扫码关注公众号           扫码咨询技术支持           扫码咨询技术服务
  
客服热线:400-901-9800  客服QQ:4009019800  技术答疑  技术支持  质量反馈  人才招聘  关于我们  联系我们
产品中心-北京博奥森生物技术有限公司
首页 > 产品中心 > 试剂盒 > 产品信息
alpha Internexin Ready-To-Use IHC Kit (IHC0405)  
订购热线:400-901-9800
订购邮箱:sales@bioss.com.cn
订购QQ:  400-901-9800
技术支持:techsupport@bioss.com.cn
50T/3200.00元
大包装/询价

产品编号 IHC0405
英文名称 alpha Internexin Ready-To-Use IHC Kit
中文名称 α-中连蛋白即用型免疫组化试剂盒
别    名 AV028420; Inexa; Intlaa; TXBP-1; a-Internexin; Alpha-Internexin; Alpha-Internexin; 66 kDa neurofilament protein; Alpha Inx; INA; Internexin neuronal intermediate filament protein alpha; MGC12702; NEF 5; NEF5; Neurofilament 5 (66kD); Neurofilament 66; Neurofilament 66 tax binding protein; NF 66; NF66; NF-66; TXBP 1; TXBP1; AINX_HUMAN; Alpha-Inx; Neurofilament-66  
克 隆 号
适用样品基质 FFPE tissue
保存条件 Please store components at the temperatures indicated on the individual tube labels. The kit is stable for 6 months from the date of receipt.
产品介绍 alpha-Internexin is a Class IV intermediate filament subunit expressed very early in neuronal development. It is related to but distinct from the better known neurofilament triplet proteins, NF-L, NF-M and NF-H, having similar protein sequence motifs and a similar intron organization. Many classes of mature neurons contain a-internexin in addition to NF-L, NF-M and NF-H. In some mature neurons a-internexin is the only neurofilament subunit expressed. Antibodies to internexin are therefore unique probes to study and classify neuronal types and follow their processes in sections and in tissue culture. In addition the very early developmental expression of a-internexin means its presence is an early and convenient diagnostic feature of neuronal progenitors cells and other cell committed to the neuronal lineage. The use of antibodies to this protein in the study of brain tumors has not been examined to date, but is likely to be of interest.

SWISS:
Q16352

Gene ID:
9118

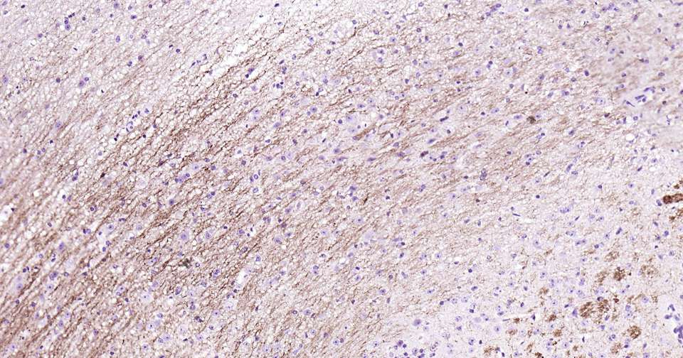
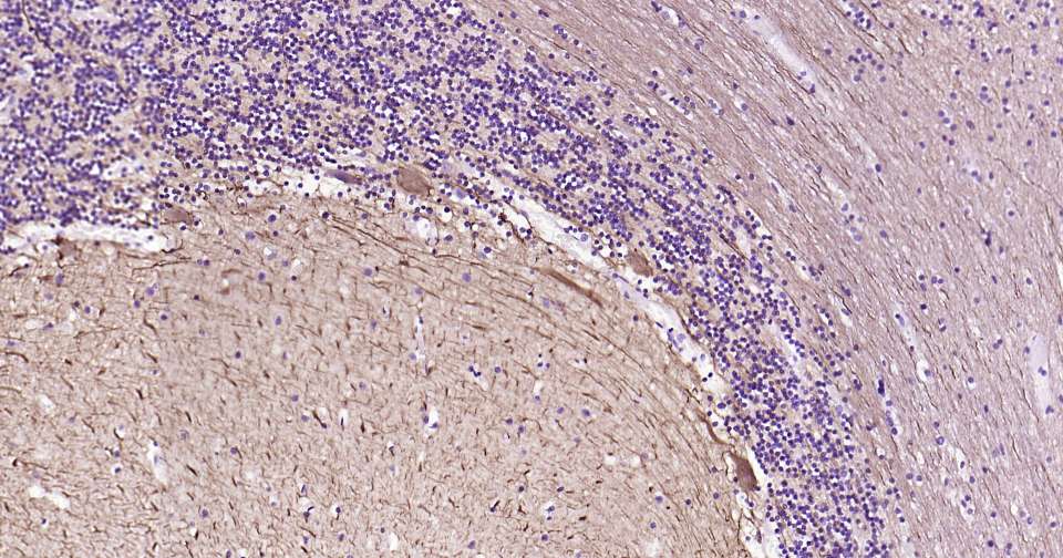
产品图片
Immunohistochemical analysis of paraffin embedded mouse brain tissue slide using IHC0405 (alpha Internexin IHC Kit).
Immunohistochemical analysis of paraffin embedded human cerebellum tissue slide using IHC0405 (alpha Internexin IHC Kit).
Immunohistochemical analysis of paraffin embedded rat brain tissue slide using IHC0405 (alpha Internexin IHC Kit).
版权所有 2004-2026 www.bioss.com.cn 北京博奥森生物技术有限公司
通过国际质量管理体系ISO 9001:2015 GB/T 19001-2016    证书编号: 00124Q34771R2M/1100
通过国际医疗器械-质量管理体系ISO 13485:2016 GB/T 42061-2022     证书编号: CQC24QY20047R0M/1100
京ICP备05066980号-1         京公网安备110107000727号