扫码关注公众号           扫码咨询技术支持           扫码咨询技术服务
  
客服热线:400-901-9800  客服QQ:4009019800  技术答疑  技术支持  质量反馈  人才招聘  关于我们  联系我们
产品中心-北京博奥森生物技术有限公司
首页 > 产品中心 > 试剂盒 > 产品信息
Human Complement C9 Ready-To-Use IHC Kit (IHC0416H)  
订购热线:400-901-9800
订购邮箱:sales@bioss.com.cn
订购QQ:  400-901-9800
技术支持:techsupport@bioss.com.cn
50T/3200.00元
大包装/询价

产品编号 IHC0416H
英文名称 Human Complement C9 Ready-To-Use IHC Kit
中文名称 人补体C9即用型免疫组化试剂盒
别    名 ARMD15; C9; C9D; complement C9  
克 隆 号
适用样品基质 FFPE tissue
保存条件 Please store components at the temperatures indicated on the individual tube labels. The kit is stable for 6 months from the date of receipt.
产品介绍 C5b-9 membrane attack complexes are assembled from five precursor molecules in the serum. Proteolytic cleavage of C5 by C5 convertase generates C5b which initiates assembly of the C5b-9 complex. The last step of C5b-9 complex formation involves polymerization of C9 which accompanies insertion of the complex into the cell membrane. During formation of C5b-8 and C9 polymerization, neoantigens are generated which are unique to the C5b-9 complex and are not present on any of the individual native complex components. The complement regulatory proteins CD59 and complement S-protein can both prevent C5b-9 insertion into the cell membrane. The formed SC5b-9 complex is unable to attach to cells and is cytolytically inactive. C5b-9 is involved in the progression of chronic proteinuric renal disease by mediating continuous tubulointerstitial damage. Early tubulointerstitial injury in the remnant kidney can be improved when C5b-9 complex forming is abrogated.

SWISS:
P02748

Gene ID:
735

产品图片
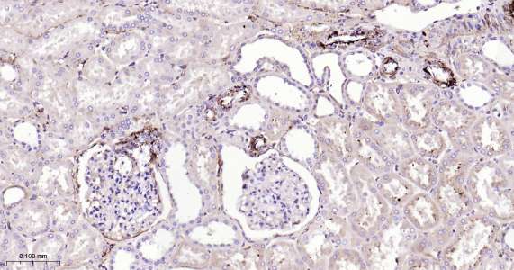
Immunohistochemical analysis of paraffin embedded human kidney tissue slide using IHC0416H (Human Complement C9 IHC Kit).
版权所有 2004-2026 www.bioss.com.cn 北京博奥森生物技术有限公司
通过国际质量管理体系ISO 9001:2015 GB/T 19001-2016    证书编号: 00124Q34771R2M/1100
通过国际医疗器械-质量管理体系ISO 13485:2016 GB/T 42061-2022     证书编号: CQC24QY20047R0M/1100
京ICP备05066980号-1         京公网安备110107000727号