技术有限公司
首页 > 产品中心 > 一抗 > 产品信息
VWF Recombinant Rabbit mAb (bsm-52775R)  
订购热线:400-901-9800
订购邮箱:sales@bioss.com.cn
订购QQ:  400-901-9800
技术支持:techsupport@bioss.com.cn
25ul/800.00元
50ul/1400.00元
100ul/2500.00元
大包装/询价

产品编号 bsm-52775R
英文名称 VWF Recombinant Rabbit mAb
中文名称 血管假性血友病因子重组兔单抗
别    名 Von Willebrand Factor; Coagulation factor VIII; F8VWF; Factor VIII related antigen; von Willebrand antigen 2; Von Willebrand antigen II; Von Willebrand disease; VWD; VWF_HUMAN  
研究领域 心血管  细胞生物  免疫学  
抗体来源 Rabbit
克隆类型 Recombinant
克 隆 号 9C2
交叉反应 Human,Mouse
产品应用 WB=1:500-2000,IHC-P=1:800-2000,IHC-F=1:800-2000,IF=1:800-2000
not yet tested in other applications.
optimal dilutions/concentrations should be determined by the end user.
理论分子量 309 kDa
检测分子量
细胞定位 细胞外基质 分泌型蛋白 
性    状 Liquid
浓    度 1mg/ml
免 疫 原 Recombinant human VWF protein 
亚    型 IgG
纯化方法 affinity purified by Protein A
缓 冲 液 1*TBS (pH7.4), 0.05% BSA, 40% Glycerol. Preservative: 0.02% Proclin300.
保存条件 Shipped at 4℃. Store at -20℃ for one year. Avoid repeated freeze/thaw cycles.
注意事项 This product as supplied is intended for research use only, not for use in human, therapeutic or diagnostic applications.
PubMed PubMed
产品介绍 Von Willebrand Factor (VWF) was previously known as Factor VIII related antigen. VWF is synthesized exclusively by endothelial cells and megakaryocytes, and stored in the intracellular granules or constitutively secreted into plasma. This glycoprotein functions as both an antihemophilic factor carrier and a platelet vessel wall mediator in the blood coagulation system. Important in the maintenance of homeostasis, it participates in platelet vessel wall interactions by forming a noncovalent complex with coagulation factor VIII at the site of vascular injury. The Von Willebrand factor has functional binding domains to platelet glycoprotein Ib, glycoprotein IIb/IIIa, collagen and heparin. Mutations in this gene or deficiencies in this protein result in Von Willebrand's disease. VWD is characterized by frequent bleeding (gingival, minor skin quantitative lacerations, menorrhagia, etc.).

Function:
Important in the maintenance of hemostasis, it promotes adhesion of platelets to the sites of vascular injury by forming a molecular bridge between sub-endothelial collagen matrix and platelet-surface receptor complex GPIb-IX-V. Also acts as a chaperone for coagulation factor VIII, delivering it to the site of injury, stabilizing its heterodimeric structure and protecting it from premature clearance from plasma.

Subunit:
Multimeric. Interacts with F8.

Subcellular Location:
Secreted. Secreted, extracellular space, extracellular matrix. Note=Localized to storage granules.

Tissue Specificity:
Plasma.

Post-translational modifications:
All cysteine residues are involved in intrachain or interchain disulfide bonds.
N- and O-glycosylated.

DISEASE:
Defects in VWF are the cause of von Willebrand disease type 1 (VWD1) [MIM:193400]. A common hemorrhagic disorder due to defects in von Willebrand factor protein and resulting in impaired platelet aggregation. Von Willebrand disease type 1 is characterized by partial quantitative deficiency of circulating von Willebrand factor, that is otherwise structurally and functionally normal. Clinical manifestations are mucocutaneous bleeding, such as epistaxis and menorrhagia, and prolonged bleeding after surgery or trauma.
Defects in VWF are the cause of von Willebrand disease type 2 (VWD2) [MIM:613554]. A hemorrhagic disorder due to defects in von Willebrand factor protein and resulting in impaired platelet aggregation. Von Willebrand disease type 2 is characterized by qualitative deficiency and functional anomalies of von Willebrand factor. It is divided in different subtypes including 2A, 2B, 2M and 2N (Normandy variant). The mutant VWF protein in types 2A, 2B and 2M are defective in their platelet-dependent function, whereas the mutant protein in type 2N is defective in its ability to bind factor VIII. Clinical manifestations are mucocutaneous bleeding, such as epistaxis and menorrhagia, and prolonged bleeding after surgery or trauma.
Defects in VWF are the cause of von Willebrand disease type 3 (VWD3) [MIM:277480]. A severe hemorrhagic disorder due to a total or near total absence of von Willebrand factor in the plasma and cellular compartments, also leading to a profound deficiency of plasmatic factor VIII. Bleeding usually starts in infancy and can include epistaxis, recurrent mucocutaneous bleeding, excessive bleeding after minor trauma, and hemarthroses.

Similarity:
Contains 1 CTCK (C-terminal cystine knot-like) domain.
Contains 4 TIL (trypsin inhibitory-like) domains.
Contains 3 VWFA domains.


SWISS:
P04275

Gene ID:
7450

Database links:

Entrez Gene: 280958 Cow

Entrez Gene: 399544 Dog

Entrez Gene: 7450 Human

Entrez Gene: 399543 Pig

Entrez Gene: 116669 Rat

Omim: 613160 Human

SwissProt: Q28295 Dog

SwissProt: P04275 Human

SwissProt: Q28833 Pig

SwissProt: Q62935 Rat

Unigene: 440848 Human

Unigene: 35561 Rat



血管性血友病因子(vWF)是血管内皮细胞和骨髓巨核细胞合成的一种糖蛋白,在1期和2期止血中都起着重要作用,如缺乏将导致患者出现血管性血友病(vWD)。vWF可被ADAMTS13裂解以失去活性,血小板反应蛋白/凝血酶敏感蛋白-1(Thrombospondin,TSP-1))可参与了这个调节过程。vWF水平受多种遗传和环境因素影响,其中ABO血型影响较大。vWF主要通过A1和A3区与血小板GP 1b和胶原结合,在止血和血栓形成过程中起重要作用,并与心、脑血管疾病及血管新生密切相关,因此研究vWF的生物学特性和功能具有重要的意义。
产品图片
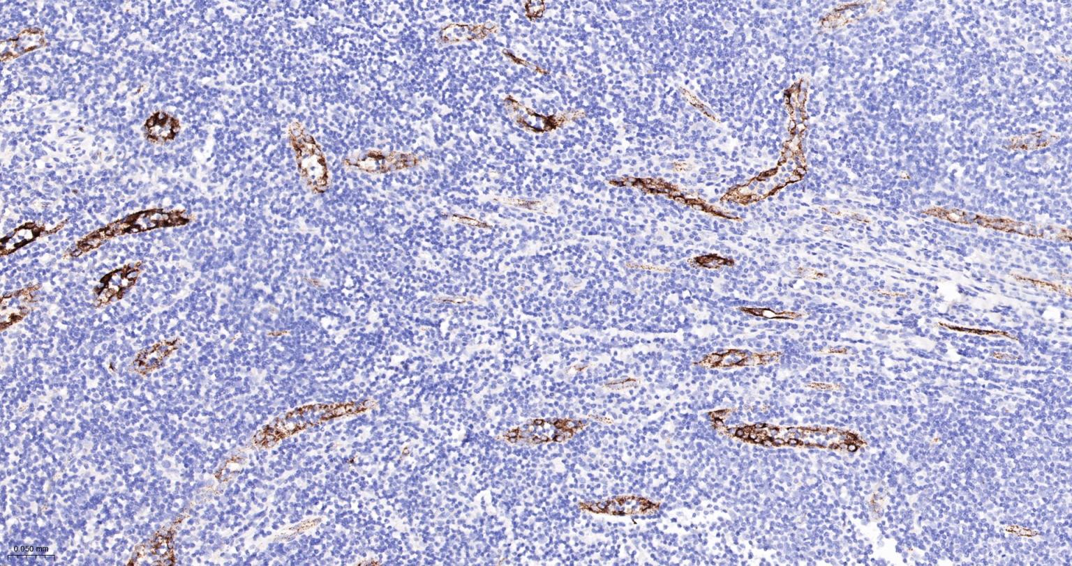
Paraformaldehyde-fixed, paraffin embedded Human Spleen; Antigen retrieval by boiling in sodium citrate buffer (pH6.0) for 15 min; The section was incubated with VWF Monoclonal Antibody, Unconjugated (bsm-52775R) at 1:1000 overnight at 4°C, followed by conjugation to the bs-0295G-HRP and DAB (C-0010) staining.
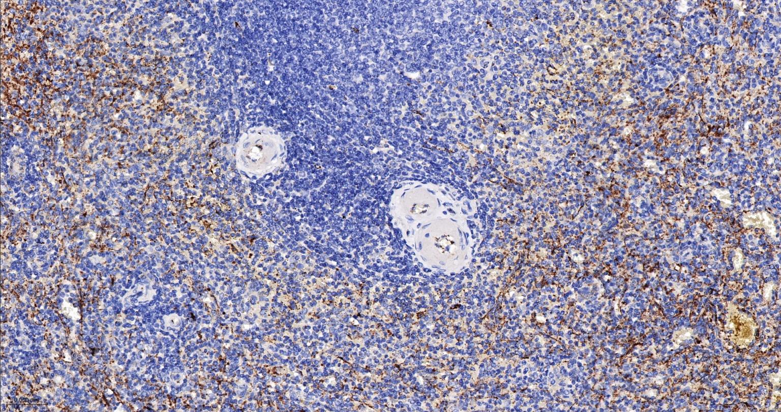
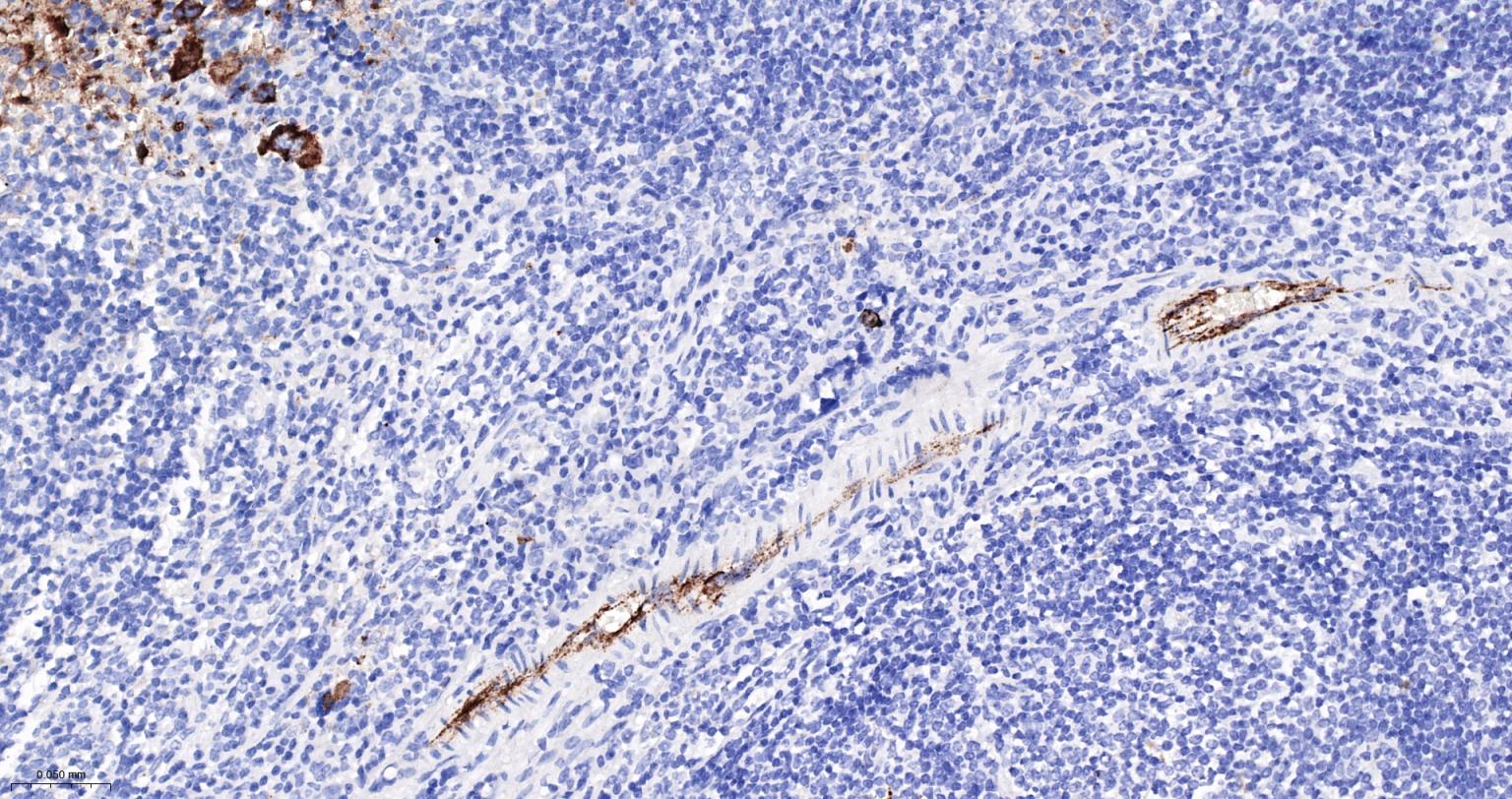
Paraformaldehyde-fixed, paraffin embedded Human Tonsil; Antigen retrieval by boiling in sodium citrate buffer (pH6.0) for 15 min; Antibody incubation with VWF Monoclonal Antibody, Unconjugated(bsm-52775R) at 1:1000 overnight at 4°C, followed by conjugation to the bs-0295G-HRP and DAB (C-0010) staining.
Paraformaldehyde-fixed, paraffin embedded Human Breast Cancer; Antigen retrieval by boiling in sodium citrate buffer (pH6.0) for 15 min; Antibody incubation with VWF Monoclonal Antibody, Unconjugated(bsm-52775R) at 1:1000 overnight at 4°C, followed by conjugation to the bs-0295G-HRP and DAB (C-0010) staining.
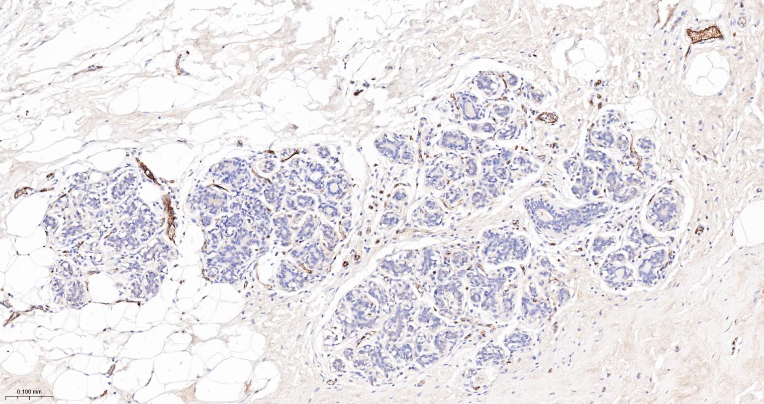
Paraformaldehyde-fixed, paraffin embedded Human Prostate Cancer; Antigen retrieval by boiling in sodium citrate buffer (pH6.0) for 15 min; Antibody incubation with VWF Monoclonal Antibody, Unconjugated(bsm-52775R) at 1:1000 overnight at 4°C, followed by conjugation to the bs-0295G-HRP and DAB (C-0010) staining.
Paraformaldehyde-fixed, paraffin embedded Human Colon Cancer; Antigen retrieval by boiling in sodium citrate buffer (pH6.0) for 15 min; Antibody incubation with VWF Monoclonal Antibody, Unconjugated(bsm-52775R) at 1:1000 overnight at 4°C, followed by conjugation to the bs-0295G-HRP and DAB (C-0010) staining.
Paraformaldehyde-fixed, paraffin embedded Human Uterus; Antigen retrieval by boiling in sodium citrate buffer (pH6.0) for 15 min; Antibody incubation with VWF Monoclonal Antibody, Unconjugated(bsm-52775R) at 1:200 overnight at 4°C, followed by conjugation to the bs-0295G-HRP and DAB (C-0010) staining.
Paraformaldehyde-fixed, paraffin embedded Mouse Uterus; Antigen retrieval by boiling in sodium citrate buffer (pH6.0) for 15 min; Antibody incubation with VWF Monoclonal Antibody, Unconjugated(bsm-52775R) at 1:1000 overnight at 4°C, followed by conjugation to the bs-0295G-HRP and DAB (C-0010) staining.
Paraformaldehyde-fixed, paraffin embedded Mouse Colon; Antigen retrieval by boiling in sodium citrate buffer (pH6.0) for 15 min; Antibody incubation with VWF Monoclonal Antibody, Unconjugated(bsm-52775R) at 1:1000 overnight at 4°C, followed by conjugation to the bs-0295G-HRP and DAB (C-0010) staining.
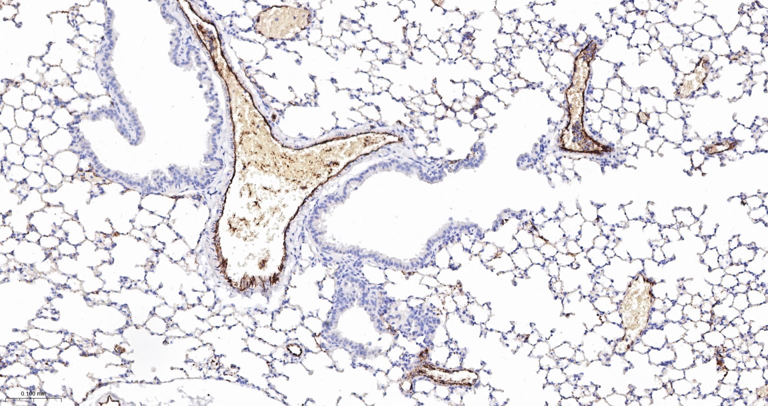
Paraformaldehyde-fixed, paraffin embedded Mouse Lung; Antigen retrieval by boiling in sodium citrate buffer (pH6.0) for 15 min; Antibody incubation with VWF Monoclonal Antibody, Unconjugated(bsm-52775R) at 1:1000 overnight at 4°C, followed by conjugation to the bs-0295G-HRP and DAB (C-0010) staining.
Paraformaldehyde-fixed, paraffin embedded Mouse Spleen; Antigen retrieval by boiling in sodium citrate buffer (pH6.0) for 15 min; The section was incubated with VWF Monoclonal Antibody, Unconjugated (bsm-52775R) at 1:1000 overnight at 4°C, followed by conjugation to the bs-0295G-HRP and DAB (C-0010) staining.
版权所有 2004-2026 www.bioss.com.cn 北京博奥森生物技术有限公司
通过国际质量管理体系ISO 9001:2015 GB/T 19001-2016    证书编号: 00124Q34771R2M/1100
通过国际医疗器械-质量管理体系ISO 13485:2016 GB/T 42061-2022     证书编号: CQC24QY20047R0M/1100
京ICP备05066980号-1         京公网安备110107000727号