扫码关注公众号           扫码咨询技术支持           扫码咨询技术服务
  
客服热线:400-901-9800  客服QQ:4009019800  技术答疑  技术支持  质量反馈  人才招聘  关于我们  联系我们
产品中心-北京博奥森生物技术有限公司
首页 > 产品中心 > 试剂盒 > 产品信息
Rat IP3 receptor Ready-To-Use IHC Kit (IHC0420R)  
订购热线:400-901-9800
订购邮箱:sales@bioss.com.cn
订购QQ:  400-901-9800
技术支持:techsupport@bioss.com.cn
50T/3200.00元
大包装/询价

产品编号 IHC0420R
英文名称 Rat IP3 receptor Ready-To-Use IHC Kit
中文名称 大鼠5-三磷酸肌醇受体1即用型免疫组化试剂盒
别    名 ACV; CLA4; D6Pas2; ENSMUSG00000072853; Gm10429; I145TR; InsP3R; INSP3R1; Itpr-1; ITPR1; opt; P400; Pcd6; Pcp-1; Pcp1; PPP1R94; SCA15; SCA16; SCA29; 5-trisphosphate receptor; 5-trisphosphate receptor type 1; DKFZp313E1334; DKFZp313N1434; inositol 1 4 5 triphosphate receptor type 1; Inositol 1 4 5 trisphosphate Receptor Type 1; Inositol 1; InsP3R1; IP3; IP3 receptor; IP3 receptor isoform 1; IP3R 1; IP3R; IP3R1; ITPR 1; Itpr1; ITPR1_HUMAN; Type 1 inositol 1 4 5 trisphosphate receptor; Type 1 inositol 1; Type 1 InsP3 receptor  
克 隆 号
适用样品基质 FFPE tissue
保存条件 Please store components at the temperatures indicated on the individual tube labels. The kit is stable for 6 months from the date of receipt.
产品介绍 Intracellular channel that mediates calcium release from the endoplasmic reticulum following stimulation by inositol 1,4,5-trisphosphate. Involved in the regulation of epithelial secretion of electrolytes and fluid through the interaction with AHCYL1. Plays a role in ER stress-induced apoptosis. Cytoplasmic calcium released from the ER triggers apoptosis by the activation of CaM kinase II, eventually leading to the activation of downstream apoptosis pathways.

SWISS:
Q14643

Gene ID:
3710

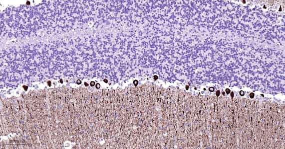
产品图片
Immunohistochemical analysis of paraffin embedded rat cerebellum tissue slide using IHC0420R (Rat IP3 receptor IHC Kit).
版权所有 2004-2026 www.bioss.com.cn 北京博奥森生物技术有限公司
通过国际质量管理体系ISO 9001:2015 GB/T 19001-2016    证书编号: 00124Q34771R2M/1100
通过国际医疗器械-质量管理体系ISO 13485:2016 GB/T 42061-2022     证书编号: CQC24QY20047R0M/1100
京ICP备05066980号-1         京公网安备110107000727号