扫码关注公众号           扫码咨询技术支持           扫码咨询技术服务
  
客服热线:400-901-9800  客服QQ:4009019800  技术答疑  技术支持  质量反馈  人才招聘  关于我们  联系我们
产品中心-北京博奥森生物技术有限公司
首页 > 产品中心 > 试剂盒 > 产品信息
Human MAOB Ready-To-Use IHC Kit (IHC0419H)  
订购热线:400-901-9800
订购邮箱:sales@bioss.com.cn
订购QQ:  400-901-9800
技术支持:techsupport@bioss.com.cn
50T/3200.00元
大包装/询价

产品编号 IHC0419H
英文名称 Human MAOB Ready-To-Use IHC Kit
中文名称 人单胺氧化酶B即用型免疫组化试剂盒
别    名 6330414K01Rik; Adrenalin oxidase; Amine oxidase (flavin containing); Amine oxidase [flavin-containing] B; AOFB_HUMAN; MAO; brain; MAO; platelet; MAO-B; MAOB; MGC26382; Monoamine oxidase B; Monoamine oxidase type B  
克 隆 号
适用样品基质 FFPE tissue
保存条件 Please store components at the temperatures indicated on the individual tube labels. The kit is stable for 6 months from the date of receipt.
产品介绍 MAOB (Monoamine Oxidase B), also called MAO, BRAIN, AMINE OXIDASE (FLAVIN-CONTAINING) B, is a protein that in humans is encoded by the MAOB gene. MAOB is a member of the flavin monoamine oxidase family. And it is mapped on Xp11.3. MAOB catalyzes the oxidative deamination of biogenic and xenobiotic amines and plays an important role in the metabolism of neuroactive and vasoactive amines in the central nervous system and peripheral tissues. This protein preferentially degrades benzylamine and phenylethylamine. Like MAOA, it also degrades dopamine. MAO-B is involved in the breakdown of dopamine, a neurotransmitter implicated in reinforcing and motivating behaviors as well as movement. MAO-B inhibition is, therefore, associated with enhanced activity of dopamine, as well as with decreased production of hydrogen peroxide, a source of reactive oxygen species.

SWISS:
P27338

Gene ID:
4129

产品图片
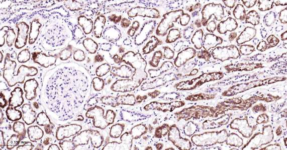
Immunohistochemical analysis of paraffin embedded human kidney tissue slide using IHC0419H (Human MAOB IHC Kit).
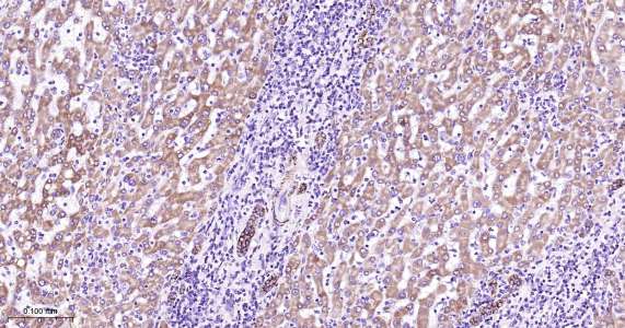
Immunohistochemical analysis of paraffin embedded human liver tissue slide using IHC0419H (Human MAOB IHC Kit).
版权所有 2004-2026 www.bioss.com.cn 北京博奥森生物技术有限公司
通过国际质量管理体系ISO 9001:2015 GB/T 19001-2016    证书编号: 00124Q34771R2M/1100
通过国际医疗器械-质量管理体系ISO 13485:2016 GB/T 42061-2022     证书编号: CQC24QY20047R0M/1100
京ICP备05066980号-1         京公网安备110107000727号