扫码关注公众号           扫码咨询技术支持           扫码咨询技术服务
  
客服热线:400-901-9800  客服QQ:4009019800  技术答疑  技术支持  质量反馈  人才招聘  关于我们  联系我们
产品中心-北京博奥森生物技术有限公司
首页 > 产品中心 > 试剂盒 > 产品信息
RhoA/B/C Ready-To-Use IHC Kit (IHC0399)  
订购热线:400-901-9800
订购邮箱:sales@bioss.com.cn
订购QQ:  400-901-9800
技术支持:techsupport@bioss.com.cn
50T/3200.00元
大包装/询价

产品编号 IHC0399
英文名称 RhoA/B/C Ready-To-Use IHC Kit
中文名称 RhoA/B/C即用型免疫组化试剂盒
别    名 Arha1; Arha2; RHOA; RHOA_HUMAN; RhoA protein; Aplysia ras related homolog 12; ARH 12; ARH12; ARHA; H 12; Oncogene RHO H12; Ras homolog gene family member A; RHO 12; Rho A; RHO H12; RHO12; RHOH 12; RHOH12; Small GTP binding protein Rho A; Small GTP binding protein RhoA; Transforming protein Rho A; Transforming protein RhoA  
克 隆 号
适用样品基质 FFPE tissue
保存条件 Please store components at the temperatures indicated on the individual tube labels. The kit is stable for 6 months from the date of receipt.
产品介绍 RhoA regulates a signal transduction pathway linking plasma membrane receptors to the assembly of focal adhesions and actin stress fibers. It is involved in a microtubule-dependent signal that is required for the myosin contractile ring formation during cell cycle cytokinesis, and plays an essential role in cleavage furrow formation. RhoA is required for the apical junction formation of keratinocyte cell-cell adhesion, and serves as a target for the yopT cysteine peptidase from Yersinia pestis, vector of the plague, and Yersinia pseudotuberculosis, which causes gastrointestinal disorders. RhoA stimulates PKN2 kinase activity and may be an activator of PLCE1. It is activated by ARHGEF2, which promotes the exchange of GDP for GTP. It is essential for the SPATA13-mediated regulation of cell migration and adhesion assembly and disassembly. The MEMO1-RHOA-DIAPH1 signaling pathway plays an important role in ERBB2-dependent stabilization of microtubules at the cell cortex. It controls the localization of APC and CLASP2 to the cell membrane, via the regulation of GSK3B activity. In turn, membrane-bound APC allows the localization of the MACF1 to the cell membrane, which is required for microtubule capture and stabilization.

SWISS:
P61586

Gene ID:
387

产品图片
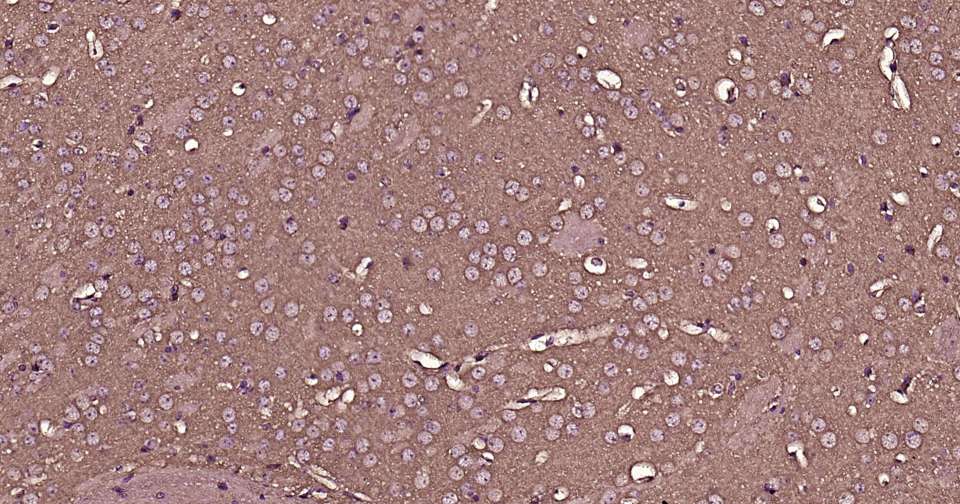
Immunohistochemical analysis of paraffin embedded mouse brain tissue slide using IHC0399 (RhoA/B/C IHC Kit).
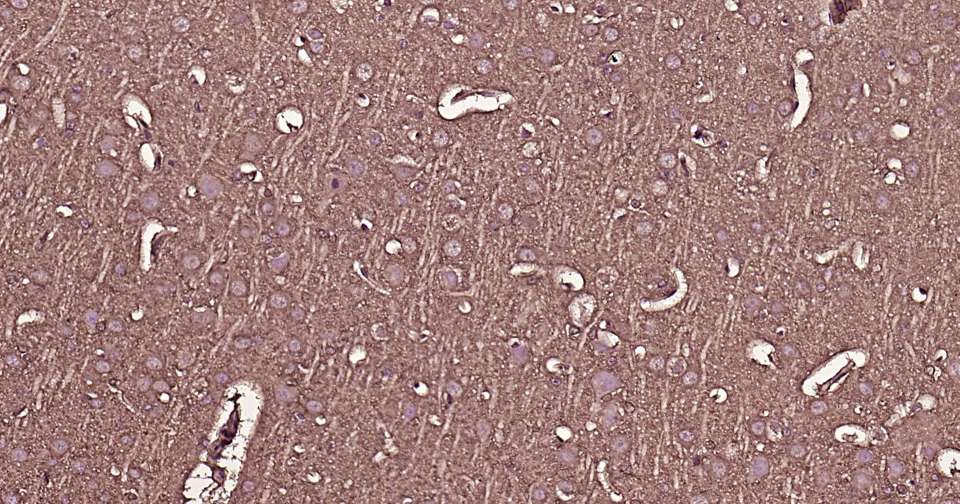
Immunohistochemical analysis of paraffin embedded human brain tissue slide using IHC0399 (RhoA/B/C IHC Kit).
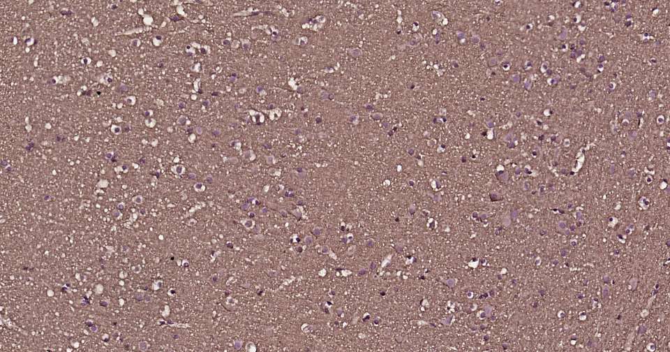
Immunohistochemical analysis of paraffin embedded rat brain tissue slide using IHC0399 (RhoA/B/C IHC Kit).
版权所有 2004-2026 www.bioss.com.cn 北京博奥森生物技术有限公司
通过国际质量管理体系ISO 9001:2015 GB/T 19001-2016    证书编号: 00124Q34771R2M/1100
通过国际医疗器械-质量管理体系ISO 13485:2016 GB/T 42061-2022     证书编号: CQC24QY20047R0M/1100
京ICP备05066980号-1         京公网安备110107000727号