扫码关注公众号           扫码咨询技术支持           扫码咨询技术服务
  
客服热线:400-901-9800  客服QQ:4009019800  技术答疑  技术支持  质量反馈  人才招聘  关于我们  联系我们
产品中心-北京博奥森生物技术有限公司
首页 > 产品中心 > 试剂盒 > 产品信息
Human Glucose 6 Phosphate Dehydrogenase Ready-To-Use IHC Kit (IHC0427H)  
订购热线:400-901-9800
订购邮箱:sales@bioss.com.cn
订购QQ:  400-901-9800
技术支持:techsupport@bioss.com.cn
50T/3200.00元
大包装/询价

产品编号 IHC0427H
英文名称 Human Glucose 6 Phosphate Dehydrogenase Ready-To-Use IHC Kit
中文名称 人葡萄糖-6磷酸脱氢酶即用型免疫组化试剂盒
别    名 G6PD; G6PD_HUMAN; G6PD1; G6pdx; Glucose 6 phosphate 1 dehydrogenase; Glucose 6 phosphate dehydrogenase; Glucose 6 phosphate dehydrogenase, G6PD; Glucose-6-phosphate 1-dehydrogenase; MET19; POS10; Zwf1p  
克 隆 号
适用样品基质 FFPE tissue
保存条件 Please store components at the temperatures indicated on the individual tube labels. The kit is stable for 6 months from the date of receipt.
产品介绍 This gene encodes glucose-6-phosphate dehydrogenase. This protein is a cytosolic enzyme encoded by a housekeeping X-linked gene whose main function is to produce NADPH, a key electron donor in the defense against oxidizing agents and in reductive biosynthetic reactions. G6PD is remarkable for its genetic diversity. Many variants of G6PD, mostly produced from missense mutations, have been described with wide ranging levels of enzyme activity and associated clinical symptoms. G6PD deficiency may cause neonatal jaundice, acute hemolysis, or severe chronic non-spherocytic hemolytic anemia. Two transcript variants encoding different isoforms have been found for this gene.

SWISS:
P11413

Gene ID:
2539

产品图片
Immunohistochemical analysis of paraffin embedded human gastric cancer tissue slide using IHC0427H (Human Glucose 6 Phosphate Dehydrogenase IHC Kit).
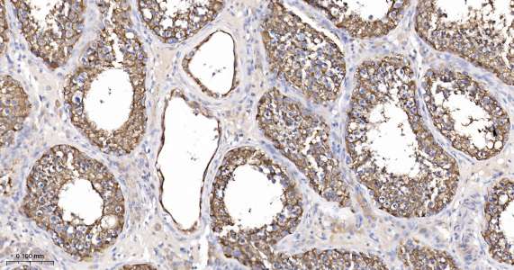
Immunohistochemical analysis of paraffin embedded human testis tissue slide using IHC0427H (Human Glucose 6 Phosphate Dehydrogenase IHC Kit).
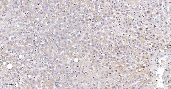
Immunohistochemical analysis of paraffin embedded human liver tissue slide using IHC0427H (Human Glucose 6 Phosphate Dehydrogenase IHC Kit).
版权所有 2004-2026 www.bioss.com.cn 北京博奥森生物技术有限公司
通过国际质量管理体系ISO 9001:2015 GB/T 19001-2016    证书编号: 00124Q34771R2M/1100
通过国际医疗器械-质量管理体系ISO 13485:2016 GB/T 42061-2022     证书编号: CQC24QY20047R0M/1100
京ICP备05066980号-1         京公网安备110107000727号