扫码关注公众号           扫码咨询技术支持           扫码咨询技术服务
  
客服热线:400-901-9800  客服QQ:4009019800  技术答疑  技术支持  质量反馈  人才招聘  关于我们  联系我们
产品中心-北京博奥森生物技术有限公司
首页 > 产品中心 > 试剂盒 > 产品信息
Rat ATP5A Ready-To-Use IHC Kit (IHC0418R)  
订购热线:400-901-9800
订购邮箱:sales@bioss.com.cn
订购QQ:  400-901-9800
技术支持:techsupport@bioss.com.cn
50T/3200.00元
大包装/询价

产品编号 IHC0418R
英文名称 Rat ATP5A Ready-To-Use IHC Kit
中文名称 大鼠ATP5A即用型免疫组化试剂盒
别    名 AI035633; AL022851; AL023067; ATP5A; ATP5A1; ATP5A2; ATP5F1A; ATPM; COXPD22; D18Ertd206e; HEL-S-123m; MC5DN4; MOM2; ORM ATP synthase; H+ transporting; mitochondrial F1 complex; alpha subunit 1; ATP synthase; H+ transporting; mitochondrial F1 complex; alpha subunit; isoform1; cardiac muscle; ATP synthase; H+ transporting; mitochondrial F1 complex; alpha subunit; isoform2; non-cardiac muscle-like 2; ATP sythase (F1-ATPase) alpha subunit; ATP5AL2; ATP5AMOM2; ATPMATP synthase subunit alpha; mitochondrial; cardiac muscle; EC 3.6.3; EC 3.6.3.14; hATP1; mitochondrial ATP synthetase; oligomycin-resistant; OMR; ORMATP synthase alpha chain; mitochondrial  
克 隆 号
适用样品基质 FFPE tissue
保存条件 Please store components at the temperatures indicated on the individual tube labels. The kit is stable for 6 months from the date of receipt.
产品介绍 This gene encodes a subunit of mitochondrial ATP synthase. Mitochondrial ATP synthase catalyzes ATP synthesis, using an electrochemical gradient of protons across the inner membrane during oxidative phosphorylation. ATP synthase is composed of two linked multi-subunit complexes: the soluble catalytic core, F1, and the membrane-spanning component, Fo, comprising the proton channel. The catalytic portion of mitochondrial ATP synthase consists of 5 different subunits (alpha, beta, gamma, delta, and epsilon) assembled with a stoichiometry of 3 alpha, 3 beta, and a single representative of the other 3. The proton channel consists of three main subunits (a, b, c). This gene encodes the alpha subunit of the catalytic core. Alternatively spliced transcript variants encoding the different isoforms have been identified. Pseudogenes of this gene are located on chromosomes 9, 2, and 16.

SWISS:
P25705

Gene ID:
498

产品图片
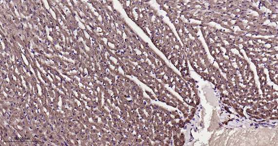
Immunohistochemical analysis of paraffin embedded rat heart tissue slide using IHC0418R (Rat ATP5A IHC Kit).
Immunohistochemical analysis of paraffin embedded rat brain tissue slide using IHC0418R (Rat ATP5A IHC Kit).
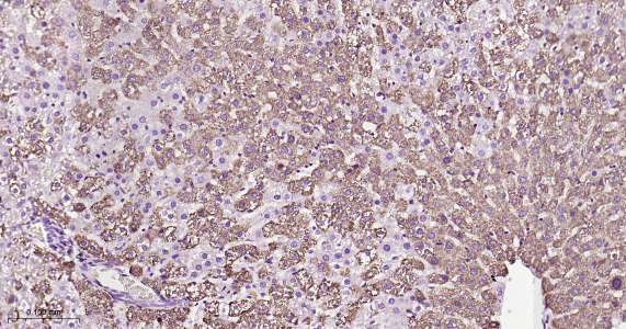
Immunohistochemical analysis of paraffin embedded rat liver tissue slide using IHC0418R (Rat ATP5A IHC Kit).
版权所有 2004-2026 www.bioss.com.cn 北京博奥森生物技术有限公司
通过国际质量管理体系ISO 9001:2015 GB/T 19001-2016    证书编号: 00124Q34771R2M/1100
通过国际医疗器械-质量管理体系ISO 13485:2016 GB/T 42061-2022     证书编号: CQC24QY20047R0M/1100
京ICP备05066980号-1         京公网安备110107000727号