扫码关注公众号           扫码咨询技术支持           扫码咨询技术服务
  
客服热线:400-901-9800  客服QQ:4009019800  技术答疑  技术支持  质量反馈  人才招聘  关于我们  联系我们
产品中心-北京博奥森生物技术有限公司
首页 > 产品中心 > 试剂盒 > 产品信息
p27 KIP 1 Ready-To-Use IHC Kit (IHC0409)  
订购热线:400-901-9800
订购邮箱:sales@bioss.com.cn
订购QQ:  400-901-9800
技术支持:techsupport@bioss.com.cn
50T/3200.00元
大包装/询价

产品编号 IHC0409
英文名称 p27 KIP 1 Ready-To-Use IHC Kit
中文名称 P27/周期素依赖激酶抑制剂即用型免疫组化试剂盒
别    名 AA408329; AI843786; CDKN1B; CDKN4; KIP1; MEN1B; MEN4; p27; P27KIP1; p27 KIP 1; CDN1B_HUMAN; Cdki1b; CDKN 1B; CDKN 4; Cyclin Dependent Kinase Inhibitor 1B; Cyclin Dependent Kinase Inhibitor 1B  
克 隆 号
适用样品基质 FFPE tissue
保存条件 Please store components at the temperatures indicated on the individual tube labels. The kit is stable for 6 months from the date of receipt.
产品介绍 p27 Kip1 functions as a negative regulator of G1 mouse expression and has been proposed to function as a possible mediator of TGFb induced G1 arrest. p27 Kip1 is an important regulator of cell cycle progression, a potent inhibitor of cyclin E- and cyclin A-CDK2 complexes. p27 Kip1 forms a complex with cyclin type D-CDK4 complexes and is involved in the assembly, stability, and modulation of CCND1-CDK4 complex activation. p27 Kip1 acts either as an inhibitor or an activator of cyclin type D-CDK4 complexes depending on its phosphorylation state and/or stoichometry. p27 Kip1 has a molecular weight of approximately 27kDa and the degradation of this protein, which is triggered by its CDK dependent phosphorylation and subsequent ubiquitination by SCF complexes, is required for the cellular transition from quiescence to the proliferative state.

SWISS:
P46414

Gene ID:
12576

产品图片
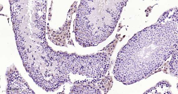
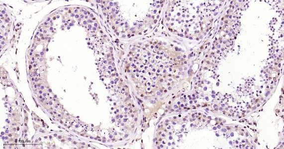
Immunohistochemical analysis of paraffin embedded mouse testis tissue slide using IHC0409 (p27 KIP 1 IHC Kit).
Immunohistochemical analysis of paraffin embedded human testis tissue slide using IHC0409 (p27 KIP 1 IHC Kit).
Immunohistochemical analysis of paraffin embedded rat testis tissue slide using IHC0409 (p27 KIP 1 IHC Kit).
版权所有 2004-2026 www.bioss.com.cn 北京博奥森生物技术有限公司
通过国际质量管理体系ISO 9001:2015 GB/T 19001-2016    证书编号: 00124Q34771R2M/1100
通过国际医疗器械-质量管理体系ISO 13485:2016 GB/T 42061-2022     证书编号: CQC24QY20047R0M/1100
京ICP备05066980号-1         京公网安备110107000727号