扫码关注公众号           扫码咨询技术支持           扫码咨询技术服务
  
客服热线:400-901-9800  客服QQ:4009019800  技术答疑  技术支持  质量反馈  人才招聘  关于我们  联系我们
产品中心-北京博奥森生物技术有限公司
首页 > 产品中心 > 试剂盒 > 产品信息
ACSL4 Ready-To-Use IHC Kit (IHC0426)  
订购热线:400-901-9800
订购邮箱:sales@bioss.com.cn
订购QQ:  400-901-9800
技术支持:techsupport@bioss.com.cn
50T/3200.00元
大包装/询价

产品编号 IHC0426
英文名称 ACSL4 Ready-To-Use IHC Kit
中文名称 酰基辅酶A合成酶4即用型免疫组化试剂盒
别    名 9430020A05Rik; ACS4; ACSL4; AU018108; FACL4; LACS4; MRX63; MRX68  
克 隆 号
适用样品基质 FFPE tissue
保存条件 Please store components at the temperatures indicated on the individual tube labels. The kit is stable for 6 months from the date of receipt.
产品介绍 The protein encoded by this gene is an isozyme of the long-chain fatty-acid-coenzyme A ligase family. Although differing in substrate specificity, subcellular localization, and tissue distribution, all isozymes of this family convert free long-chain fatty acids into fatty acyl-CoA esters, and thereby play a key role in lipid biosynthesis and fatty acid degradation. This isozyme preferentially utilizes arachidonate as substrate. The absence of this enzyme may contribute to the mental retardation or Alport syndrome. Alternative splicing of this gene generates 2 transcript variants.

SWISS:
O60488

Gene ID:
2182

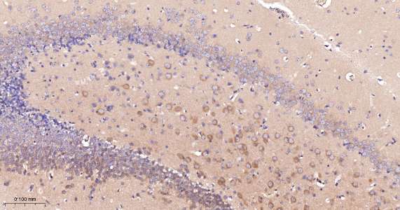
产品图片
Immunohistochemical analysis of paraffin embedded mouse brain tissue slide using IHC0426 (ACSL4 IHC Kit).
Immunohistochemical analysis of paraffin embedded human brain tissue slide using IHC0426 (ACSL4 IHC Kit).
Immunohistochemical analysis of paraffin embedded rat brain tissue slide using IHC0426 (ACSL4 IHC Kit).
版权所有 2004-2026 www.bioss.com.cn 北京博奥森生物技术有限公司
通过国际质量管理体系ISO 9001:2015 GB/T 19001-2016    证书编号: 00124Q34771R2M/1100
通过国际医疗器械-质量管理体系ISO 13485:2016 GB/T 42061-2022     证书编号: CQC24QY20047R0M/1100
京ICP备05066980号-1         京公网安备110107000727号