扫码关注公众号           扫码咨询技术支持           扫码咨询技术服务
  
客服热线:400-901-9800  客服QQ:4009019800  技术答疑  技术支持  质量反馈  人才招聘  关于我们  联系我们
产品中心-北京博奥森生物技术有限公司
首页 > 产品中心 > 试剂盒 > 产品信息
Human CD2 Ready-To-Use IHC Kit (IHC0400H)  
订购热线:400-901-9800
订购邮箱:sales@bioss.com.cn
订购QQ:  400-901-9800
技术支持:techsupport@bioss.com.cn
50T/3200.00元
大包装/询价

产品编号 IHC0400H
英文名称 Human CD2 Ready-To-Use IHC Kit
中文名称 人CD2即用型免疫组化试剂盒
别    名 CD2; LFA-2; SRBC; T11; T-cell surface antigen CD2; CD 2; CD2 antigen; CD2 molecule; LFA2; LFA3 receptor; Lymphocyte function antigen 2; p50; Rosette receptor; Sheep erythrocyte receptor; Sheep red blood cell receptor; SRBC; T cell surface antigen CD2; T cell surface antigen T11/Leu 5; T11; CD2_HUMAN  
克 隆 号
适用样品基质 FFPE tissue
保存条件 Please store components at the temperatures indicated on the individual tube labels. The kit is stable for 6 months from the date of receipt.
产品介绍 CD2 (LFA-2) is a monomeric surface antigen (MW range 45-58 kDa) of the human T-lymphocyte lineage that is expressed on all peripheral blood T cells. CD2 is one of the earliest T-cell markers, being present on more than 95% of thymocytes and it is also found on some natural killer cells, but not on B lymphocytes. Monoclonal antibodies directed against CD2 inhibit the formation of rosettes with sheep erythrocytes, indicating that CD2 is the erythrocyte receptor or is closely associated with it. The interaction between CD2 and CD58 stabilizes adhesion between T cells and antigen presenting or target cells. Relatively low affinity of CD2 to CD58 (as measured in solution) is compensated within the two-dimensional cell-cell interface to provide tight adhesion. Moreover, T cell activation induces increased CD2 expression and its lateral mobility, making easier contact between CD2 and CD58. Subsequently, T cell activation causes fixation of CD58-CD2 at sites of cell-cell contact, thereby strengthening intercellular adhesion. CD2 deficiency reduces intestinal inflammation and helps to control infection. Diseases associated with CD2 dysfunction include penis squamous cell carcinoma and immune deficiency due to the absence of the thymus.

SWISS:
P06729

Gene ID:
914

产品图片
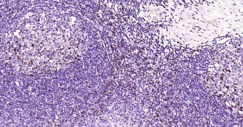
Immunohistochemical analysis of paraffin embedded human spleen tissue slide using IHC0400H (Human CD2 IHC Kit).
Immunohistochemical analysis of paraffin embedded human colon cancer tissue slide using IHC0400H (Human CD2 IHC Kit).
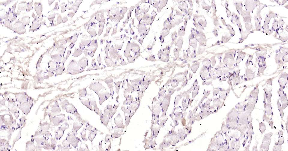
Immunohistochemical analysis of paraffin embedded human skeletal muscle tissue slide using IHC0400H (Human CD2 IHC Kit).
Immunohistochemical analysis of paraffin embedded human tonsil tissue slide using IHC0400H (Human CD2 IHC Kit).
版权所有 2004-2026 www.bioss.com.cn 北京博奥森生物技术有限公司
通过国际质量管理体系ISO 9001:2015 GB/T 19001-2016    证书编号: 00124Q34771R2M/1100
通过国际医疗器械-质量管理体系ISO 13485:2016 GB/T 42061-2022     证书编号: CQC24QY20047R0M/1100
京ICP备05066980号-1         京公网安备110107000727号