扫码关注公众号           扫码咨询技术支持           扫码咨询技术服务
  
客服热线:400-901-9800  客服QQ:4009019800  技术答疑  技术支持  质量反馈  人才招聘  关于我们  联系我们
产品中心-北京博奥森生物技术有限公司
首页 > 产品中心 > 试剂盒 > 产品信息
Mouse GluR1 Ready-To-Use IHC Kit (IHC0412M)  
订购热线:400-901-9800
订购邮箱:sales@bioss.com.cn
订购QQ:  400-901-9800
技术支持:techsupport@bioss.com.cn
50T/3200.00元
大包装/询价

产品编号 IHC0412M
英文名称 Mouse GluR1 Ready-To-Use IHC Kit
中文名称 小鼠谷氨酸受体1即用型免疫组化试剂盒
别    名 2900051M01Rik; Glr-1; Glr1; GLUA1; GLUH1; Glur-1; GluR-A; gluR-K1; GLUR1; GLURA; GRIA1; HBGR1; HIPA1; GluA1  
克 隆 号
适用样品基质 FFPE tissue
保存条件 Please store components at the temperatures indicated on the individual tube labels. The kit is stable for 6 months from the date of receipt.
产品介绍 GluR1 (glutamate receptor 1) is an ionotropic glutamate receptor. L-glutamate acts as an excitatory neurotransmitter at many synapses in the central nervous system. Binding of the excitatory neurotransmitter, L-glutamate, induces a conformation change that leads to the opening of the cation channel and converts the chemical signal to an electrical impulse. Then, the receptor desensitizes rapidly and enters a transiet inactive state characterized by the presence of a bound agonist. In the presence of CACNG4, CACNG7, or CACNG8 GluR1 shows resensitization which is characterized by a delayed accumulation of current flux upon continued application of glutamate.

SWISS:
P42261

Gene ID:
2890

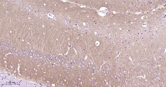
产品图片
Immunohistochemical analysis of paraffin embedded mouse hippocampus tissue slide using IHC0412M (Mouse GluR1 IHC Kit).
版权所有 2004-2026 www.bioss.com.cn 北京博奥森生物技术有限公司
通过国际质量管理体系ISO 9001:2015 GB/T 19001-2016    证书编号: 00124Q34771R2M/1100
通过国际医疗器械-质量管理体系ISO 13485:2016 GB/T 42061-2022     证书编号: CQC24QY20047R0M/1100
京ICP备05066980号-1         京公网安备110107000727号