扫码关注公众号           扫码咨询技术支持           扫码咨询技术服务
  
客服热线:400-901-9800  客服QQ:4009019800  技术答疑  技术支持  质量反馈  人才招聘  关于我们  联系我们
产品中心-北京博奥森生物技术有限公司
首页 > 产品中心 > 试剂盒 > 产品信息
NALP3/CIAS1 Ready-To-Use IHC Kit (IHC0396)  
订购热线:400-901-9800
订购邮箱:sales@bioss.com.cn
订购QQ:  400-901-9800
技术支持:techsupport@bioss.com.cn
50T/3200.00元
大包装/询价

产品编号 IHC0396
英文名称 NALP3/CIAS1 Ready-To-Use IHC Kit
中文名称 细胞凋亡诱导蛋白NALP3即用型免疫组化试剂盒
别    名 AGTAVPRL; AII; AII/AVP; AVP; C1orf7; CIAS1; CLR1.1; FCAS; FCAS1; FCU; Mmig1; MWS; NALP3; NLRP3; PYPAF1  
克 隆 号
适用样品基质 FFPE tissue
保存条件 Please store components at the temperatures indicated on the individual tube labels. The kit is stable for 6 months from the date of receipt.
产品介绍 This gene encodes a pyrin-like protein containing a pyrin domain, a nucleotide-binding site domain, and a leucine-rich repeat motif. This protein interacts with the apoptosis-associated speck-like protein PYCARD/ASC, which contains a caspase recruitment domain, and is a member of the NALP3 inflammasome complex. This complex functions as an upstream activator of NF-kappaB signaling, and it plays a role in the regulation of inflammation, the immune response, and apoptosis. Mutations in this gene are associated with familial cold autoinflammatory syndrome, and neonatal-onset multisystem inflammatory disease. Multiple alternatively spliced transcript variants encoding distinct isoforms have been identified for this gene. Alternative 5' UTR structures are suggested by available data; however, insufficient evidence is available to determine if all of the represented 5' UTR splice patterns are biologically valid.

SWISS:
Q96P20

Gene ID:
114548

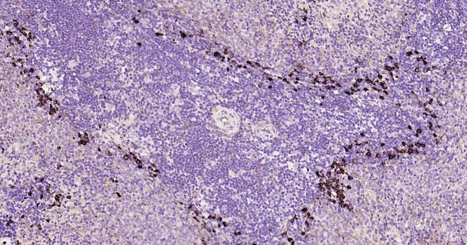
产品图片
Immunohistochemical analysis of paraffin embedded mouse thymus tissue slide using IHC0396 (NALP3/CIAS1 IHC Kit).
Immunohistochemical analysis of paraffin embedded human purulent appendicitis tissue slide using IHC0396 (NALP3/CIAS1 IHC Kit).
Immunohistochemical analysis of paraffin embedded rat spleen tissue slide using IHC0396 (NALP3/CIAS1 IHC Kit).
版权所有 2004-2026 www.bioss.com.cn 北京博奥森生物技术有限公司
通过国际质量管理体系ISO 9001:2015 GB/T 19001-2016    证书编号: 00124Q34771R2M/1100
通过国际医疗器械-质量管理体系ISO 13485:2016 GB/T 42061-2022     证书编号: CQC24QY20047R0M/1100
京ICP备05066980号-1         京公网安备110107000727号