扫码关注公众号           扫码咨询技术支持           扫码咨询技术服务
  
客服热线:400-901-9800  客服QQ:4009019800  技术答疑  技术支持  质量反馈  人才招聘  关于我们  联系我们
产品中心-北京博奥森生物技术有限公司
首页 > 产品中心 > 试剂盒 > 产品信息
NGF Ready-To-Use IHC Kit (IHC0410)  
订购热线:400-901-9800
订购邮箱:sales@bioss.com.cn
订购QQ:  400-901-9800
技术支持:techsupport@bioss.com.cn
50T/3200.00元
大包装/询价

产品编号 IHC0410
英文名称 NGF Ready-To-Use IHC Kit
中文名称 神经生长因子β即用型免疫组化试剂盒
别    名 Beta-NGF; NGF; Beta nerve growth factor; NGF-beta; Beta nerve growth factor precursor; Beta NGF; HSAN5; MGC161426; MGC161428; Nerve growth factor beta; Nerve growth factor beta polypeptide; Nerve growth factor beta subunit; NGF B; NGFB; NID67; NGF beta; NGF-B; NGF_HUMAN  
克 隆 号
适用样品基质 FFPE tissue
保存条件 Please store components at the temperatures indicated on the individual tube labels. The kit is stable for 6 months from the date of receipt.
产品介绍 Nerve growth factor (NGF) influences the survival and differentiation of a variety of neuronal and nonneuronal cells. The actions of this polypeptide result from binding to specific cell surface receptors which are present as both high and low affinity sites. Although both types of receptor bind NGF only the high affinity form is capable of signal transduction. Cross-linking studies with 125I-NGF have shown that the high affinity receptor of rat PC12 cells forms an Mr 158,000 complex with NGF while the low affinity receptor forms an Mr 100,000 complex. Full length cDNA clones for both the human and rat NGF receptor genes have been produced and sequenced, revealing greater than 90% homology between the two species. NGF exhibits nerve growth stimulating activity and is involved in the regulation of growth and the differentiation of sympathetic and certain sensory neurons. Further, NGF stimulates division and differentiation of sympathetic and embryonic sensory neurons. Mutations in the NGF gene have been associated with hereditary sensory and autonomic neuropathy, type 5 (HSAN5), and dysregulation of NGF gene expression is associated with allergic rhinitis.

SWISS:
P01138

Gene ID:
4803

产品图片
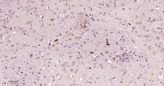
Immunohistochemical analysis of paraffin embedded mouse brain tissue slide using IHC0410 (NGF IHC Kit).
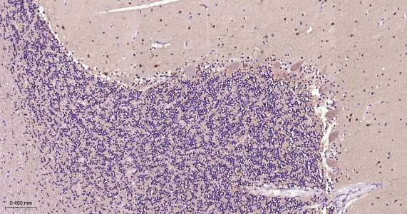
Immunohistochemical analysis of paraffin embedded human cerebellum tissue slide using IHC0410 (NGF IHC Kit).
Immunohistochemical analysis of paraffin embedded rat brain tissue slide using IHC0410 (NGF IHC Kit).
版权所有 2004-2026 www.bioss.com.cn 北京博奥森生物技术有限公司
通过国际质量管理体系ISO 9001:2015 GB/T 19001-2016    证书编号: 00124Q34771R2M/1100
通过国际医疗器械-质量管理体系ISO 13485:2016 GB/T 42061-2022     证书编号: CQC24QY20047R0M/1100
京ICP备05066980号-1         京公网安备110107000727号