扫码关注公众号           扫码咨询技术支持           扫码咨询技术服务
  
客服热线:400-901-9800  客服QQ:4009019800  技术答疑  技术支持  质量反馈  人才招聘  关于我们  联系我们
产品中心-北京博奥森生物技术有限公司
首页 > 产品中心 > 试剂盒 > 产品信息
Human Pokemon/ZBTB7A Ready-To-Use IHC Kit (IHC0411H)  
订购热线:400-901-9800
订购邮箱:sales@bioss.com.cn
订购QQ:  400-901-9800
技术支持:techsupport@bioss.com.cn
50T/3200.00元
大包装/询价

产品编号 IHC0411H
英文名称 Human Pokemon/ZBTB7A Ready-To-Use IHC Kit
中文名称 人扑克蒙蛋白即用型免疫组化试剂盒
别    名 FBI-1; FBI1; LRF; pokemon; TIP21; ZBTB7; ZBTB7A DKFZp547O146; Factor binding IST protein 1; Factor that binds to inducer of short transcripts protein 1; HIV-1 1st-binding protein 1; HIV-1 inducer of short transcripts binding protein; HIV-1 inducer of short transcripts-binding factor 1; Leukemia/lymphoma-related factor; lymphoma related factor; MGC99631; POK erythroid myeloid ontogenic factor; Pokemon; POZ and Krueppel erythroid myeloid ontogenic factor; TTF-I-interacting peptide 21; ZBT7A_HUMAN; Zinc finger and BTB domain containing 7A; zinc finger and BTB domain containing 7A; HIV-1 inducer of short transcripts binding protein; Zinc finger and BTB domain-containing protein 7A; Zinc finger protein 857A; Zinc finger- and BTB domain-containing protein 7; ZNF857A  
克 隆 号
适用样品基质 FFPE tissue
保存条件 Please store components at the temperatures indicated on the individual tube labels. The kit is stable for 6 months from the date of receipt.
产品介绍 Plays a key role in the instruction of early lymphoid progenitors to develop into B lineage by repressing T-cell instructive Notch signals. Specifically represses the transcription of the CDKN2A gene. Efficiently abrogates E2F1-dependent CDKN2A transactivation/de-repression. Binds to the consensus sequence 5'-[GA][CA]GACCCCCCCCC-3'.

SWISS:
O95365

Gene ID:
51341

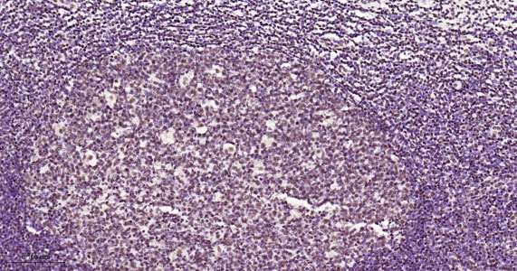
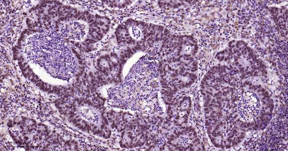
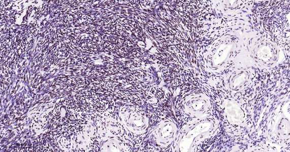
产品图片
Immunohistochemical analysis of paraffin embedded human small intestine tissue slide using IHC0411H (Human Pokemon/ZBTB7A IHC Kit).
Immunohistochemical analysis of paraffin embedded human ovary tissue slide using IHC0411H (Human Pokemon/ZBTB7A IHC Kit).
Immunohistochemical analysis of paraffin embedded human colon cancer tissue slide using IHC0411H (Human Pokemon/ZBTB7A IHC Kit).
Immunohistochemical analysis of paraffin embedded human tonsil tissue slide using IHC0411H (Human Pokemon/ZBTB7A IHC Kit).
版权所有 2004-2026 www.bioss.com.cn 北京博奥森生物技术有限公司
通过国际质量管理体系ISO 9001:2015 GB/T 19001-2016    证书编号: 00124Q34771R2M/1100
通过国际医疗器械-质量管理体系ISO 13485:2016 GB/T 42061-2022     证书编号: CQC24QY20047R0M/1100
京ICP备05066980号-1         京公网安备110107000727号