扫码关注公众号           扫码咨询技术支持           扫码咨询技术服务
  
客服热线:400-901-9800  客服QQ:4009019800  技术答疑  技术支持  质量反馈  人才招聘  关于我们  联系我们
产品中心-北京博奥森生物技术有限公司
首页 > 产品中心 > 试剂盒 > 产品信息
IP3 receptor Ready-To-Use IHC Kit (IHC0420)  
订购热线:400-901-9800
订购邮箱:sales@bioss.com.cn
订购QQ:  400-901-9800
技术支持:techsupport@bioss.com.cn
50T/3200.00元
大包装/询价

产品编号 IHC0420
英文名称 IP3 receptor Ready-To-Use IHC Kit
中文名称 5-三磷酸肌醇受体1即用型免疫组化试剂盒
别    名 ACV; CLA4; D6Pas2; ENSMUSG00000072853; Gm10429; I145TR; InsP3R; INSP3R1; Itpr-1; ITPR1; opt; P400; Pcd6; Pcp-1; Pcp1; PPP1R94; SCA15; SCA16; SCA29; 5-trisphosphate receptor; 5-trisphosphate receptor type 1; DKFZp313E1334; DKFZp313N1434; inositol 1 4 5 triphosphate receptor type 1; Inositol 1 4 5 trisphosphate Receptor Type 1; Inositol 1; InsP3R1; IP3; IP3 receptor; IP3 receptor isoform 1; IP3R 1; IP3R; IP3R1; ITPR 1; Itpr1; ITPR1_HUMAN; Type 1 inositol 1 4 5 trisphosphate receptor; Type 1 inositol 1; Type 1 InsP3 receptor  
克 隆 号
适用样品基质 FFPE tissue
保存条件 Please store components at the temperatures indicated on the individual tube labels. The kit is stable for 6 months from the date of receipt.
产品介绍 Intracellular channel that mediates calcium release from the endoplasmic reticulum following stimulation by inositol 1,4,5-trisphosphate. Involved in the regulation of epithelial secretion of electrolytes and fluid through the interaction with AHCYL1. Plays a role in ER stress-induced apoptosis. Cytoplasmic calcium released from the ER triggers apoptosis by the activation of CaM kinase II, eventually leading to the activation of downstream apoptosis pathways.

SWISS:
Q14643

Gene ID:
3710

产品图片
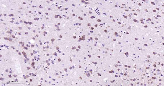
Immunohistochemical analysis of paraffin embedded mouse brain tissue slide using IHC0420 (IP3 receptor IHC Kit).
Immunohistochemical analysis of paraffin embedded human cerebellum tissue slide using IHC0420 (IP3 receptor IHC Kit).
Immunohistochemical analysis of paraffin embedded rat brain tissue slide using IHC0420 (IP3 receptor IHC Kit).
版权所有 2004-2026 www.bioss.com.cn 北京博奥森生物技术有限公司
通过国际质量管理体系ISO 9001:2015 GB/T 19001-2016    证书编号: 00124Q34771R2M/1100
通过国际医疗器械-质量管理体系ISO 13485:2016 GB/T 42061-2022     证书编号: CQC24QY20047R0M/1100
京ICP备05066980号-1         京公网安备110107000727号