扫码关注公众号           扫码咨询技术支持           扫码咨询技术服务
  
客服热线:400-901-9800  客服QQ:4009019800  技术答疑  技术支持  质量反馈  关于我们  联系我们
产品中心-北京博奥森生物技术有限公司
首页 > 产品中心 > 一抗 > 产品信息
Calnexin Recombinant Rabbit mAb (bsm-52639R)  
订购热线:400-901-9800
订购邮箱:sales@bioss.com.cn
订购QQ:  400-901-9800
技术支持:techsupport@bioss.com.cn
25ul/800.00元
50ul/1400.00元
100ul/2500.00元
大包装/询价

产品编号 bsm-52639R
英文名称 Calnexin Recombinant Rabbit mAb
中文名称 钙连蛋白重组兔单抗
别    名 Calnexin-ER membrane marker; CANX; Cell adhesion molecule with homology to l1cam precursor; CNX; D11Ertd153e; 1110069N15Rik; AI988026; FLJ26570; IP90; P90; Similar to calnexin; Major histocompatibility complex class I antigen-binding protein p88; CALX_HUMAN.  
Specific References  (2)     |     bsm-52639R has been referenced in 2 publications.
[IF=14.957] Zhenglin Li. et al. Cascaded microfluidic circuits for pulsatile filtration of extracellular vesicles from whole blood for early cancer diagnosis. SCI ADV. 2023 Apr;9(16)  WB ;  Human.  
[IF=10.753] Xiaoyu Wang. et al. The key role of proteostasis at mitochondria-associated endoplasmic reticulum membrane in vanadium-induced nephrotoxicity using a proteomic strategy. SCI TOTAL ENVIRON. 2023 Apr;869:161741  WB ;  Duck.  
研究领域 免疫学  染色质和核信号  结合蛋白  
抗体来源 Rabbit
克隆类型 Recombinant
克 隆 号 24G6
交叉反应 Human
产品应用 WB=1:500-2000,IHC-P=1:100-500,IHC-F=1:100-500,IF=1:100-500
not yet tested in other applications.
optimal dilutions/concentrations should be determined by the end user.
理论分子量 65 kDa
检测分子量
细胞定位 细胞浆 细胞膜 
性    状 Liquid
浓    度 1mg/ml
免 疫 原 KLH conjugated synthetic peptide derived from human Calnexin 
亚    型 IgG
纯化方法 affinity purified by Protein A
缓 冲 液 0.01M TBS (pH7.4) with 1% BSA, 0.02% Proclin300 and 50% Glycerol.
保存条件 Shipped at 4℃. Store at -20℃ for one year. Avoid repeated freeze/thaw cycles.
注意事项 This product as supplied is intended for research use only, not for use in human, therapeutic or diagnostic applications.
PubMed PubMed
产品介绍 This gene encodes a member of the calnexin family of molecular chaperones. The encoded protein is a calcium-binding, endoplasmic reticulum (ER)-associated protein that interacts transiently with newly synthesized N-linked glycoproteins, facilitating protein folding and assembly. It may also play a central role in the quality control of protein folding by retaining incorrectly folded protein subunits within the ER for degradation. Alternatively spliced transcript variants encoding the same protein have been described. [provided by RefSeq]

Function:
Calcium-binding protein that interacts with newly synthesized glycoproteins in the endoplasmic reticulum. It may act in assisting protein assembly and/or in the retention within the ER of unassembled protein subunits. It seems to play a major role in the quality control apparatus of the ER by the retention of incorrectly folded proteins.

Subunit:
Interacts with MAPK3/ERK1. Interacts with KCNH2. Associates with ribosomes. Interacts with SGIP1; involved in negative regulation of endocytosis (By similarity). The palmitoylated form interacts with the ribosome-translocon complex component SSR1, promoting efficient folding of glycoproteins.

Subcellular Location:
Endoplasmic reticulum membrane. Melanosome. Identified by mass spectrometry in melanosome fractions from stage I to stage IV.

Post-translational modifications:
Phosphorylated at Ser-564 by MAPK3/ERK1. phosphorylation by MAPK3/ERK1 increases its association with ribosomes (By similarity). br>Palmitoylation by DHHC6 leads to the preferential localization to the perinuclear rough ER. It mediates the association of calnexin with the ribosome-translocon complex (RTC) which is required for efficient folding of glycosylated proteins.

Similarity:
Belongs to the calreticulin family.

SWISS:
P27824

Gene ID:
821

Database links:

Entrez Gene: 821 Human

Entrez Gene: 12330 Mouse

Entrez Gene: 29144 Rat

Entrez Gene: 403908 Dog

Omim: 114217 Human

SwissProt: P24643 Dog

SwissProt: P27824 Human

SwissProt: P35564 Mouse

SwissProt: P35565 Rat

Unigene: 567968 Human

Unigene: 248827 Mouse

Unigene: 1762 Rat



产品图片
25 ug total protein per lane of various lysates (see on figure) probed with Calnexin monoclonal antibody, unconjugated (bsm-52639R) at 1:500 dilution and 4°C overnight incubation. Followed by conjugated secondary antibody incubation at r.t. for 60 min.
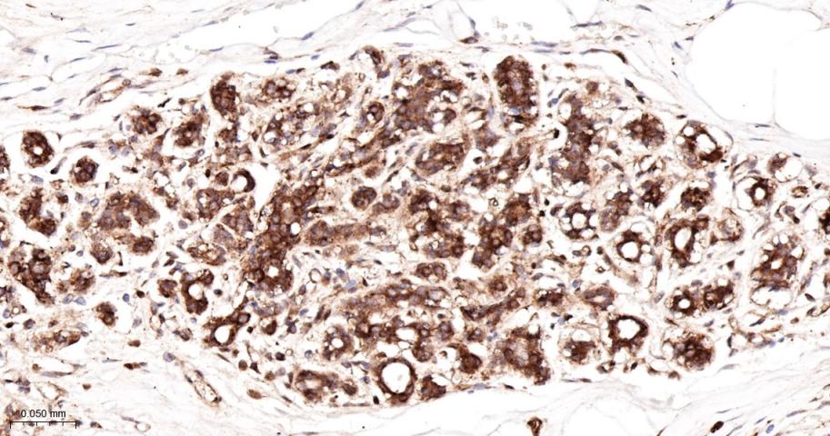
Paraformaldehyde-fixed, paraffin embedded Human Breast Cancer; Antigen retrieval by boiling in sodium citrate buffer (pH6.0) for 15 min; The section was incubated with Calnexin Monoclonal Antibody, Unconjugated (bsm-52639R) at 1:200 overnight at 4°C, followed by conjugation to the bs-0295G-HRP and DAB (C-0010) staining.
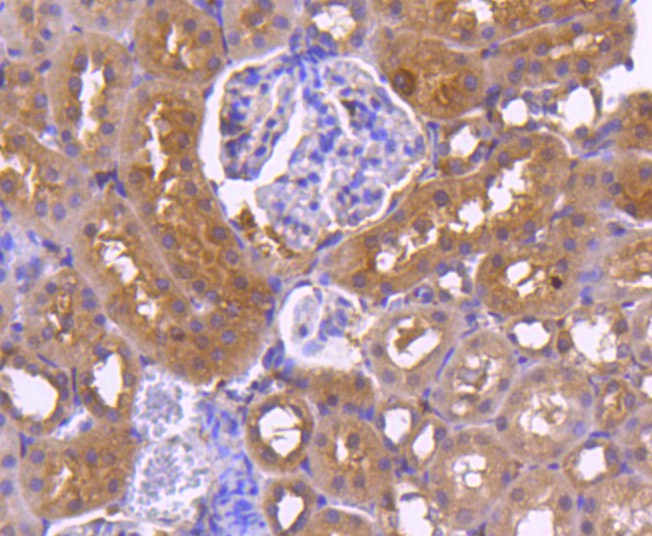
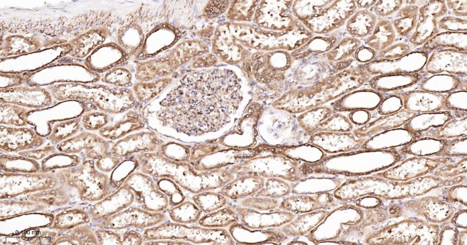
Paraformaldehyde-fixed, paraffin embedded Human Kidney; Antigen retrieval by boiling in sodium citrate buffer (pH6.0) for 15 min; The section was incubated with Calnexin Monoclonal Antibody, Unconjugated (bsm-52639R) at 1:200 overnight at 4°C, followed by conjugation to the bs-0295G-HRP and DAB (C-0010) staining.
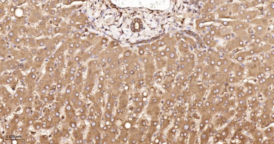
Paraformaldehyde-fixed, paraffin embedded Human Liver; Antigen retrieval by boiling in sodium citrate buffer (pH6.0) for 15 min; The section was incubated with Calnexin Monoclonal Antibody, Unconjugated (bsm-52639R) at 1:200 overnight at 4°C, followed by conjugation to the bs-0295G-HRP and DAB (C-0010) staining.
版权所有 2004-2026 www.bioss.com.cn 北京博奥森生物技术有限公司
通过国际质量管理体系ISO 9001:2015 GB/T 19001-2016    证书编号: 00124Q34771R2M/1100
通过国际医疗器械-质量管理体系ISO 13485:2016 GB/T 42061-2022     证书编号: CQC24QY20047R0M/1100
京ICP备05066980号-1         京公网安备110107000727号