扫码关注公众号           扫码咨询技术支持           扫码咨询技术服务
  
客服热线:400-901-9800  客服QQ:4009019800  技术答疑  技术支持  质量反馈  人才招聘  关于我们  联系我们
产品中心-北京博奥森生物技术有限公司
首页 > 产品中心 > 试剂盒 > 产品信息
Human Cyclooxygenase 2 Ready-To-Use IHC Kit (IHC0408H)  
订购热线:400-901-9800
订购邮箱:sales@bioss.com.cn
订购QQ:  400-901-9800
技术支持:techsupport@bioss.com.cn
50T/3200.00元
大包装/询价

产品编号 IHC0408H
英文名称 Human Cyclooxygenase 2 Ready-To-Use IHC Kit
中文名称 人环氧合酶2即用型免疫组化试剂盒
别    名 COX-2; hCox-2; PGHS-2; Pghs-b; Pghs2; PHS-2; TIS10; COX 2; COX2; Cyclooxygenase 2; GRIPGHS; hCox 2; PGG/HS; PGH synthase 2; PGHS 2; PHS 2; PHS II; Prostaglandin G/H synthase 2; Prostaglandin H2 synthase 2; PTGS2  
克 隆 号
适用样品基质 FFPE tissue
保存条件 Please store components at the temperatures indicated on the individual tube labels. The kit is stable for 6 months from the date of receipt.
产品介绍 COX2 converts arachidonate to prostaglandin H2 (PGH2), a committed step in prostanoid synthesis, including production of inflammatory prostaglandins. The conversion of arachidonate to prostaglandin H2 is a 2 step reaction: a cyclooxygenase (COX) reaction which converts arachidonate to prostaglandin G2 (PGG2) and a peroxidase reaction in which PGG2 is reduced to prostaglandin H2 (PGH2). It is constitutively expressed in some tissues in physiological conditions, such as the endothelium, kidney and brain, and is up-regulated under pathological conditions, such as in cancer and inflammation (in contrast to the iso-enzyme PTGS1, which is expressed ubiquitously). Up-regulation of COX2 is also associated with increased cell adhesion, phenotypic changes, resistance to apoptosis and tumor angiogenesis. In cancer cells, COX2 is a key step in the production of prostaglandin E2 (PGE2), which plays important roles in modulating motility, proliferation and resistance to apoptosis. COX2 is naturally inhibited by calcitriol (the active form of Vitamin D). Glucocorticoids chronically trans-repress PTGS2 gene activity in vivo in part by interfering with transcription initiation and elongation. COX2 is a target of NSAID such as aspirin, which can reduce pain and swelling from inflammation driven by COX2.

SWISS:
P35354

Gene ID:
5743

产品图片
Immunohistochemical analysis of paraffin embedded human pancreas tissue slide using IHC0408H (Human Cyclooxygenase 2 IHC Kit).
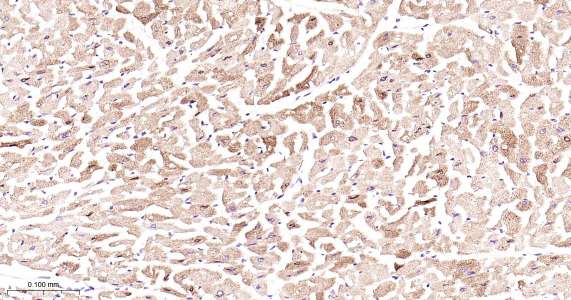
Immunohistochemical analysis of paraffin embedded human heart tissue slide using IHC0408H (Human Cyclooxygenase 2 IHC Kit).
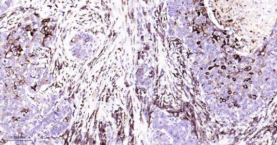
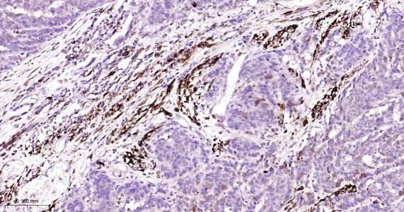
Immunohistochemical analysis of paraffin embedded human esophageal cancer tissue slide using IHC0408H (Human Cyclooxygenase 2 IHC Kit).
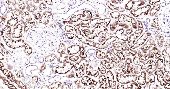
Immunohistochemical analysis of paraffin embedded human kidney tissue slide using IHC0408H (Human Cyclooxygenase 2 IHC Kit).
Immunohistochemical analysis of paraffin embedded human breast cancer tissue slide using IHC0408H (Human Cyclooxygenase 2 IHC Kit).
Immunohistochemical analysis of paraffin embedded human colon cancer tissue slide using IHC0408H (Human Cyclooxygenase 2 IHC Kit).
Immunohistochemical analysis of paraffin embedded human colon tissue slide using IHC0408H (Human Cyclooxygenase 2 IHC Kit).
Immunohistochemical analysis of paraffin embedded human liver tissue slide using IHC0408H (Human Cyclooxygenase 2 IHC Kit).
版权所有 2004-2026 www.bioss.com.cn 北京博奥森生物技术有限公司
通过国际质量管理体系ISO 9001:2015 GB/T 19001-2016    证书编号: 00124Q34771R2M/1100
通过国际医疗器械-质量管理体系ISO 13485:2016 GB/T 42061-2022     证书编号: CQC24QY20047R0M/1100
京ICP备05066980号-1         京公网安备110107000727号